Metastatic Malignant Peripheral Nerve Sheath Tumor to the Thyroid
Abstract
It is extremely rare that sarcomas metastasize to the thyroid. We report a case of a 49 year old male with malignant peripheral nerve sheath tumor (MPNST) metastatic to the thyroid that was diagnosed by ultrasound guided fine needle aspiration (FNA). The FNA cytology showed numerous loosely cohesive pleomorphic small spindle cells, some of which were arranged in short fascicles or haphazard pattern. The nuclei were oval or spindle in shape, with hyperchromatic granular chromatin and inconspicuous nucleoli, and smooth nuclear membrane contours. The cytoplasm was scant to moderate in amount, and delicate. Some cells had long thin cytoplasmic projections. Based on the cytomorphology, a diagnosis of “consistent with metastatic MPNST from small intestine” was rendered and follow-up thyroidectomy confirmed the cytologic diagnosis. Therefore, FNA biopsy is a useful, easy to perform, cost effective, safe procedure that can diagnose secondary tumors of the thyroid, and help avoid unnecessary thyroidectomy in patients with a poor prognosis.
Author Contributions
Academic Editor: Zakaria Abd Elmageed, Tulane University School of Medicine, New Orleans, LA 70112, USA
Checked for plagiarism: Yes
Review by: Single-blind
Copyright © 2015 Beatriz Sanchez, et al.
This is an open-access article distributed under the terms of the Creative Commons Attribution License, which permits unrestricted use, distribution, and reproduction in any medium, provided the original author and source are credited.
Competing interests
The authors have declared that no competing interests exist.
Citation:
Introduction
Malignant tumors of the thyroid gland were estimated to account for 3.8% of all malignancies in the United States in 2014 according to National Cancer Institute report (http://seer.cancer.gov/statfacts/html/thyro.html). According to the tumor classification of the World Health Organization (WHO), thyroid tumors are classified as epithelial or nonepithelial, benign or malignant, primary or metastatic tumors, with a separate category for lymphomas and miscellaneous neoplasms.1 Solitary thyroid nodules are common in clinical practice, however, nodular intrathyroid metastases are rare and may be underestimated.2 In most clinical reviews the incidence ranges from 2% to 3%. In autopsy studies, the incidence of intrathyroid metastases of non-thyroid origin ranges from 1.9% in unselected studies to 24% in patients with widespread malignant neoplasms.3, 4 In a review of 43 cases of metastatic disease to thyroid gland, the kidney was the most common primary tumor site (33%), followed by lung (16%), breast (16%), esophagus (9%), and uterus (7%).5
Soft tissue sarcomas metastatic to the thyroid are extremely rare with a few cases reported in the literature including10 leiomyosarcomas from uterus, leg and duodenum,6, 7, 8 2 histiosarcomas from the ankle or the thigh,9, 10 1 endometrial carcinosarcoma,11 and 1 liposarcoma of the thigh.12
We report a rare case of metastatic malignant peripheral nerve sheath tumor (MPNST) from the ileum diagnosed in the thyroid by fine needle aspiration (FNA) biopsy.
Clinical Presentation
The patient was a 49 year old Caucasian male with a past medical history of a dorsal melanoma and MPNST (malignant Schwannoma), grade 2, of the small intestine 2 years ago. A CT scan of the chest for the surveillance of his malignancies detected a 1.2 x 0.9 cm hypoechoic nodule in the right lobe of the thyroid gland, and several nodules in the left lobe (the largest measured 9 mm). A FDG PET CT scan demonstrated the interval appearance of a focal area of increased metabolic activity in the right thyroid lobe. No other lesions were identified. His TSH was 2.28, within normal limits (0.4 – 4.0). He denied any symptoms suggestive of hypo- or hyperthyroidism. He also denied any other endocrine abnormalities, hoarseness, dysphagia, positional shortness of breath, or neck pressure.
FNA Cytology
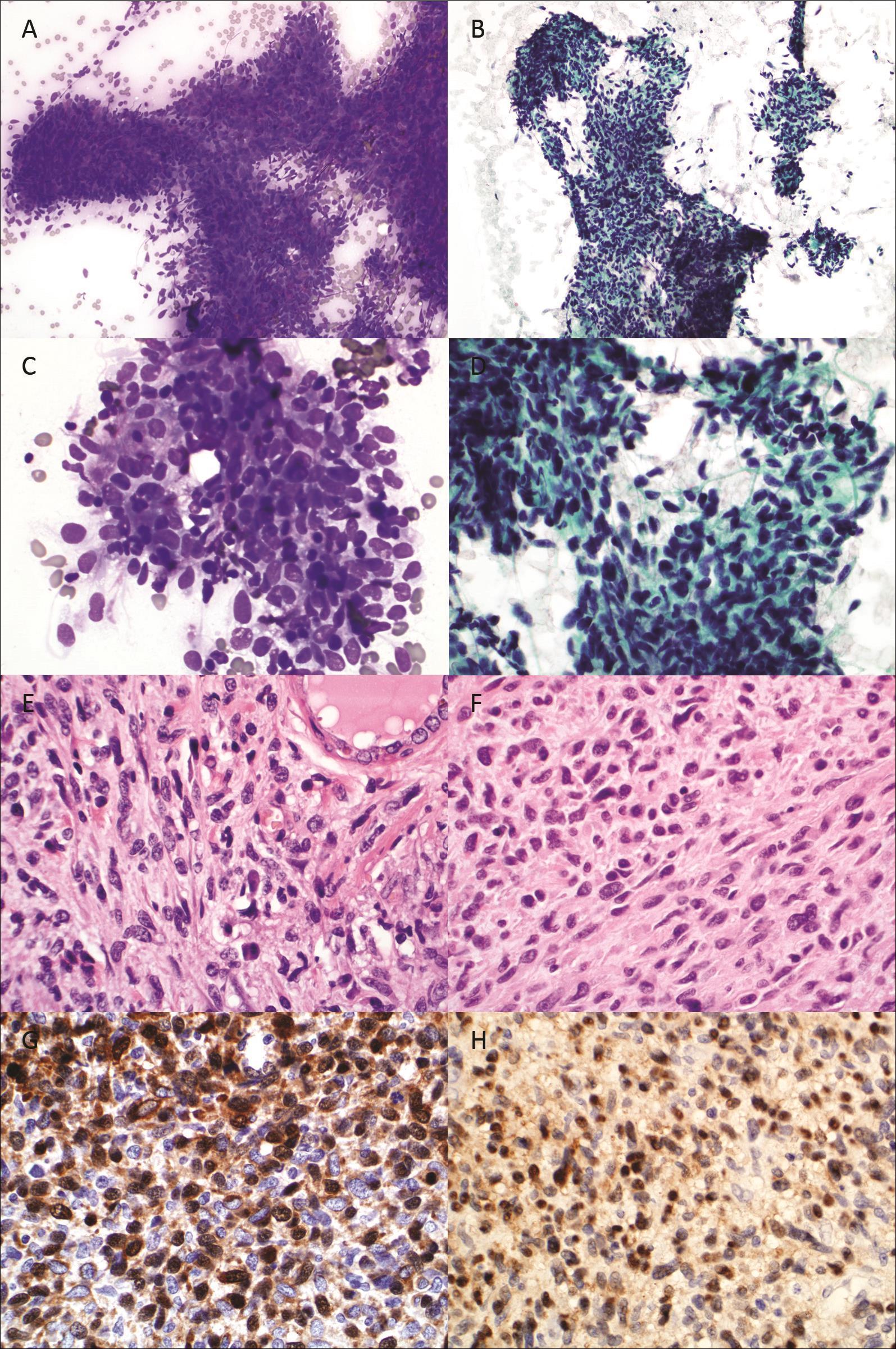
An ultrasound guided fine needle aspiration (FNA) was performed using 25 gauge needles on the right thyroid nodule.The air-dried FNA slides were stained with Diff-Quik stain and ethanol fixed slides were stained with Papanicolaou stain. Microscopic examination showed numerous loosely cohesive pleomorphic small spindle cells, some of which were arranged in short fascicles or haphazard pattern (Figure 1A to 1D).
Figure 1A and 1B.FNA cytology, Diff-Quik and Papanicolaou stain, respectively, x200. Fig. 1C and 1D: FNA cytology, Diff-Quik and Papanicolaou stain, respectively, x600. Fig. 1E and 1F: Histology from thyroid and small intestine, hematoxylin and eosin, x600. Fig. 1G and 1H: Immunostain for S100 on thyroid and small intestine, x600.
The nuclei were oval or spindle in shape, with hyperchromatic granular chromatin and inconspicuous nucleoli, and smooth nuclear membrane contours. The cytoplasm was scant to moderate in amount, and delicate. Some cells had long thin cytoplasmic projections. Normal thyroid follicular cells and colloid were present in the background. The cytomorphology of the current specimen was similar to that seen in the tumor of previous small intestine resection, while was different
from that seen in the previously resected melanoma. Based on the cytomorphology, a diagnosis of “consistent with metastatic MPNST from small intestine” was rendered.
Histologic Findings
Subsequently he underwent a total thyroidectomy. The thyroidectomy specimen demonstrated a white-pink lobulated mass measuring, 1.7 x 1.2 x 1.2 cm and several smaller nodules. The tissue containing tumor was formalin fixed, paraffin embedded, sectioned, and stained with hematoxylin and eosin (H&E) stain. The tumor was composed of sheets of pleomorphic spindle cells with cytomorphologic features similar to those seen in the FNA cytology. The tumor cells were arranged in fascicle or haphazard patterns. A high mitotic rate of 10 per 10 high power fields was noted (Figure 1E). The histology of the thyroid nodule was similar to that seen in the prior sarcoma of resected from the small intestine Figure 1F). Both the tumors were focally positive for S100 (Figure 1G and 1H). The thyroid tumor was negative HMB-45 and melan A. The histologic features and immunoprofile confirmed the cytologic diagnosis.
Discussion
The thyroid gland is a known site for metastatic tumors from various primary sites. Soft tissue sarcomas metastatic to the thyroid are extremely rare. Diagnosis of a thyroid nodule as a metastatic malignancy is not possible based on solely clinical and/or radiological features. We report a case of metastatic MPNST to thyroid diagnosed by FNA biopsy. The differential diagnoses include anaplastic thyroid carcinoma, metastatic melanoma, and primary benign or malignant soft tissue tumors.
Anaplastic thyroid carcinoma is an important entity for the differential and has important prognostic implications. Clinically, a rapidly enlarging thyroid mass that is firm and fixed to surrounding structures in an elderly patient is quite suggestive. The FNA cytology may demonstrate a variety of cell types including spindle cells, pleomorphic giant cells, squamoid cells, and osteoclast-like cells.13 These tumors are highly proliferative with numerous atypical mitotic figures, and usually have extensive necrosis. Neoplastic bone and cartilage may also be identified. In all types of anaplastic carcinomas, immunoreactivity to thyroglobulin is typically absent. When present, it is evident only in some larger ‘epithelioid’ cells. Immunoreactivity to keratin may be demonstrated and is the most common marker that suggests epithelial origin. However, cytokeratins of different molecular weight may be seen in some tumors and many examples show no cytokeratin immunoreactivity.14 Approximately 30% of anaplastic carcinomas express thyroid transcription factor-1 (TTF-1), which, if positive, is extremely helpful in diagnosis of anaplastic carcinoma especially in small biopsies.15 In our case, the FNA cytology only showed spindle cells, which morphology was similar to tumor previously resected from the small intestine. These spindle cells were not as atypical/bizarre as those spindle cells seen in anaplastic thyroid carcinoma, and did not show the other cell patterns as described above. Comparison of cytomorphology and immunoprofile with original tumor is important. The subsequent thyroidectomy’s histomorphology and immunoprofile confirmed our cytologic diagnosis. Immunostain for TTF-1 on cellblock sections or smears may be helpful. In addition, clinical presentation is also helpful for the differential diagnosis.
Melanoma can metastasize to the thyroid, and can present as spindle cells in shape. We compared the cytomorphology of the current case with that of previous resected melanoma, and found that they were different (spindle cells in shape versus epithelioid cells with prominent nucleoli). If it was possible, a cellblock should be prepared for histologic examination and immunohistochemical studies for S100, melan A, HMB-45, and microphthalmia-associated transcription factor (MITF). Immunochemical studies on thyroidectomy specimen showed that the tumor cells were negative for Melan A and HMB-45, excluding metastatic melanoma.
Another important differential diagnosis to consider is primary versus metastatic spindle cell lesions of the thyroid gland. These spindle cell lesions includesolitary fibrous tumor, leiomyoma, spindle epithelial tumor with thymus-like differentiation, spindle squamous cell carcinoma, and especially peripheral nerve sheath tumor (Schwannoma or MPNST).16 Soft tissue tumors of the thyroid are uncommon. The clinical, imaging, pathologic, and immunohistochemical characteristics should be correlated. Metastasis should be considered in any patient with a prior history of malignancy and new thyroid nodules, especially multiple nodules that involve bilateral lobes, such as seen in our case. If the cellularity is high, cytopathologists can compare the cytomorphology with the original tumor. In addition, an aliquot of FNA specimen can be used to prepare a cellblock for histologic examination and immunohistochemical studies. It is, sometimes, difficult to disguish Schwannoma from MPNST. Generally, Schwannoma shows no or mild cytologic atypia, rare or no mitoses, and no necrosis, and also is diffusely positive for S100 as well as low Ki-67 rate. Whereas, the MPNST shows more cytologic atypia, increased mitoses and apoptoses, and necrosis, and is negative or only focally positive for S100 as well as increase Ki-67 rate, Immunochemical studies can also be performed on FNA smears.
In summary, FNA biopsy is a useful, easy to perform, safe, and cost effective procedure to diagnose secondary tumors of the thyroid, and can also help avoid unnecessary thyroidectomy in patients with a poor prognosis. However, when making diagnosis of metastatic malignancy, a correlation with clinical history, morphology of previous specimen, and necessary immunohistochemical results is recommended.
References
- 1.Hedinger C, Williams E D, Sobin L H. (1989) The WHO histological classification of thyroid tumors: a commentary on the second edition. , Cancer 63(5), 908-11.
- 2.Sharma U K, Rauniyar R K, Adhikary S, Sinha A. (2008) Intrathyroid metastasis presenting as a solitary thyroid nodule: an unusual case of clinically silent lung cancer. , Kathmandu Univ Med J (KUMJ) 6(1), 109-11.
- 3.Dionigi G, Uccella S, Gandolfo M, Lai A, Bertocchi V et al. (2008) Solitary intrathyroidal metastasis of renal clear cell carcinoma in a toxic substernal multinodular goiter. , Thyroid Res 1(1), 6.
- 4.DeLellis R A. (2004) Secondary tumours of the thyroid. In:DeLellis RA,Lloyd RV,Heitz PU,Eng C,editors. World Health Organization Classification of Tumours: Pathology & Genetics of Tumours of Endocrine Organs.Lyon: 122-123.
- 5.Nakhjavani M K, Gharib H, Goellner J R, van Heerden JA. (1997) Metastasis to the thyroid gland. A report of 43 cases. , Cancer 79(3), 574-8.
- 6.Nemenqani D, Yaqoob N, Khoja H. (2010) Leiomyosarcoma metastatic to the thyroid diagnosed by fine needle aspiration cytology. , J Pak Med Assoc 60(4), 307-9.
- 7.Bode-Lesniewska B, Schroder S, Gemsenjager E, Staubli M, Pfaltz M. (1994) [Leiomyosarcoma in the thyroid gland--primary tumor or metastasis?]. , Pathologe 15(5), 303-7.
- 8.Deng X R, Wang G, Kuang C J, Peng G Z, Chen R S. (2005) Metastasis of leiomyosarcoma to the thyroid. , Chin Med J (Engl) 118(2), 174-6.
- 9.Vankalakunti M, Kaur J, Srinivasan R. (2008) Cytology of sarcoma metastasizing to the thyroid: a case report. , Acta Cytol 52(6), 729-32.
- 10.Gattuso P, Castelli M J, Reyes C V. (1989) Fine needle aspiration cytology of metastatic sarcoma involving the thyroid. , South Med J 82(9), 1158-60.
- 11.Mete O, Ozbey N, Erbil Y, Salmasloglu A, Aral F et al. (2007) Thyroid metastasis of endometrial carcinosarcoma associated with Graves’ disease. , Gynecol Endocrinol 23(10), 562-6.
- 12.Tysome J R, Sandison A, Clarke P M. (2006) Myxoid liposarcoma metastatic to the thyroid gland: a case report and literature review. , J Laryngol Otol 120(6), 511-3.
- 13.Schurch M, Peter H J, Gerber H, Studer H. (1990) Cold follicles in a multinodular human goiter arise partly from a failing iodide pump and partly from deficient iodine organification. , J Clin Endocrinol Metab 71(5), 1224-9.
- 14.Miettinen M, Franssila K O. (2000) Variable expression of keratins and nearly uniform lack of thyroid transcription factor 1 in thyroid anaplastic carcinoma. , Hum Pathol 31(9), 1139-45.
Cited by (4)
This article has been cited by 4 scholarly works according to:
Citing Articles:
Journal of Pathology and Translational Medicine (2021) OpenAlex
Journal of Pathology and Translational Medicine (2021) Crossref
Jiyeon Lee, Yunjoo Cho, Kyue-Hee Choi, I. Hwang, Y. Oh - Journal of Pathology and Translational Medicine (2021) Semantic Scholar
BMJ Case Reports (2020) OpenAlex
BMJ Case Reports (2020) Crossref
Muhammad Hassan Danish, M. Wasif, Nasir Ud Din, M. Awan - BMJ Case Reports (2020) Semantic Scholar
