RET 898-901Del mutant, a variant of unknown significance, has a durable response to Pralsetinib in a Medullary Thyroid Carcinoma patient
Abstract
Background
Patients with distant metastatic Medullary Thyroid Carcinoma (MTC) have an estimated 40% ten-year survival rate. Gain of function mutations in the REarranged during Transfection or RET gene in MTC can result in an aggressive phenotype resistant to traditional therapy. In this case report, we describe the treatment of an MTC patient with a unique RET kinase deletion mutation.
Case presentation
Since diagnosis, 21 years ago, this patient has had chronically elevated calcitonin levels (>40,000 pg/mL) that was unable to be controlled by conventual therapy and clinical trials. As result of uncontrolled MTC, metastatic disease was found in the spine, liver, and lungs.
Circulating tumor DNA (ctDNA) analysis identified a RET 898-901Del mutation, reported as a variant of unknown significance. The treating physician identified that the deletion was in the activation loop of RET kinase and considered that the mutation was constitutively activating RET kinase. The patient was prescribed Pralsetinib, a small molecule inhibitor targeting the ATP binding site of RET. Pralsetinib treatment achieved a durable response and was able to significantly decrease serum calcitonin levels (<200 pg/mL) and tumor size.
Conclusion
This RET deletion mutation is a pathogenic mutation with comparable enzymatic activity to the more common RET M918T mutation. The case report highlights the versatility of structural biologic approaches to guide therapeutic decisions.
Author Contributions
Academic Editor: Hong Wu, Jiangsu Institute of Nuclear Medicine
Checked for plagiarism: Yes
Review by: Single-blind
Copyright © 2023 Patrick Conway, et al.
This is an open-access article distributed under the terms of the Creative Commons Attribution License, which permits unrestricted use, distribution, and reproduction in any medium, provided the original author and source are credited.
Competing interests
The authors have declared that no competing interests exist.
Citation:
Background
The American Cancer Society estimates 44,000 new cases of thyroid cancer/year and 2,200 deaths in the United States 1. A rare subset of thyroid neoplasms, Medullary Thyroid Carcinoma (MTC), is responsible for approximately 4-10% of new cases a year 2. MTC originates in the thyroid parafollicular cells (C-cells), resulting in aberrant calcitonin production 3. Sporadic MTC (SMTC) is the most common form of MTC, causing approximately 75% of all cases 4. Of the sporadic MTC patients, 35% are localized to the thyroid, 50% have metastasized to regional lymph nodes, and 15% are distant metastasis with respective ten-year survival rates of 95%, 75%, and 40% 4. Standard of care treatment for MTC is total thyroidectomy with modified radical neck dissection with/without radiation therapy 4.
REarranged during Transfection or RET gene encodes a receptor tyrosine kinase essential for cell signaling and survival. RET is comprised of an extracellular domain specific for glial cell line-derived neurotrophic growth factor (GDNF) family ligands, and an intracellular domain containing (ICD) a juxta-membrane region (JMR, aa-657-723), kinase domain (KD, aa-724-1016), and a C-terminal domain (CTD, aa-1017-1114) 5. Upon GDNF binding, RET will homodimerize and autophosphorylate multiple sites in the JMR, KD, and CTD leading to signal transduction 5, 6. Within the KD an activation loop (AL) mediates the activation of RET (aa-895-914) utilizing an ‘open’ and ‘closed’ conformation 6. The ‘closed’ AL conformation introduces hydrogen bonding that disrupts the ATP binding pocket (aa-730-738), preventing ATP binding.
RET mutations are found in >50% of sporadic MTC cases, the most common being the M918T non-synonymous substitution 4. The M918T mutation generates new hydrogen bonds within the AL destabilizing the ‘closed’ inhibitory conformation leading to increased ATP binding and autophosphorylation 6. This gain-of-function mutation is associated with highly aggressive tumors with a poor prognosis 7. Here we describe 65-year-old Hispanic male with a 21-year history of sporadic MTC with a RET deletion mutation 898-901, reported as a variant of unknown significance that responded to a specific RET inhibitor Pralsetinib. Investigators obtained informed consent from the patient to publish the information and images in this case report.
Case presentation
A 65-year-old male initially presented in 2001 with right neck swelling diagnosed as sporadic MTC. The patient did not have any significant medical history nor family history of thyroid cancer. He underwent a total thyroidectomy one month after the initial diagnosis. Due to elevated calcitonin levels post-surgery, the patient underwent a modified neck dissection and debulking in 2006. In 2008, patient relapsed with metastasis to his mediastinal lymph nodes and both hips, subsequently treated with radiotherapy. In 2010, the patient was enrolled in a clinical trial for VB-111 (vascular disrupting agent), which resulted in stable disease but increasing calcitonin levels; therefore the trial was discontinued (Figure 1). The patient was lost to follow- up in 2010.
Figure 1.Biomarker Response. The patient’s calcitonin, platelet, and carcinoembryonic antigen levels were trended from May 2013 to March 2022. The dashed blue, red, and green lines indicate the start of Pralsetinib (400 mg PO QD), temporary hold of Pralsetinib due to grade 3 thrombocytopenia, and restarting of Pralsetinib at 200 mg PO QD respectively. Pralasetinib was effective in disease control as evidenced by significantly decreased calcitonin and CEA levels. When Pralsetinib held for thrombocytopenia, calcitonin level increased sharply. Pralsetinib at 200mg PO QD dose was adequate and effective in decreasing calcitonin and CEA levels without inducing thrombocytopenia.
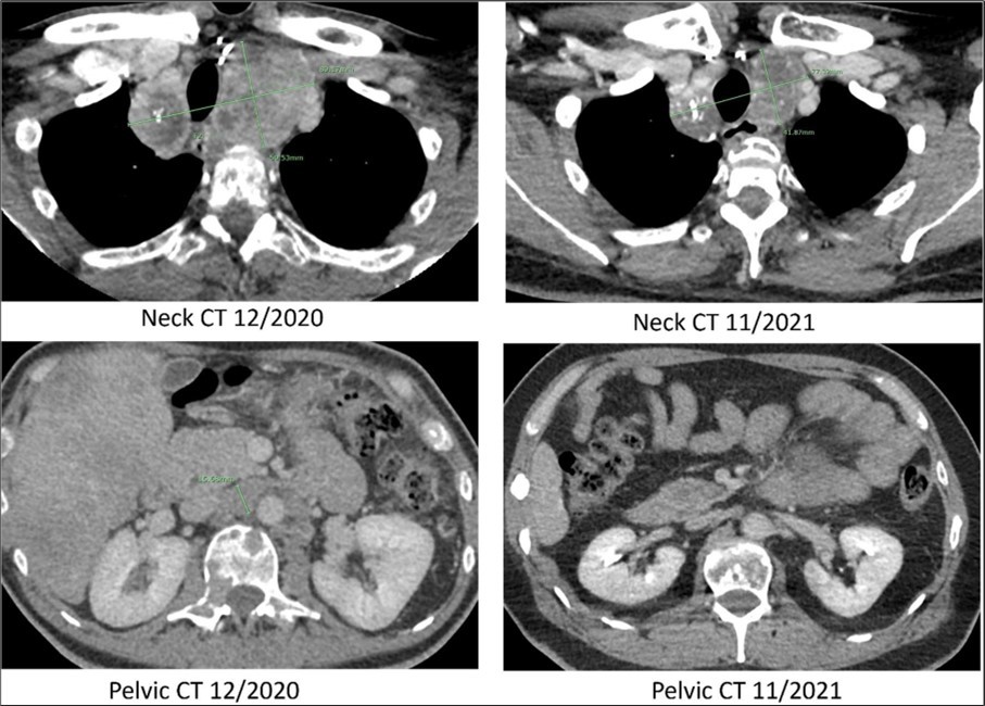
The patient presented to radiation oncology in September 2020 with severe back pain and shown to have widely metastatic disease with a calcitonin level >40,000 pg/mL and carcinoembryonic antigen (CEA) level >2,500 ng/mL. Computerized tomography (CT) with contrast of the chest, abdomen and pelvis revealed worsening mediastinal lymphadenopathy with progressive mass effect and rightward deviation of the trachea at the superior mediastinum (Figure 2). Patient received radiotherapy for four weeks causing epiglottitis and subsequent 25lb weight loss. Progressive osseous metastatic disease was identified with innumerable new expansile lytic lesions throughout the vertebral bodies, posterior elements, ribs, sternum, and scapulae, resulting in pathologic fractures of the C7, T4, T6, and T12 vertebral bodies as well as right posterior 10th rib. In addition, there were innumerable new and enlarging liver lesions and bilateral pulmonary nodules. Patient declined further therapy including further imaging studies.
Figure 2.Computed tomography. CT scans of the neck and pelvis with contrast in December of 2020 (prior to Pralsetinib) and in November of 2021 (eleven months after the start of Pralsetinib). The 2020 neck CT showed a large mass at the thoracic inlet measuring 89mm x 50mm. In 2021 this same mass post treatment had decreased in size to 77mm x 41mm. The 2020 pelvic CT showed a retroperitoneal lymph node enlargement to 15mm, which resolved on the 2021 scan.
The patient was re-referred to the Mays Cancer Center/UTHSA in November of 2020. The patient reported significant mobility issues and severe pain, rating a 3 on the Eastern Cooperative Oncology Group Performance Status (ECOG PS). Circulating tumor DNA (ctDNA) analysis (Guardant360) identified a RET 898-901Del and reported as a variant of unknown significance. Since the deletion was in the activation loop of RET kinase, the treating physician considered that the mutation was constitutively activating RET kinase. The patient was treated with Pralsetinib a small molecule inhibitor targeting the ATP-binding site of the RET kinase in December 2020 with a starting dose of 100mg per day with dose escalation every week to 400mg by mouth (PO) daily (QD). In January 2021 the patient noticed an improvement in quality of life (ECOG PS improved 2) with a significant decrease in serum calcitonin and CEA levels and decreased tumor size. The 400 mg PO QD dosing lead a decrease in platelet count to 51 K/mL in mid-February 2021. Pralsetinib was withheld for five weeks to allow for platelet recovery. In the interim the serum calcitonin level increased with disease progression. The patient was restarted at 200mg of Pralsetinib PO QD in March 2021 which was better tolerated with no further symptoms or signs of toxicity. The Pralsetinib treatment improved the patient’s mobility, pain, and over all quality of life, rating a 0 on the ECOG PS by September 2021.
Conclusions and Discussion
Our patient presented with an untreated metastatic medullary thyroid carcinoma, with severe skeletal pain, limited mobility, diminished quality of life with an ECOG PS 3. Due to a failed clinical trial, side effects of radiotherapy, the patient was resistant to further interventions and monitoring. Through counseling the treating physician was able to perform a ctDNA test (Guardant360) which identified a RET mutation, 898-901Del reported as a variant of unknown significance. Due to the location of the mutation in the activation loop of the kinase, the treating physician surmised that this was an activation mutation and treated the patient with a RET small molecule inhibitor Pralsetinib initiated in December 2020. The patient continues Pralsetinib at the current time (January 2023) with an impressive biomarker and imaging response to therapy.
Canonical kinase activation requires phosphorylation of Ser, Thr, and Tyr residues in the activation loop, which leads to its fixation in the outward position, thus enabling substrate binding. The RET 898-901 deletion mutation is located at the tip of the activation loop (Figure 3A). To assess the impact of the deletion mutation on RET kinase structure, we built an in-silico homology model of the mutant and performed molecular dynamics simulation of the 898-901del mutant, M918T mutant, and wild type (WT) kinase. The overall conformation of all three proteins was very similar. The differences we found is with the accessibility of the ATP binding site located between the N- and C- domains. We monitored the distance between the N- and C- domains by measuring distance between Cα atoms of Glu732 and Asn950 (Figure 3B). Simulations started with kinases in the ‘open’ ATP accessible conformation which measured 19.3Å and were run for 500 nanosecond (NS). In the WT simulation, we observed faster collapse of the ATP binding site which remained closed during the entire 500ns of the simulation (Figure 3C). This is reflected by the shortened distance between residues from the N- and C- domains to from 17.3Å at 250ns. In the deletion and M918T mutants, we observed an initial collapse of the ATP site, similar to the wild type. However, in the deletion mutant, at 250ns, the Glycine Rich Loop of the N-domain shifted away from the C-domain measuring 21Å, yielding access to the ATP site (open conformation). This shift from closed to open conformation was also seen in the M918T mutant, measuring 24Å at 250ns. The effect of increased ATP site accessibility correlates with the mechanism of malignant kinase activation, further supporting our hypothesis of the malicious nature of this mutation.
Figure 3.Molecular dynamic modeling of the RET 898-901Del mutation. Amino acids 898-901 (highlighted in green) are found within the activation loop (highlighted in orange) of the RET kinase A. The activation loop mediates the ‘open’ and ‘closed’ conformations of RET kinase by forming hydrogen bonds with the phosphorylated Y905 and the alpha helix of the C-domain. Phosphorylated Y905 stabilizes the ‘open’ conformation allowing ATP to bind between the C- and N-domains. The distance between the α carbon of amino acid E732 in the C-domain and N950 in the N-domain was used to track the conformational changes of kinase. The activate phosphorylated WT kinase had an N- to C-domain distance of 19.3Å. A 500ns molecular dynamic simulation was performed with WT, 898-901Del, and M918T RET kinases in the ‘open’ conformation with no phosphorylation in the activation loop. The difference in N- to C- domain distance in the deletion mutant (red) and WT (yellow) at 250ns was 4 Å, measuring 21Å (‘open’ conformation) and 17.3Å (‘closed’ conformation) respectively B. The distance between the C- to N-domains was tracked throughout the entire 500ns simulation showing that the 898-901 deletion mutant (green) and M918T mutant (red) had a larger overall distance between the C- and N-domains, compared to the wild type (blue) C. Additionally, the deletion and M918T mutants freely switch between the open and closed conformations. The WT kinase was unable to re-enter the open conformation, due to a lack of phosphorylation within the activation loop.
In Silico molecular dynamic simulations have demonstrated that the RET 898-901Del mutant destabilizes the ‘closed’ inhibitory activation loop conformation, favoring an ‘open’ active conformation sensitive to Pralasetinib. This RET deletion mutation is a pathogenic mutation with comparable enzymatic activity to the more common RET M918T mutation. The case report highlights the versatility of structural biologic approaches to guide therapeutic decisions.
List of abbreviations
RET- REarranged during Transfection
MTC- Medullary thyroid carcinoma
ctDNA- Circulating tumor DNA
GDNF- Glial cell line-derived neurotrophic growth factor
CTD- C-terminal domain
ATP- Adenosine triphosphate
JMR- Juxta-membrane region
KD- Kinase domain
AL- Activation loop
CEA- Carcinoembryonic antigen
CT- Computerized tomography
ECOG PS- Eastern Cooperative Oncology Group Performance Status
PO- per mouth
QD- daily
WT-wild type
NS-nanosecond
Declarations
Ethics approval and consent to participate
Not Applicable
Consent for publication
Patient informed consent was obtained for case study write up and publication. Consent form is available upon request from corresponding author.
Availability of data and materials
The datasets used and/or analyzed during the current study are available from the corresponding author on reasonable request.
Funding
The authors have no funding to declare.
Authors' contributions
Patrick Conway wrote the main manuscript text, Marco Alanis prepared figure 1 and figure 2, and Dmytro Kovalskyy prepared figure 3. Amy Mumbower and Kayla Chamberlin performed the data collection for the figures and assisted in manuscript editing. Daruka Mahadevan conceptualized this project, organized the research team, and edited the final manuscript. All authors reviewed the manuscript.
Authors' information
University of Texas Health San Antonio, Graduate School of Biomedical Sciences San Antonio, Texas, USA.
Patrick Conway MHS PhD-candidate
University of Texas Health San Antonio, Greehey Children’s Cancer Research Institute San Antonio, Texas, USA.
Dmytro Kovalskyy PhD, Senior Research Scientist
University of Texas Health San Antonio, Mays Cancer Center San Antonio, Texas, USA.
Amy L. Mumbower MD, Department of Radiology;
Marco Alanis RN MHA, Department of Oncoogy;
Kayla E. Chamberlin RN, Clinical Research Nurse;
Daruka Mahadevan MD PhD, Division chief of Hematology/Medical Oncology Director,
Director of the Institute for Drug Development, Associate Director Clinical Research.
Acknowledgements
Not applicable
References
- 1.Cancer American. (2022) Society., Key statistics for thyroid cancer. https://www.cancer.org/cancer/thyroid-cancer/about/key-statistics.html#references
- 2.Master S R, Cancer Burns B Medullary Thyroid. (2022) 26. StatPearls. Treasure Island (FL): StatPearls Publishing;. Jan.https://www.ncbi.nlm.nih.gov/books/NBK459354/
- 3.Ceolin L, M A Duval, A F Benini, C V Ferreira, & Maia et al. (2019) Medullary thyroid carcinoma beyond surgery: Advances, challenges, and perspectives. , Endocrine-Related Cancer 26(9), 10-1530.
- 4.J A Barletta, Nosé V, & Sadow, M P. (2021) Genomics and epigenomics of medullary thyroid carcinoma: From sporadic disease to familial manifestations. , Endocrine Pathology 32(1), 35-43.
- 5.Salvatore D, Santoro M, & Schlumberger, M. (2021) The importance of the RET gene in thyroid cancer and therapeutic implications. , Nature Reviews Endocrinology 17(5), 296-306.
