Differences in the Alveolar Macrophage Proteome in Transgenic Mice Expressing Human SP-A1 and SP-A2
Abstract
Surfactant protein A (SP-A) plays a number of roles in lung host defense and innate immunity. There are two human genes, SFTPA1 and SFTPA2, and evidence indicates that the function of SP-A1 and SP-A2 proteins differ in several respects. To investigate the impact of SP-A1 and SP-A2 on the alveolar macrophage (AM) phenotype, we generated humanized transgenic (hTG) mice on the SP-A knockout (KO) background, each expressing human SP-A1 or SP-A2. Using two-dimensional difference gel electrophoresis (2D-DIGE) we studied the AM cellular proteome. We compared mouse lines expressing high levels of SP-A1, high levels of SP-A2, low levels of SP-A1, and low levels of SP-A2, with wild type (WT) and SP-A KO mice. AM from mice expressing high levels of SP-A2 were the most similar to WT mice, particularly for proteins related to actin and the cytoskeleton, as well as proteins regulated by Nrf2. The expression patterns from mouse lines expressing higher levels of the transgenes were almost the inverse of one another – the most highly expressed proteins in SP-A2 exhibited the lowest levels in the SP-A1 mice and vice versa. The mouse lines where each expressed low levels of SP-A1 or SP-A2 transgene had very similar protein expression patterns suggesting that responses to low levels of SP-A are independent of SP-A genotype, whereas the responses to higher amounts of SP-A are genotype-dependent. Together these observations indicate that in vivo exposure to SP-A1 or SP-A2 differentially affects the proteomic expression of AMs, with SP-A2 being more similar to WT.
Author Contributions
Academic Editor: Idriss M. Bennani-Baiti, Director, The Reference Gene Database, 1180 Vienna, Austria
Checked for plagiarism: Yes
Review by: Single-blind
Copyright © 2013 David S. Phelps, et al.
This is an open-access article distributed under the terms of the Creative Commons Attribution License, which permits unrestricted use, distribution, and reproduction in any medium, provided the original author and source are credited.
Competing interests
The authors have declared that no competing interests exist.
Citation:
Introduction
Surfactant protein-A (SP-A) is a member of the collectin family with an N-terminal collagen-like domain and a C-terminal carbohydrate recognition domain (CRD) that binds to many macromolecules, pathogens, and allergens 1, 2. Most mammals possess a single SP-A gene, but humans and primates have two functional SP-A genes (SFTPA1 and SFTPA2). The human SP-A monomer is a 35kDa protein of 248 amino acids. In the coding region, the gene-specific differences of SP-A1 and SP-A2 consist of four amino acids 3, 4.
SP-A influences host defense function in a variety of ways. It recognizes and binds to pathogen-associated molecular patterns. These interactions are complex and may involve binding sites in addition to the CRD. Direct interaction with pathogens constitutes one aspect of its host defense function, but SP-A also aids in the clearance of particulates, allergens, and debris 5, 6, 7, 8, 9. SP-A also influences the alveolar macrophage (AM) by regulating many cytokines, including TNF-α, IL-1β, and others 10, 11, 12, 13, 14, 15, 16, 17, 18, 19, 20, and cell surface molecules, such as CD11b (CR3), TLR2 and TLR4, the mannose receptor, scavenger receptor A, and CD14 21, 22, 23, 24, 25. Also, SP-A helps maintain redox balance 26, 27, 28, 29, 30, enhances phagocytosis by AM 31, 32, 33, 34, contributes to bacterial killing 35, 36, 37, affects the development of dendritic cells 38, and links innate and adaptive immunity 39. Despite these diverse functions, gaps remain in our knowledge of how SP-A influences host defense and the cell types it affects, especially under basal or unstimulated conditions.
Several studies have identified functional differences between SP-A1 and SP-A2 in innate immune functions (including many of those mentioned above), and in several surfactant-related functions. These included cytokine production 12, 18, 20, modulation of surfactant secretion 40, phagocytosis by AM 33, 34, 41, and other surfactant structural characteristics 42, 43, 44, 45. Both SP-A1 and SP-A2 are required to form tubular myelin, an extracellular form of surfactant 46. Differences in the structure and posttranslational modification of SP-A1 and SP-A2 have been observed 47, and it is likely that some of these structural differences are responsible for functional differences 44. It is of interest that differences in the SFTPA1 and SFTPA2 expression, as assessed by the ratio of SP-A1 to total SP-A, have been reported in human bronchoalveolar lavage (BAL) based on age and lung health 48, 49.
The AM, the primary effector cell for lung innate immunity, exhibits a unique phenotype 50 that is influenced by SP-A 21, 22, 23, 24, 25, 31, 32, although the extent of this effect is not fully understood. Previously, by administering exogenous SP-A to SP-A KO mice, we demonstrated that SP-A significantly alters the AM proteome, making it more like that of wild type mice51. In this study we hypothesized that the AM proteome is differentially affected by the in vivo presence of SP-A1 or SP-A2 in the alveoli of the lungs of SP-A humanized transgenic (hTG) mice. This hypothesis was investigated by generating various SP-A hTG mouse lines to use in a proteomics study with the two-dimensional difference gel electrophoresis (2D-DIGE) experimental design in order to study the AM proteome among the various mouse lines.
Materials and Methods
Animals and Cells
For this study, we used wild-type C57BL/6 mice obtained from the Jackson Laboratory (Bar Harbor, ME). SP-A KO mice were propagated in the animal core facility of the Pennsylvania State University College of Medicine. Humanized TG SP-A1 and SP-A2 mice that each carried an SP-A1 or SP-A2 variant were generated on the SP-A KO C57BL/6 background as previously described 46. In the normal human lung SP-A1 and SP-A2 are expressed in type 2 alveolar epithelial cells. The transgenes contain the promoter of SP-C, which is only expressed in type 2 cells. The inclusion of this promoter in the transgenes assures that they too are expressed only in type 2 cells.
All procedures involving animals used protocols that were approved by the Institutional Animal Care and Use Committee at the Pennsylvania State University College of Medicine. All mice were maintained in facilities under pathogen-free conditions or in barrier containment facilities.
AM were obtained by BAL 51. Cells were washed and counted. A cytospin was prepared, stained, and a differential cell count performed. In all cases AM constituted at least 95% of the cells obtained. The cell-free BAL fluid was frozen for later analysis. All groups consisted of at least 4 mice.
Characterization of Humanized TG Mice
Southern Blot and Hybridization
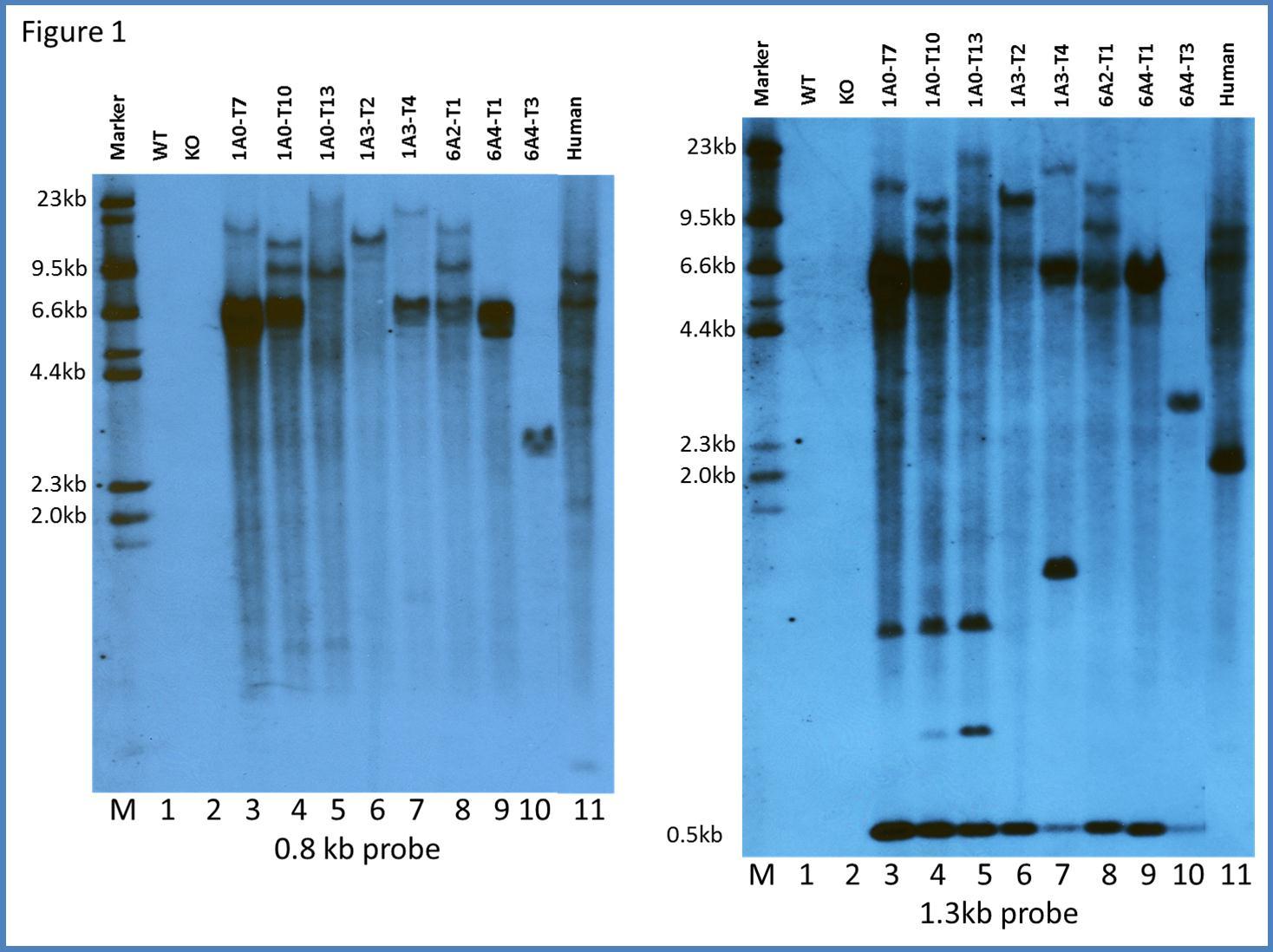
To study the copy number of the transgenes in the SP-A1 and SP-A2 hTG mice, total DNA was extracted and purified from the mouse tails and human lung tissue using the DNeasy Blood & Tissue Kit (Qiagen, Valencia, CA). Eight μg of pure DNA from each sample were digested overnight at 37°C with the restriction enzyme EcoRI and the digestions were subjected to 0.7% agarose gel electrophoresis and transferred to a Nylon membrane for Southern blot analysis. Two DNA probes (0.8 and 1.3 kb) amplified from human SP-A cDNA of SP-A2 (1A3) were labeled with digoxigenin (PCR DIG Probe Synthesis Kit, Roche, Indianapolis, IN) and used for hybridization to detect the SP-A transgenes by Southern blot. The 0.8kb probe was generated using primers 2058/2059 and contains the coding region of exons I-IV, and the 1.3kb probe was generated with primers 2058 and 2060 and contains the coding region (exons I-IV) plus a partial 3’UTR sequence which is part of exon IV. The sequences of the probes are listed in Supplementary Table 1. Hybridization was done overnight at 48°C in DIG Easy Hyb Granules solution (Roche, Indianapolis, IN). The membranes were then washed and detected with anti-DIG AP using chemiluminescence and exposed to X-ray film.
Quantitative Real Time PCR
Quantitative PCR (qPCR) was conducted in 10 ml reactions (384-well plates) consisting of 10 ng of mouse genomic DNA, TaqMan SP-A1, SP-A2, or mouse reference assays, and TaqMan master mix (Applied Biosystems, Foster City, CA, USA). Custom-designed TaqMan® Assays were purchased from Applied Biosystems (Foster City, CA, USA) for human SP-A1 (assay Hs01921510) and human SP-A2 (assay Hs00359837). The mouse Trfc TaqMan® Copy Number Reference Assay (Applied Biosystems, Foster City, CA, USA) was used as reference. Gene amplification was achieved using the following protocol: denaturing for 10 min at 94°C, and 40 cycles of 94°C for 15 sec and 60°C for 60 sec. Four replicates were run per reaction. These were monitored with the 7700 Real-Time PCR System (Applied Biosystems, Foster City, CA, USA). A standard curve was also amplified using serial dilutions of the vector used to generate the transgenic mice, ranging from 0.1 to 1000 copies of the transgene. The mass of one copy of the plasmid was calculated by the formula described by Joshi et al 52.
Copy Number Determination
Confirmation of Orientation of Integrated Transgene
Endpoint PCR was performed in 400 ng of mouse genomic DNA with the Fast Start High Fidelity PCR system (Roche Diagnostics, Indianapolis, IN) and specific primers listed in Supplementary Table 1. Primer pairs 1636/1634 were used to detect head to tail concatemers, 2114/1636 to detect tail to tail, and primer 1634 was used to detect head to head concatemers. The following protocol was used: denaturing for 2 min at 94°C, and 40 cycles of denaturing at 94°C for 30 sec, annealing at 59°C for 30 sec, and extension at 72° C for 1 min. PCR products were resolved on 1% agarose and confirmed by sequencing.
SP-A Assessment
Initial characterization of BAL fluid was done to confirm the presence of the expected SP-A protein. Blots were prepared as described subsequently and immunostained with either an antibody specific to SP-A1 48 or an antibody specific for SP-A2 (Aviva Systems Biology, San Diego, CA). Because these two antibodies differed considerably in their relative affinities, these were used for positive identification of SP-A1 and SP-A2 transgenes and not for quantitation.
To determine the amount of secreted hSP-A in the lungs of hTG mice, lungs were lavaged and lavage samples (25 µl of BAL/sample) were subjected to gel electrophoresis (12.5% SDS-PAGE) under reducing conditions. Human SP-A in the BAL fluid was detected by Western blot analysis using a specific SP-A antibody that recognizes both SP-A1 and SP-A2, as described previously 40. Briefly, proteins were then transferred to nitrocellulose and SP-A detected using a rabbit antibody (IgG) to human SP-A (1:20,000) and goat anti-rabbit IgG (horseradish peroxidase-conjugated) secondary antibody. Following enhanced chemiluminescent detection, blots were exposed to X-ray film and densitometry performed on the films using a Bio-Rad GS-800 Densitometer and Quantity One Software.
Proteomics
For the proteomic study we used humanized transgenic mice expressing SP-A1 and SP-A2 at high levels and two mouse lines that expressed SP-A1 and SP-A2 at low levels, in addition to KO mice and WT mice. The SP-A1 mouse lines were 6A2 T1 (subsequently referred to as 6A2) that expressed high levels of SP-A1, and a mouse expressing low levels of SP-A1 that is designated 6A4-LE. The SP-A2 mice consisted of two high expressing mouse lines, 1A0-T10 and 1A0 T13, subsequently called 1A0 mice, and a low expressing mouse line designated 1A0-LE. The T stands for transgene and the number next to it indicates the particular mouse line expressing a given SP-A variant.
To prepare AM for 2D-DIGE frozen AM pellets were lyophilized until completely dry and resuspended in 25 µL of standard cell lysis buffer (30 mM Tris-HCl, 2 M thiourea, 7 M urea, 4% CHAPS, pH 8.5). Protein determinations were done using the Bio-Rad Protein Assay (Bio-Rad, Hercules, CA) and the concentration of protein was adjusted to 1mg/ml for labeling with either Cy3 or Cy5. Twenty micrograms of protein was used for each sample. These procedures and the subsequent 2D-DIGE were performed as we have described in detail 51. Following electrophoresis gels were scanned using a Typhoon scanner and Gel images were imported into the Progenesis SameSpots v4.0 program (Nonlinear Dynamics) for analysis. For identified proteins having multiple isoforms, the normalized volumes of all isoforms of a given protein were added together and statistical analysis was performed on the totals using Microsoft Excel.
Normalization of Data from Combined 2D-DIGE Experiments
Data were normalized between three independent 2D-DIGE experiments using the KO AM samples present in each experiment. The mean KO AM value was determined for each protein for each of the three experiments. These means were then used to calculate a correction factor for each protein and used to normalize the data for all experiments.
Generation of Heat Maps
Heat maps were generated in Excel (Microsoft). Means of the normalized values for each protein were subject to conditional formatting with the highest value assigned a red color, middle values a yellow color, lowest values a green color, and intermediate values colored with the appropriate shades depending upon where they fall within the range for that protein. All heat maps included values for lines containing the two highly expressed transgenes, the transgenes expressed at low levels, the WT mice, and the KO mice. For each analysis one group of AM was considered the index group and its proteins were arranged so that they went from high to low expression levels for that group.
Results and Discussion
SP-A hTG Mice and Transgene Copy Number
First, we confirmed the presence of the transgene by Southern Blot (Figure 1)as described in Materials and Methods. Two specific probes were used for validation purposes. The absence of the transgene in both WT and SP-A KO mice is shown in lanes 1 and 2 (negative controls). Genomic DNA obtained from human lung tissue was used as a positive control (lane 11). All genomic DNA from humanized TG mice showed a positive signal indicating that they contained human SP-A transgene sequences, with several bands and differences in the band intensities being observed among samples. Although these may indicate differences in the copy number of the transgenes, comparison of Southern blot band intensities does not always give accurate and quantitative results 53. Therefore, we next estimated the copy number by Real Time PCR, as described in Materials and Methods, and by absolute (standard curve) (not shown) and relative (Copy Caller) quantification (Table 1). Both approaches resulted in similar, if not equal, copy number.
Figure 1.Southern Blot analysis of transgene integration in hSP-A1 and hSP-A2 TG mice. Genomic DNA was prepared from hSP-A TG, SP-A KO, and WT mice, as well as from human lung tissue. DNA samples were digested with EcoRI and subjected to agarose gel electrophoresis followed by Southern blot analysis. The hSP-A genes were detected with DIG-labeled DNA probes with sizes of 0.8kb (left panel) and 1.3kb (right panel), as described in Materials and Methods. The sequences of the probes are listed in Supplementary Table 1. The 0.8kb probe is located within the SP-A coding region (exons I-IV) and the corresponding sequence in the transgene does not contain an EcoRI restriction site. The 1.3kb probe contains the SP-A coding region (exons I-IV) plus a partial 3’UTR sequence, and the corresponding sequence in the transgene contains one EcoRI restriction site, that results in an additional 0.5kb band that is detected with this probe (lanes 3-10). DNA from both WT and KO was not detected with either probe (negative controls), confirming the absence of the transgene and lack of cross hybridization with non-SP-A sequence. Genomic DNA obtained from human lung tissue was used as a positive control (lane 11).
| SP-A1 mice | Copy # |
|---|---|
| *6A2 T1 | 2 |
| 6A4 T1 | 3-4 |
| *KO | 0 |
| *WT | 0 |
| SP-A2 mice | Copy # |
| 1A0 T7 | >10 |
| *1A0 T10 | >10 |
| *1A0 T13 | >10 |
| 1A3 T2 | 1-2 |
| 1A3 T4 | 1-2 |
| *KO | 0 |
| *WT | 0 |
Next we determined transgene orientation, and concatemer occurrence by end point PCR, with primers described in Supplementary Table 1. Supplementary Figure 2 shows specific amplification of head to tail concatemers, consistent with southern blot analysis and our previous work 46. These were further purified, and confirmed by DNA sequencing. The reference numbers for the variants on NCBI are: 6A2 (GenBank: HQ021434.1); 6A4 (GenBank: HQ021436.1); 1A0 (GenBank: HQ021421.1); 1A3 (GenBank: HQ021430.1).
No bands were detected in negative controls of one copy (human DNA, plasmid DNA of 1A3-T4 and 6A4-T3) or controls without the transgene (WT, KO). The presence of head to tail concatemers appeared to result in a band(s) of approximately 6.6kb size shown in Figure 1. The 1A0-T13, although it was shown to have multiple copies by PCR, these apparently are not concatemers (Figure 1, lane 5) because it lacks the intense 6.6kb band. Also no bands were obtained with specific primers to detect head to head or tail to tail concatemers (data not shown). TG mouse lines with a high copy number of a given transgene tended to have a higher level of SP-A expression, although the level of expression and the copy number did not always have a linear relationship (data not shown). This may reflect different sites of integration.
We used some of these mice to study the impact of chronic SP-A variant exposure on the AM phenotype using a proteomic approach. SP-A expression in the mouse lines used in the present study was first assessed by antibodies specific to SP-A1 and SP-A2 to confirm the presence and specificity of SP-A1 and SP-A2 expression in each transgenic line, as described in Methods and Materials. Because the affinities of these antibodies were different we could not use these for quantitative determinations. Thus, we measured total SP-A levels in the BAL of each mouse with an SP-A antibody recognizing both SP-A1 and SP-A2. Total SP-A levels were then measured on 25 µl of BAL/sample. Figure 2 shows a box plot in which the mean values from the immunostained SP-A bands from the 6A2 (SP-A1) and 1A0 (SP-A2) mice used in this study are plotted on a log scale. Under these conditions levels from the mice referred to as low expressors (6A4-LE and 1A0-LE) were barely detectable. The Western blot from which these data were obtained is depicted in Supplementary Figure 2.With this protein load the bands for the LE mice are not visible.
Figure 2.Values from SP-A immunostained Western blots from mouse BAL. Identical aliquots from the BAL of mice used for the proteomic study were subject to electrophoresis, immunostained with an antibody to human SP-A (both SP-A1 and SP-A2), and scanned. Means values (dark lines) from the scans are graphed on a log scale with a box plot and individual data points are shown. The immunoblot from which these values were derived is shown in Supplementary Figure 2.
Proteomics
Overview:We have previously studied the expression of 76 proteins in AM from SP-A KO mice after administration of exogenous SP-A 51. The reference gel and list of identified proteins are shown in Supplementary Figure 3. These proteins were identified by MALDI-ToF/ToF and in cases where multiple spots were determined to represent different isoforms of a given protein, the values were added together and statistical analysis was done on the sum of the spots. The identified proteins were grouped into five functional groups 51 based on a review of the literature. These groups included: actin-related/cytoskeletal proteins; Nrf2-regulated proteins; protease balance/chaperone function proteins; regulation of inflammation proteins; and regulatory/differentiative process proteins. Some proteins are included in more than one group and some others are not in any group.
In this study we compared SP-A KO mice or WT mice with several mouse lines containing human SP-A transgenes to determine the effects of endogenous expression of the human SP-A transgenes on the AM proteome. The high-expressing SP-A1 (6A2) and SP-A2 (1A0) lines used in the proteomic study are marked with an asterisk in Table 1. The two low expressors (LE) for SP-A1 (6A4-LE) and SP-A2 (1A0-LE) are not shown in Table 1. Mouse lines included those that expressed the human SP-A1 gene, one expressing the 6A4 variant at low levels and another expressing the 6A2 variant at higher levels, and those expressing the human SP-A2 gene (1A0 variant) at low levels and at high levels. In summary, from here on,the SP-A1 and SP-A2 variants used in the proteomics study are referred to as 6A2, 6A4-LE, and 1A0, 1A0-LE, respectively.
Significant changes from KO:We first compared the transgenic mice to SP-A KO mice in order to determine how the presence of human SP-A in the transgenics altered the proteome of the alveolar macrophage (Table 2). All of the proteins with significantly changed levels are listed in SupplementaryTable 2A. As one might anticipate, both of the low expressing (LE) mouse lines had many fewer proteins that changed significantly from KO levels than did lines expressing higher levels. There were 11 proteins that were significantly different in 6A4-LE mice than in KO and 8 proteins that were significantly different in the 1A0-LE mice. Interestingly, in both 1A0-LE and 6A4-LE there were four proteins that changed significantly and in similar directions (increased or decreased) including cathepsin D precursor, chitinase 3-like 3 precursor, nucleophosmin 1, and the prolyl 4-hydroxylase beta polypeptide precursor. The fact that these changes occurred in both hTG lines suggests that while these proteins may be human SP-A responsive, the responses are not genotype-specific.
Table 2. Summary of number of proteins with significant differences.| Transgenic line | vs. KO | vs. WT |
|---|---|---|
| 6A4-LE (SP-A1) | 11 | 31 |
| 1A0-LE (SP-A2) | 8 | 34 |
| 6A2 (SP-A1) | 26 | 47 |
| 1A0 (SP-A2) | 19 | 17 |
AM from mice expressing higher levels of SP-A1 and SP-A2 had many more significant differences from KO, 27 in SP-A1 (6A2) and 19 in SP-A2 (1A0), suggesting some degree of dose dependency as compared to the “low expressing” lines. However, the greater number of significant changes vs KO in the 6A2 mice as compared to the 1A0 mice suggests that SP-A dose dependency (based on the differences in SP-A levels between the 1A0 and 6A2 lines (Figure 2)) did not have a major influence on the differences between these mouse lines and that these differences were largely variant-specific rather than dose-specific. As in the lower expressing mouse lines, there were some proteins (n=10) that were significantly different from KO in both lines. However, of these ten, while five were similarly regulated in both mouse lines (actin-related protein 2/3 complex, subunit 5; heat shock protein 5 precursor; keratin complex 2, basic, gene 8; prolyl 4-hydroxylase, beta polypeptide precursor; protein synthesis initiation factor 4A), there were five significantly changed proteins that were increased relative to KO mice in one mouse line and decreased in the other (ferritin heavy chain; gelsolin precursor; high mobility group 1 protein; protein disulfide isomerase associated 6; Rab GDP dissociation inhibitor beta). This implied that although the expression of the nine proteins was human SP-A-dependent, the directionality of the response (increase vs decrease) was genotype-dependent.
Significant changes from WT:We also compared the transgenics to WT mice. In these comparisons, the greater the similarity between a transgenic mouse line and WT, the lower the number of significant differences. Changes may reflect differences in the effects of endogenous mouse SP-A (in WT mice) vs those produced by the expressed human SP-A transgene or differences in the levels of SP-A regardless of type. The benchmark for these analyses is the comparison between WT and SP-A KO mice where there were 21 significant differences out of the 76 identified proteins.
SP-A2: We first compared the mice expressing the 1A0 variant to WT. The AM of mice expressing higher amounts of SP-A expressed 17 proteins at levels significantly different from those in WT mice. The proteins undergoing significant changes are listed in Supplementary Table 2B. This is in sharp contrast to the mice expressing very low amounts of 1A0-LE. In the 1A0-LE mice there were 34 significantly different proteins as compared to WT. These results suggested that higher levels of expression of 1A0 resulted in an AM phenotype that was more similar to that of WT mice compared to that observed with low expressors. In fact, nine of the 17 significantly different proteins in the 1A0/WT comparison were also significantly different in the 1A0-LE/WT comparison, suggesting that the threshold levels of SP-A2 responsible for the effects on AM protein expression were quite low.
SP-A1: We then compared each of the two mouse lines expressing SP-A1 (6A4-LE and 6A2) to WT. AM from the transgenic mice that had high amounts of SP-A1 (6A2) expressed 47 proteins at levels significantly different from WT (see Supplementary Table 2B). In the 6A4-LE mice there were 31 significant differences from the WT, indicating that the similarity to WT was greater with lower levels of SP-A1. Of these changes, 24 were present in both groups (high and low SP-A1), although 2 of the 24 were differentially expressed in the two lines. This is in contrast to the findings with 1A0-LE and 1A0 (see above) where the degree of similarity of 1A0 to WT was increased with higher 1A0 levels (i.e. fewer significant differences between 1A0 and WT). This much higher number of significant changes between SP-A1 and WT indicates the SP-A1 transgenes are far less effective, regardless of level, than SP-A2 transgenes in terms of restoring a WT phenotype. Alternatively, it may be that SP-A2 regulates many macrophage proteins in a manner similar to that of native mouse SP-A, whereas SP-A1 may be less effective or may alter the expression of proteins that are not affected by either native mouse SP-A or human SP-A2.
Heat Maps
Overview:In an effort to gain some insight into the functional significance of the changes in protein expression we generated a series of heat maps comparing protein expression in each of the hTG mouse lines, SP-A KO mice, and WT mice. In these maps the highest level of expression among all mouse lines was encoded with a bright red color, the lowest level of expression with a bright green and intermediate levels with yellow. All values were ranked and assigned shades of red, yellow, or green depending on where they fell within the spectrum of expression for each protein.
We organized the map by arranging all 76 proteins in the WT mice on the basis of highest to lowest levels and then compared WT to the other groups (Figure 3). Although this map is very complex there are a couple of interesting features. The first of these is that the map for the 1A0 mice resembles, to some degree, that of the WT mice. This is apparent in the high abundance of high expressing (red) proteins in the top half of the figure and an abundance of low expressing (green) proteins in the bottom portion. The second prominent feature is that the 6A2 mice are probably the most different from WT in terms of protein expression. In the 6A2 mice in the bottom half of the heat map there is a large number of high expression levels (red) corresponding to the lowest levels (green) in the WT. A similar discordance between WT and 6A2 is seen in the top half where highly expressed proteins (red) in the WT correspond to the lowest expressed (green) in the 6A2. The differences between 1A0 and 6A2 mice are further accentuated when a heat map is generated in which expression levels are stratified according to values obtained in the 1A0 mice (Supplementary Figure 4). Thus the observation from this heat map is that the 1A0 is most similar to the WT and 6A2 is the most different.
Figure 3.Heat map of all proteins. A heat map is shown for WT mice and all of the hTG lines used in this study. The protein order is arranged based on levels of expression in WT mice. Red bars have the highest levels, yellow are in the middle of the range, and green are lowest. Intermediate levels are colored with the appropriate shades. The column labeled “Gel#” indicates the number of a given protein in the reference gel (Supplementary Figure 3). The numbers in each bar indicate the average normalized volume for the spot/s representing each protein.
Functional group heat maps: In an attempt to try to simplify the complicated picture obtained following the comparison of all 76 proteins, we studied heat maps of proteins assigned to the 5 functional groups that we have defined in previous studies 51, 54. The protein names, accession numbers, and references supporting the assignment of each protein to a particular group have been previously published 51, 54. These groups represented important macrophage functions and included: actin-related/cytoskeletal proteins; Nrf2-regulated proteins; protease balance/chaperone function proteins; regulation of inflammation proteins; regulatory/differentiative proteins. In each of these heat maps (Figure 4,Figure 5,Figure 6,Figure 7,Figure 8), Panel A depicts levels of expression in 1A0 and 6A2 that are stratified by levels in WT mice, and Panel B depicts 1A0 and 6A2 levels arranged by levels of expression in the 1A0 mice, making the differences between these two hTG lines much more evident.
The impression obtained from examining the actin-related proteins (Figure 4A) was similar to that when we examined all proteins. Namely, the overall expression pattern was most similar to WT in the 1A0 mice and most different in the 6A2 mice. The difference between the 1A0 (SP-A2) and 6A2 (SP-A1) mice was further accentuated when we rearranged the heat map according to the levels of expression in the 1A0 mice (Figure 4B). The two protein expression patterns obtained in this case are nearly the inverse of one another. The changes in the actin-related/cytoskeletal proteins may indicate differences in motility and phagocytosis in the AM from the two hTG lines. Indeed, in a study from our laboratory studying the effects of SP-A1 and SP-A2 on phagocytosis in vitro we found that SP-A2 enhanced phagocytosis of Pseudomonas aeruginosa more than SP-A1 did 33, 34.
Figure 4.Heat map of actin-related/cytoskeletal proteins. Panel A depicts a heat map of the actin-related/cytoskeletal proteins expressed in WT, 1A0, and 6A2 mice stratified according to WT levels. Color scheme is as described in Figure 3. The column labeled “Gel #” refers to the numbers in Supplementary Figure 3. Panel B depicts the same group of proteins arranged according to levels of expression in 1A0 mice.
Figure 5.Heat map of Nrf2-regulated proteins. Panel A depicts a heat map of the Nrf2-regulated proteins expressed in WT, 1A0, and 6A2 mice stratified according to WT levels. Color scheme is as described in Figure 3. The column labeled “Gel #” refers to the numbers in Supplementary Figure 3. Panel B depicts the same group of proteins arranged according to levels of expression in 1A0 mice.
Figure 6.Heat map of regulatory/differentiative process proteins. Panel A depicts a heat map of the regulatory/differentiative proteins expressed in WT, 1A0, and 6A2 mice stratified according to WT levels. Color scheme is as described in Figure 3. The column labeled “Gel #” refers to the numbers in Supplementary Figure 3. Panel B depicts the same group of proteins arranged according to levels of expression in 1A0 mice.
Figure 7.Heat map of protease balance/chaperone function proteins. Panel A depicts a heat map of the protease balance/chaperone function proteins expressed in WT, 1A0, and 6A2 mice stratified according to WT levels. Color scheme is as described in Figure 3. The column labeled “Gel #” refers to the numbers in Supplementary Figure 3. Panel B depicts the same group of proteins arranged according to levels of expression in 1A0 mice.
Figure 8.Heat map of regulation of inflammation proteins. Panel A depicts a heat map of the regulation of inflammation proteins expressed in WT, 1A0, and 6A2 mice stratified according to WT levels. Color scheme is as described in Figure 3. The column labeled “Gel #” refers to the numbers in Supplementary Figure 3. Panel B depicts the same group of proteins arranged according to levels of expression in 1A0 mice.
Figure 9.Heat maps of functional groups. Heat maps are shown for each functional group of proteins depicting the expression in KO, 1A0-LE and 6A4-LE mice stratified according to KO levels. Color scheme is as described in Figure 3. The column labeled “Gel #” refers to the numbers in Supplementary Figure 3. Panel A shows the heat map for actin-related/cytoskeletal proteins. Panel B shows the heat map for Nrf2-regulated proteins. Panel C shows the heat map for protease balance/chaperone function proteins. Panel D shows the heat map for regulation of inflammation proteins. Panel E shows the heat map for regulatory/differentiative proteins.
Similar patterns, where the 1A0 resembled that of WT, were also seen among the Nrf-2 regulated proteins (Figure 5A) and the regulatory/differentiative proteins (Figure 6A). The 1A0 heat maps (Figure 5B and Figure 6B) clearly demonstrated the contrast between 1A0 and 6A2 AM. The similarity between WT and 1A0 was less obvious in the protease balance/chaperone function (Figure 7A) and the regulation of inflammation (Figure 8A) groups, although in these two functional groups the markedly different patterns between 1A0 and 6A2 remained readily apparent (Figure 5B-Figure 8B). The marked differences in the proteomic profile of each of these functional groups between these two hTG lines lends further support to the idea that these two very similar protein variants have unique functional capabilities and that there are definite differences in phenotypes with respect to their associated functions. The variation in the pattern of proteins regulated by Nrf2 indicates that these two lines may have a very different response to oxidative stress. Similarly, the disparities in the two mouse lines in the protease balance/chaperone function protein group may result in distinctly different abilities to repair damage following injury. This is also likely to be the case with the differences in the proteins involved in the regulation of inflammation that predict altered responses to inflammatory stimuli. Indeed, when we tested the ability of SP-A1 and SP-A2 to induce proinflammatory cytokines in a macrophage cell line we found SP-A2 to be more effective than SP-A1 18, 20. Confirming these effects and the consequences of the above-described proteomic changes in vivo is an important undertaking for future studies. However, based on the distinct proteomic differences observed in the present study, we speculate that significant differences will be found in vivo between SP-A1 and SP-A2 in terms of their ability to regulate inflammatory processes, responses to oxidative stress, and other functions.
Low expressors: It was interesting to note that although there were many differences in protein expression between AM from mice with higher levels of SP-A1 and SP-A2, a high degree of similarity was observed between mice expressing low levels of SP-A2 (1A0-LE) and SP-A1 (6A4-LE)in the heat map stratified by expression patterns in the WT (Figure 3). As pointed out above, there were relatively few significant differences between KO (Supplementary Table 2A) and each of these two low expressing hTG mouse lines.
Both low expressing hTG lines were very different from KO, but very similar to one another (Supplementary Figure 5).
The similarity between these two lines is perhaps best appreciated in heat maps of the different functional groups after stratification of the heat maps based on expression levels in AM from SP-A KO mice (Figure 9A-E). As noted earlier, there were relatively few significant differences from the KO in these low expressing lines (8 in 1A0-LE; 11 in 6A4-LE). The similarities in the heat maps of the two low expressing hTG lines may indicate that a relatively low level of human SP-A expression, regardless of variant type, is adequate to produce some changes that seem to be independent of genotype, but that when higher levels of SP-A are expressed each variant produces distinct phenotypes.
A potential limitation of this study is the fact that the different SP-A variants were expressed at different levels. However, in normal and diseased humans SP-A levels in the BAL are quite variable as well 48, 55, 56. The SP-A levels in BAL from normal healthy humans varied over an order of magnitude, and when samples from diseased humans were included the variation could exceed two orders of magnitude. In addition, the use of different antibodies and standards has resulted in variability in reported BAL SP-A levels among different studies 57. Moreover, in a study involving 49 normal human lungs we measured SP-A1/total SP-A ratios and found a range of 0.003 to .999 (mean 0.21; SD 0.241) 48.
In the present study we compared KO mice to 1A0 high expressing mice that had been stratified further within this high-expressing group into a higher subgroup and a lower subgroup, as well as the 1A0 low expressors. When this was done, although in some instances protein expression levels varied proportionally with SP-A levels, in most cases it did not, and only two of these cases involved significant changes from the KO values. It was interesting to note that in several of the examples where protein expression varied with 1A0 levels, the protein changes with 6A2 were in the other direction (decrease vs. increase or vice versa). In the only case where protein expression differences from KO in 1A0 and 6A2 mice appeared proportional to SP-A levels, the difference vs KO was significant in both 1A0 and 6A2 mice. This analysis led us to draw the conclusion that under these basal conditions most, if not all, of the effects observed occur after reaching a given threshold level rather than varying in proportion to SP-A levels. However, the possibility remains that in the presence of an insult (i.e oxidative stress) the much higher levels may better maintain the alveolar macrophage phenotype, since some of the SP-A could be oxidized, and this can reduce its functional activity 33, 34.
It should be noted that despite the fact that the 6A2 mice had lower levels of SP-A than 1A0 mice did, they exhibited almost 50% more significant changes vs KO, further reinforcing that the different response patterns reflect primarily functional differences between 1A0 and 6A2 rather than differences between absolute amounts of SP-A. Further evaluation of the expression data for individual proteins in this study did not show that differences in specific protein levels between the 1A0 and 6A2 mice were due to levels of SP-A, but rather due to the specific variant present. This was also supported by the very different response patterns elicited by 1A0 and 6A2. At the other end of the spectrum, with the low expressing mouse lines, while we were unable to measure SP-A using the same gel parameters as with the high expressing group, the protein expression patterns in these mice was very different from that present in the SP-A KO group. This indicated that even very low levels of SP-A have a profound effect on protein expression, and this expression profile is very different from that seen when the proteins are expressed at higher levels.
Another potential limitation is whether the effects of human SP-A on mouse alveolar macrophages provides a good surrogate for the human lung. While many gaps remain in our knowledge of the mechanism of action of SP-A and the specific receptors involved, similarities in the effects of human SP-A on phagocytosis in human and rat alveolar macrophages 34, 41 and mouse alveolar macrophages (our unpublished data) confirm that at least some of the SP-A effects are SP-A-specific, rather than species-specific. Specifically, in terms of phagocytosis, when human, rat, and mouse alveolar macrophages were incubated with bacteria in the presence of SP-A1 or SP-A2, although the macrophages responded to both SP-A1 and SP-A2, in all cases SP-A2-treated macrophages exhibited a higher phagocytic index than those treated with SP-A1. Further evidence is provided by the many studies we have published examining the effects of SP-A and the functional differences between the human SP-A variants 12, 18, 20, 33, 34, 40, 44 in a number of in vitro systems.
Summary
In the present study we compared the AM proteome of hTG mice to KO mice and were able to gain insight into changes in protein expression resulting from the presence of the SP-A transgenes. We studied the expression of 76 AM proteins using a 2D-DIGE experimental design. We found that even when SP-A was expressed at low levels the AM proteome differed markedly from that of SP-A KO mice. While there were relatively few significant differences from KO, the similarity in these responses led us to speculate that these low amounts of SP-A might be affecting the AM by acting through a high affinity receptor that was not variant-specific.
On the other hand, when we studied the mice expressing higher levels of SP-A there were more than twice as many significant changes, with greater numbers of changes occurring in the SP-A1 (6A2) mice. The other difference between these mouse lines that became apparent with the study of heat maps was that these two mouse lines produced AM with dramatically different phenotypes. Examining both the overall protein expression pattern as well as the individual functional groups, clearly showed that the patterns of expression in the 1A0 and 6A2 mice were almost the inverse of one another (proteins at their highest levels in 1A0 were at their lowest levels in 6A2, and vice versa). Another very interesting feature of the 1A0 expression pattern was its similarity to the WT pattern. These observations led us to speculate that when high levels of SP-A1 and SP-A2 are present they acted in a variant-specific manner, either through different receptors or by eliciting distinctly different responses through a single receptor.
Further studies are required to determine how these changes in the AM proteome in various humanized SP-A hTG mice affect AM function. On the basis of the similarities between WT and the SP-A2 hTG mice we would predict that SP-A2 transgenics would clear bacteria more effectively from their lungs than SP-A1 mice and that their AM would exhibit increased phagocytic function, as we have previously demonstrated in vitro with AM treated with exogenous SP-A2 34, 41. However, both SP-A variants must be present in order for tubular myelin to be present in the alveolar space 46 indicating a divergence of function. Of relevance is the fact that the ratio of SP-A1 to total SP-A in humans varies as a function of lung disease and age 48, 49. We speculate that many aspects of lung function, particularly with respect to the AM, depend on the relative amounts of SP-A1 and SP-A2 in the alveolus.
Supplementary Materials:
Supplementary Table 1Primers used in this study. The sequences of the probes used for the Southern blot and hybridization (Figure 1) and their specificities are listed.
Supplementary Table 2a Summary of all significant changes versus SP-A KO AM
Supplementary Table 2b Summary of all significant changes versus WT AM.
Supplementary Figure 1 Reference gel and protein list. This figure shows an image of the reference gel with identified proteins circled and numbered. The legend contains the names of each identified protein and the functional groups each has been assigned to. These include: actin-related/cytoskeletal proteins (ARC); Nrf2-regulated proteins (NRF); protease balance/chaperone function proteins (PBCF); regulation of inflammation proteins (ROI); and regulatory/differentiative process proteins (RDP).
Supplementary Figure 2 Heat map of all proteins. A heat map is shown for WT mice, KO mice, and all of the transgenic lines used in this study. The protein order is arranged based on levels of expression in 1A0 mice. Red bars have the highest levels, yellow are in the middle of the range, and green are lowest. Intermediate levels are colored with the appropriate shades. The column labeled “gel#” indicates the number of a given protein in the reference gel (Supplementary Figure 1). The numbers in each bar indicate the average normalized volume for the spot/s representing each protein.
Supplementary Figure 3 Heat map of all proteins. A heat map is shown for WT mice, KO mice, and all of the transgenic lines used in this study. The protein order is arranged based on levels of expression in KO mice. Red bars have the highest levels, yellow are in the middle of the range, and green are lowest. Intermediate levels are colored with the appropriate shades. The column labeled “gel#” indicates the number of a given protein in the reference gel (Supplementary Figure 1). The numbers in each bar indicate the average normalized volume for the spot/s representing each protein.
Supplementary Figure 4Heat map of all proteins. A heat map is shown for WT mice, KO mice, and all of the transgenic lines used in this study. The protein order is arranged based on levels of expression in 1A0 mice. Red bars have the highest levels, yellow are in the middle of the range, and green are lowest. Intermediate levels are colored with the appropriate shades. The column labeled “gel#” indicates the number of a given protein in the reference gel (Supplementary Figure 3). The numbers in each bar indicate the average normalized volume for the spot/s representing each protein.
Supplementary Figure 5Heat map of all proteins. A heat map is shown for WT mice, KO mice, and all of the transgenic lines used in this study. The protein order is arranged based on levels of expression in KO mice. Red bars have the highest levels, yellow are in the middle of the range, and green are lowest. Intermediate levels are colored with the appropriate shades. The column labeled “gel#” indicates the number of a given protein in the reference gel (Supplementary Figure 3). The numbers in each bar indicate the average normalized volume for the spot/s representing each protein.
Conclusions
1.AM protein expression patterns differed markedly from SP-A KO in hTG mouse lines generated on the SP-A KO background.
2.The AM protein expression patterns from mouse lines expressing low levels of SP-A1 and SP-A2 were similar to each other but different from KO indicating a lack of variant-specific effects at very low levels of SP-A.
3.SP-A1 and SP-A2 at higher levels exhibited very different AM protein expression patterns indicating variant-specific patterns at higher levels of expression of hSP-A.
4.AM protein expression in SP-A2 hTG mice was similar to WT and the pattern from SP-A1 mice was very different from WT.
Acknowledgements
The authors thank Susan DiAngelo for genotyping. Current address for Guirong Wang: Department of Surgery, SUNY Upstate Medical University, Syracuse, NY 13210.
This study was supported in part by R01 ES009882 from the National Institute of Environmental Health Sciences.
References
- 1.Crouch E, Hartshorn K, Ofek I. (2000) Collectins and pulmonary innate immunity. , Immunol Rev 173, 52-65.
- 2.Phelps D S. (2001) Surfactant regulation of host defense function in the lung: A question of balance. Pediatr Pathol Mol Med. 20, 269-292.
- 3.Floros J, Hoover R R. (1998) Genetics of the hydrophilic surfactant proteins A and D. Biochim Biophys Acta. 1408, 312-322.
- 4.DiAngelo S, Lin Z, Wang G, Phillips S, Ramet M et al. (1999) Novel, non-radioactive, simple and multiplex PCR-cRFLP methods for genotyping human SP-A and SP-D marker alleles. , Dis Markers 15, 269-281.
- 5.Hickling T P, Malhotra R, Bright H, McDowell W, Blair E D et al. (2000) Lung surfactant protein A provides a route of entry for respiratory syncytial virus into host cells. Viral Immunol. 13, 125-135.
- 6.Madan T, Kishore U, Shah A, Eggleton P, Strong P et al. (1997) Lung surfactant proteins A and D can inhibit specific IgE binding to the allergens of Aspergillus fumigatus and block allergen-induced histamine release from human basophils. Clin exp Immunol. 110, 241-249.
- 7.Madan T, Kishore U, Singh M, Strong P, Clark H et al. (2001) Surfactant proteins A and D protect mice against pulmonary hypersensitivity induced by Aspergillus fumigatus antigens and allergens. , J Clin Invest 107, 467-475.
- 8.Madan T, Reid K B, Clark H, Singh M, Nayak A et al. (2010) Susceptibility of mice genetically deficient in SP-A or SP-D gene to invasive pulmonary aspergillosis. , Mol Immunol 47, 1923-1930.
- 9.Malhotra R, Haurum J, Thiel S, Jensenius J C, Sim R B. (1993) Pollen grains bind to lung alveolar type II cells (A549) via lung surfactant protein A (SP-A). Biosci Rep. 13, 79-90.
- 10.Kremlev S G, Phelps D S. (1994) Surfactant protein A stimulation of inflammatory cytokine and immunoglobulin production. , Am J Physiol 267-712.
- 11.Kremlev S G, Umstead T M, Phelps D S. (1997) Surfactant protein A regulates cytokine production in the monocytic cell line THP-1. , Am J Physiol 272, 996-1004.
- 12.Wang G, Phelps D S, Umstead T M, Floros J. (2000) Human SP-A protein variants derived from one or both genes stimulate TNF-alpha production in the THP-1 cell line. , Am J Physiol Lung Cell Mol Physiol 278, 946-954.
- 13.Wang H, Tracey K J. (1999) Tumor necrosis factor, interleukin-6, macrophage migration inhibitory factor, and macrophage inflammatory protein-1 in inflammation. In Inflammation: Basic Principles and Clinical Correlates. 3 edition. Edited by Gallin JI, Snyderman R.Philadelphia:Lippincott Williams&Wilkins; 471-486.
- 14.Meloni F, Alberti A, Bulgheroni A, Lupi A, Paschetto E et al. (2002) . Surfactant apoprotein A modulates interleukin-8 and monocyte chemotactic peptide-1 production. Eur Respir J 19, 1128-1135.
- 15.Borron P J, Crouch E C, Lewis J F, Wright J R, Possmayer F et al. (1998) Recombinant rat surfactant-associated protein D inhibits human T lymphocyte proliferation and IL-2 production. , J Immunol 161, 4599-4603.
- 16.Alcorn J F, Wright J R. (2004) Surfactant protein A inhibits alveolar macrophage cytokine production by CD14-independent pathway. , Am J Physiol Lung Cell Mol Physiol 286, 129-136.
- 17.Gardai S J, Xiao Y Q, Dickinson M, Nick J A, Voelker D R et al. (2003) By binding SIRPalpha or calreticulin/CD91, lung collectins act as dual function surveillance molecules to suppress or enhance inflammation. , Cell 115, 13-23.
- 18.Wang G, Umstead T M, Phelps D S, Al Mondhiry H, Floros J. (2002) The effect of ozone exposure on the ability of human surfactant protein A variants to stimulate cytokine production. , Environ Health Perspect 110, 79-84.
- 19.Huang W, Wang G, Phelps D S, Al Mondhiry H, Floros J. (2002) Combined SP-A-bleomycin effect on cytokines by THP-1 cells: impact of surfactant lipids on this effect. , Am J Physiol Lung Cell Mol Physiol 283, 94-102.
- 20.Huang W, Wang G, Phelps D S, Al Mondhiry H, Floros J. (2004) Human SP-A genetic variants and bleomycin-induced cytokine production by THP-1 cells: effect of ozone-induced SP-A oxidation. , Am J Physiol Lung Cell Mol Physiol 286, 546-553.
- 21.Kuronuma K, Sano H, Kato K, Kudo K, Hyakushima N et al. (2004) Pulmonary surfactant protein A augments the phagocytosis of Streptococcus pneumoniae by alveolar macrophages through a casein kinase 2-dependent increase of cell surface localization of scavenger receptor A. , J Biol Chem 279, 21421-21430.
- 22.Beharka A A, Gaynor C D, Kang B K, Voelker D R, McCormack F X et al. (2002) Pulmonary surfactant protein A up-regulates activity of the mannose receptor, a pattern recognition receptor expressed on human macrophages. , J Immunol 169, 3565-3573.
- 23.Kremlev S G, Phelps D S. (1997) Effect of SP-A and surfactant lipids on expression of cell surface markers in the THP-1 monocytic cell line. , Am J Physiol 272, 1070-1077.
- 24.Gil M, McCormack F X, LeVine A M. (2009) Surfactant protein A modulates cell surface expression of CR3 on alveolar macrophages and enhances CR3-mediated phagocytosis. , J Biol Chem 284, 7495-7504.
- 25.Henning L N, Azad A K, Parsa K V, Crowther J E, Tridandapani S et al. (2008) Pulmonary surfactant protein A regulates TLR expression and activity in human macrophages. , J Immunol 180, 7847-7858.
- 26.Blanco O, Catala A. (2001) Surfactant protein A inhibits the non-enzymatic lipid peroxidation of porcine lung surfactant. , Prostaglandins Leukot Essent Fatty Acids 65, 185-190.
- 27.Bridges J P, Davis H W, Damodarasamy M, Kuroki Y, Howles G et al. (2000) Pulmonary surfactant proteins A and D are potent endogenous inhibitors of lipid peroxidation and oxidative cellular injury. , J Biol Chem 275, 38848-38855.
- 28.Gil H W, Oh M H, Woo K M, Lee E Y, Oh M H et al. (2007) Relationship between pulmonary surfactant protein and lipid peroxidation in lung injury due to paraquat intoxication in rats. , Korean J Intern Med 22, 67-72.
- 29.Terrasa A M, Guajardo M H, de Armas SE, Catala A. (2005) Pulmonary surfactant protein A inhibits the lipid peroxidation stimulated by linoleic acid hydroperoxide of rat lung mitochondria and microsomes. , Biochim Biophys Acta 1735, 101-110.
- 30.Haque R, Umstead T M, Freeman W M, Floros J, Phelps D S. (2009) The impact of surfactant protein-A on ozone-induced changes in the mouse bronchoalveolar lavage proteome. , Proteome Sci 7, 12.
- 31.Mikerov A N, Gan X, Umstead T M, Miller L, Chinchilli V M et al. (2008) Sex differences in the impact of ozone on survival and alveolar macrophage function of mice after Klebsiella pneumoniae infection. , Respir Res 9, 24.
- 32.Mikerov A N, Haque R, Gan X, Guo X, Phelps D S et al. (2008) Ablation of SP-A has a negative impact on the susceptibility of mice to Klebsiella pneumoniae infection after ozone exposure: sex differences. , Respir Res 9, 77.
- 33.Mikerov A N, Umstead T M, Gan X, Huang W, Guo X et al. (2008) Impact of ozone exposure on the phagocytic activity of human surfactant protein A (SP-A) and SP-A variants. , Am J Physiol Lung Cell Mol Physiol 294, 121-130.
- 34.Mikerov A N, Umstead T M, Huang W, Liu W, Phelps D S et al. (2005) SP-A1 and SP-A2 variants differentially enhance association of Pseudomonas aeruginosa with rat alveolar macrophages. , Am J Physiol Lung Cell Mol Physiol 288, 150-158.
- 35.Kuzmenko A I, Wu H, McCormack F X. (2006) Pulmonary collectins selectively permeabilize model bacterial membranes containing rough lipopolysaccharide. , Biochemistry 45, 2679-2685.
- 36.Kuzmenko A I, Wu H, Wan S, McCormack F X. (2005) Surfactant protein A is a principal and oxidation-sensitive microbial permeabilizing factor in the alveolar lining fluid. , J Biol Chem 280, 25913-25919.
- 37.Hickman-Davis J M, Gibbs-Erwin J, Lindsey J R, Matalon S. (2004) Role of surfactant protein-a in nitric oxide production and Mycoplasma killing in congenic C57BL/6 mice. , Am J Respir Cell Mol Biol 30, 319-325.
- 38.Brinker K G, Garner H, Wright J R. (2003) Surfactant protein A modulates the differentiation of murine bone marrow-derived dendritic cells. , Am J Physiol Lung Cell Mol Physiol 284, 232-241.
- 39.Yang S, Milla C, Panoskaltsis-Mortari A, Ingbar D H, Blazar B R et al. (2001) Human surfactant protein A suppresses T cell-dependent inflammation and attenuates the manifestations of idiopathic pneumonia syndrome in mice. , Am J Respir Cell Mol Biol 24, 527-536.
- 40.Wang G, Bates-Kenney S R, Tao J Q, Phelps D S, Floros J. (2004) Differences in biochemical properties and in biological function between human SP-A1 and SP-A2 variants, and the impact of ozone-induced oxidation. , Biochemistry 43, 4227-4239.
- 41.Mikerov A N, Wang G, Umstead T M, Zacharatos M, Thomas N J et al. (2007) Surfactant protein A2 (SP-A2) variants expressed in CHO cells stimulate phagocytosis of Pseudomonas aeruginosa more than Do SP-A1 variants. , Infect Immun 75, 1403-1412.
- 42.Garcia-Verdugo I, Wang G, Floros J, Casals C. (2002) Structural analysis and lipid-binding properties of recombinant human surfactant protein a derived from one or both genes. , Biochemistry 41, 14041-14053.
- 43.Oberley R E, Snyder J M. (2003) Recombinant human SP-A1 and SP-A2 proteins have different carbohydrate-binding characteristics. , Am J Physiol Lung Cell Mol Physiol 284, 871-881.
- 44.Wang G, Myers C, Mikerov A, Floros J. (2007) Effect of cysteine 85 on biochemical properties and biological function of human surfactant protein A variants. , Biochemistry 46, 8425-8435.
- 45.Wang G, Taneva S, Keough K M, Floros J. (2007) Differential effects of human SP-A1 and SP-A2 variants on phospholipid monolayers containing surfactant protein B. Biochim Biophys Acta. 1768, 2060-2069.
- 46.Wang G, Guo X, DiAngelo S, Thomas N J, Floros J. (2010) Humanized SFTPA1 and SFTPA2 transgenic mice reveal functional divergence of SP-A1 and SP-A2: formation of tubular myelin in vivo requires both gene products. , J Biol Chem 285, 11998-12010.
- 47.Floros J, Wang G, Mikerov A N. (2009) Genetic complexity of the human innate host defense molecules, surfactant protein A1 (SP-A1) and SP-A2--impact on function. , Crit Rev Eukaryot Gene Expr 19, 125-137.
- 48.Tagaram H R, Wang G, Umstead T M, Mikerov A N, Thomas N J et al. (2007) Characterization of a human surfactant protein A1 (SP-A1) gene-specific antibody; SP-A1 content variation among individuals of varying age and pulmonary health. , Am J Physiol Lung Cell Mol Physiol 292, 1052-1063.
- 49.Wang Y, Voelker D R, Lugogo N L, Wang G, Floros J et al. (2011) Surfactant protein A is defective in abrogating inflammation in asthma. , Am J Physiol Lung Cell Mol Physiol 301, 598-606.
- 50.Guth A M, Janssen W J, Bosio C M, Crouch E C, Henson P M et al. (2009) SW: Lung environment determines unique phenotype of alveolar macrophages. , Am J Physiol Lung Cell Mol Physiol 296-936.
- 51.Phelps D S, Umstead T M, Quintero O A, Yengo C M, Floros J. (2011) In vivo rescue of alveolar macrophages from SP-A knockout mice with exogenous SP-A nearly restores a wild type intracellular proteome; actin involvement. , Proteome Sci 9, 67.
- 52.Joshi M, Keith P H, Haisch C, Verbanac K. (2008) Real-time PCR to determine transgene copy number and to quantitate the biolocalization of adoptively transferred cells from EGFP-transgenic mice. , Biotechniques 45, 247-258.
- 53.Ballester M, Castello A, Ibanez E, Sanchez A, Folch J M. (2004) Real-time quantitative PCR-based system for determining transgene copy number in transgenic animals. , Biotechniques 37, 610-613.
- 54.Phelps D S, Umstead T M, Floros J. (2012) Sex differences in the response of the alveolar macrophage proteome to treatment with exogenous surfactant protein-A. , Proteome Sci 10, 44.
- 55.Phelps D S, Rose R M. (1991) Increased recovery of surfactant protein A in AIDS-related pneumonia. Am Rev Respir Dis. 143, 1072-1075.
Cited by (28)
This article has been cited by 28 scholarly works according to:
Citing Articles:
Journal of Lower Genital Tract Disease (2022) Crossref
Frontiers in Immunology (2022) Crossref
Frontiers in Cell and Developmental Biology (2022) Crossref
Scientific Reports (2022) Crossref
Frontiers in Immunology (2022) Crossref
American Journal of Physiology-Lung Cellular and Molecular Physiology (2022) Crossref
Antioxidants (2021) Crossref
Immunobiology (2021) Crossref
Frontiers in Immunology (2021) Crossref
JCI Insight (2020) Crossref
Antioxidants (2020) Crossref
Microorganisms (2020) Crossref
American Journal of Physiology-Cell Physiology (2020) Crossref
Antioxidants (2020) Crossref
Frontiers in Immunology (2020) Crossref
Antioxidants (2020) Crossref
Biomarker Research (2020) Crossref
D. Phelps, V. Chinchilli, J. Weisz, Debra A. Shearer, Xuesheng Zhang et al. - Biomarker Research (2020) Semantic Scholar
Frontiers in Immunology (2019) Crossref
Frontiers in Immunology (2019) Crossref
Frontiers in Immunology (2019) Crossref
Frontiers in Immunology (2019) Crossref
Respiratory Research (2018) Crossref
Frontiers in Immunology (2018) Crossref
Biology of Sex Differences (2017) Crossref
Biophysical Journal (2016) Crossref
Elena López-Rodríguez, Alicia Pascual, Raquel Arroyo, J. Floros, J. Pérez-Gil - Biophysical Journal (2016) Semantic Scholar
Biology of Sex Differences (2016) Crossref
American Journal of Physiology-Lung Cellular and Molecular Physiology (2015) Crossref
Journal of Proteome Research (2014) Crossref
