The Journal of Thyroid Cancer (JTC) is a peer-reviewed, open access journal dedicated to the advancement of knowledge in the field of thyroid cancer. JTC publishes the latest research findings, including clinical and basic science, related to the diagnosis and treatment of malignant and benign thyroid tumors. Our journal provides an international platform for researchers and practicing clinicians to share and discuss the most up-to-date information and perspectives on clinical and laboratory-based topics in the field of thyroid cancer.
Note: An Article Processing Charge (APC) is levied to authors to make a research work available open access in Journal of Thyroid Cancer.
Submit ManuscriptJTC
2574-4496
46 days
56%
12 days
2 days
6
Journal of Thyroid Cancer is a comprehensive, peer-reviewed journal that helps disseminate original research work, having a unique aspect of covering many areas which contributes to providing an awareness of research studies of scientists around the globe.
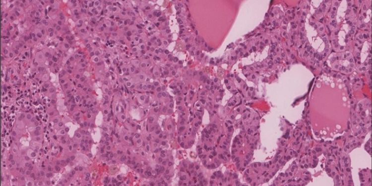
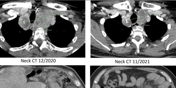
Understanding the Pathophysiology of Thyroid Cancer
Journal of Thyroid Cancer is an international publication committed to the dissemination of cutting-edge discoveries in the realm of Thyroid Cancer, Immunotherapy, Pathophysiology, and Thyroidectomy. As a premier open-access journal, JTC steadfasts in its dedication to amplifying the accessibility and influence of top-tier research in the field of Thyroid Cancer.
Streamlined Submission Methods
The Journal of Thyroid Cancer streamlines the easiest submission journey for authors. With us, the invaluable research of authors will undergo a fair and thorough review process. Upon acceptance, your work will be disseminated to a wide and diverse academic audience, ensuring maximum impact and visibility.
Submission Form to Publish Thyroid Cancer Outcomes
Journal welcomes original research papers, reviews, letters, editorials, case reports, case images, clinical trials, rapid communication, commentaries, thesis, literature review, opinions, mini-reviews, book reviews, and more. Submit via email, or using online submission form, or through the MZ portal.
Open Access: Promoting the Free Exchange of Knowledge and Innovation
Published by Open Access Pub, our journal articles undergo a rigorous peer review process to ensure the highest quality of scientific research. As an open access publisher, our content is freely accessible to readers worldwide, promoting the dissemination of knowledge and fostering collaboration within the scientific community.
Open Access Fees Support the Quality
When an article is accepted for publication by JTC, authors are required to pay article processing charges (APCs). These fees are intended to compensate for the expenses related to publishing, including but not limited to costs for peer review, editing, production, website hosting, and online distribution of original content.
Comprehensive Inquiry Assistance for Authors
Journal encourages author inquiries regarding any facet of the publication process. Whether it pertains to submissions, APCs, or general queries, contact team is poised to provide comprehensive and informative assistance.
Daegu, South Korea. 50, Samduk 2-ga, Daegu, Republic of Korea, 700-721
View Profile
Leo-Brandt-Straße, 52425 Jülich, Germany. RWTH University Hospital Aachen Department of Nuclear Medicine Pauwelsstraße 30, 52074 ...
View Profile
DOI: 10.14302/issn.2574-4496.jtc-25-5497
DOI: 10.14302/issn.2574-4496.jtc-23-4835
DOI: 10.14302/issn.2574-4496.jtc-23-4722
DOI: 10.14302/issn.2574-4496.jtc-23-4674