Therapeutic Evaluation of Neemazal® Against Experimental Eimeria Tenella Infection in Broiler Chickens, Jos - Nigeria
Abstract
Coccidiosis in poultry is caused by protozoan parasites of the Eimeria species, which is responsible for worldwide economic losses. The aim of this study was to evaluated the therapeutic effect of NeemAzal® on Eimeria tenellain broiler Chickens as compared to Amprolium as a standard anticoccidial drug. A total of One Hundred and Sixty (160) broiler chicks were purchased, acclimatized and randomly divided into 4 groups (G1, G2, G3 & G4). G1 non-infected, non-treated (negative control), (G2) infected with 20000 E. tenella oocysts (positive control), (G3) infected and treated with Amprolium (Standard, 7 mg/kg b.w. for 5 days) and (G4) infected and treated with NeemAzal®200 mg/kg b.w. for 5 days). Evaluation was by clinical signs, performance data (weight gain, oocyst shed/gram faeces (OPG) and histopathology of the Caecum, Liver and Kidney. The data showed that birds infected with E. tenellahad an output of 1.3×105±3,333 oocysts per gram faeces on day 5 post inoculation. This output is significantly decreased to 0.37×105±3,111 oocysts in neem-treated birds. Infection with E. tenellainduced marked histopathological alterations in the caecum in the form of inflammation, vacuolation of the epithelium, and destruction of some villi. NeemAzal® decrease body weight loss of infected chickens. Moreover, the number of goblet cells stained with Hematoxylin and Eosin (H&E) within the infected villi was significantly lowered (P≤0.05). The results revealed that chicks of G1 had the best performance data compared to G2, G3& G4. In G3 & G4 there were a remarkable improvement in the data on performance, clinical signs, gross and microscopically caecal lesions compared to G2. Amprolium (G3) was shown to be superior to NeemAzal® (G4) compared to G2. NeemAzal® could be a good alternative for use as a coccidiostat to supplement the expensive anti-coccidiostats in the market.
Author Contributions
Academic Editor: Andreia Manuela Garcês, University of Trás-os-Montes and Alto Douro, Portugal
Checked for plagiarism: Yes
Review by: Single-blind
Copyright © 2020 Goni Abraham Dogo, et al.
This is an open-access article distributed under the terms of the Creative Commons Attribution License, which permits unrestricted use, distribution, and reproduction in any medium, provided the original author and source are credited.
Competing interests
The authors have declared that no competing interests exist.
Citation:
Introduction
Coccidiosis is a major parasitic disease of poultry caused by an Apicomplexan protozoan belonging to the subclass Coccidia, family Eimeriidae, and genus Eimeria 1. The disease has significant economic impact on the poultry industry causing high®® mortality, poor growth, decreased productivity, and high medical cost 2. Anticoccidial drugs at subtherapeutic doses in feed, are commonly used to prevent and treat coccidiosis. However, indiscriminate and long-term use of anticoccidial drugs has led to the emergence of drug resistant parasites and presence of drug residues in chicken products raising concerns about public health and food safety 3, 4. According to Yang et al.5, Coccidiosis vaccines are an alternative means to prevent coccidiosis. However, efficacy, safety, and cost-effectiveness are still challenges for anticoccidial vaccine use in poultry 6. Consumers and poultry farmers around the world have voiced concerns about the use of present anticoccidial agents 5. Therefore, there is an expedient need for an alternative approach to prevent and treat avian coccidiosis. This necessitates an examination of the potential of natural products from plant extracts. In recent time, various researchers have tested several plants for anticoccidial activity in chickens 4, 5, 7, 8, 9, 10. Azadirachta indica has been reported to possess anticoccidial properties and has been used to combat avian coccidiosis. This property has been demonstrated by its ability to reduce oocyst count 11, 12, inhibit inflammation 13, and enhance erythropoiesis 14, 15. The pathogenesis of coccidiosis is associated with oxidative stress caused by increased generation of reactive oxygen species due to activities of the parasite as well as the host immune system causing a depletion of the indigenous antioxidant enzymes such as glutathione reductase (GSH) level and increased lipid peroxidation of cells in the intestinal linings and surrounding tissues. Azadirachta indica (AI) has free radical scavenging ability as well as cellular immune-modulatory properties in mice 16, 17 and human colorectal cancer 18. Tipu et al. 19 showed that combinations of herbs used against coccidiosis are effective and an economical alternative for prophylactic anticoccidial medication. Azadirachta indica administered at a dosage of 200, 400, 800, and 1600mg/kg in broiler chickens for 4days showed 800mg/kg to be the most effective dosage 20. The awareness by the consumers to avoid chemotherapeutics, the high development costs and low profits have not encouraged the pharmaceutical industry to develop new anticoccidial products 21. Thus, alternatives are therefore progressively and currently been sought. Reports exist on the use of a variety of herb extracts alone or as combination that have proven to be effective in the war against coccidiosis. A number of natural herbs have been tested as anticoccidial dietary additives such as Artemisinin was isolated from Artemisiaannua, is a naturally occurring endoperoxide with antimalarial properties 22. It has been found effective in reducing oocyst output from both E. acervulinaand E. tenella infections when fed at levels of 8.5 and 17 ppm in starter diets 22. In addition, the use of Mormodicabalsamina fruit extract against E. tenellainfection in broiler Chickens has been reported in the same environment 23 NeemAzal® is a biodegradable product from Azardiractaindica (Neem Tree Seed) and the biosynthesis of azadirachtin which is the major component of NeemAzal®is thought to involve tirucallol, a tetracyclic triterpenoid, and a series of oxidation and rearrangement reactions which produce finally, the tetranortriterpenoid azadirachtin family 24. The in-vivo testing of NeemAzal®asa biopesticide from Trifolio-M Lanau, Germany against ticks which are ectoparasites was carried out by few researchers in Nigeria with some recorded successes 24, 25, 26, 27. Till date, no report yet on the use of NeemAzal® to control poultry coccidiosis, hence the motivation to embark on this study.
Materials and Methods
Study Area
This study was be carried out in Jos Plateau State which is located in Nigeria’s middle belt, with an area of 26,899 square kilometres and an estimated population of about three million people. It is located between Latitude 9o 0’ to 9o 40’ North and longitude 8o 30’ to 10o 30’ East of the equator. The altitude ranges from around 1,200 metres (about 4000 feet) to a peak of 1,829 metres above sea level in the Shere Hills range near Jos. Years of tin mining have also left the area strewn with deep gorges and lakes. Though situated in the tropical zone, a higher altitude means that Plateau State has a near temperature climate with an average temperature of between 18 and 22oC. Harmattan winds cause the coldest weather between December and February. The warmest temperatures usually occur in the dry season months of March and April. The mean annual rainfall varies from 131,75cm (52 in) in the southern part to 146cm (57 in) on the Plateau. The highest rainfall is recorded during the wet season months of July and August 28.
Source of Oocyst
Oocyst suspension of Eimeriatenella was obtained from the Parasitology Division of the National Veterinary Research Institute (NVRI), and each 1mL of the oocyst suspension contained a total of 20000 pure Eimeriatenella oocysts which was determined by the McMaster technique 22.
Experimental Animals
Apparently healthy day-old broiler chicks were obtained from a hatchery in Jos, Nigeria, and brooded under standard conditions for three weeks before commencement of the study. The chicks were fed standard pelletized broiler starter feed (Vital Feed® Grand Cereals, Nigeria, Plc., Jos, Nigeria) and water ad libitum. Birds were housed in individual cages with proper lighting and heat. The birds were vaccinated against infectious bursal disease (IBD) and Newcastle disease virus with IBD and Lasota vaccines, respectively, using NVRI, Vom Plateau State vaccines. All experiments were conducted in accordance with the Principles and Guide for the Care and Use of Laboratory Animals29, 30, 31and approved by the Animal Ethics Committee of NVRI, Vom Plateau State
Experimental Design
Efficacy Study
A total of One Hundred and Sixty (160) broiler chicks were purchased, acclimatized and randomly divided into 4 groups (G1, G2, G3 & G4). Chickens were weighed and each infected with sporulated oocysts 20000 (1ml) at a single oral gavage 11. G1 non-infected, non-treated (negative control), (G2) infected with E. tenella (positive control), (G3) infected and treated with Amprolium (Standard, 7 mg/kg b.w. for 5 days) and (G4) infected and treated with NeemAzal® (200mg/kg b.w. for 5 days). Daily collection and screening of feces for oocyst presence and count were carried out. Birds were also monitored for clinical signs of coccidiosis. After establishment of the infection (7 days after inoculation), treatment commenced by oral gavage of NeemAzal®. The experiment included control groups, negative and positive, treated with distilled water and amprolium (Amprolium 250 WSP, Kepro® B.V., Holland), respectively. All treatments lasted for five (5) days which is the usual period of chemotherapy for coccidiosis using the standard drug amprolium. At the end of the experiment, chicks were sacrificed by cervical dislocation tissues were collected in 10% neutral buffered formalin for histopathological study.
Source of the Drug
NeemAzal® used in this experiment is an organic product from Trifolio-M Company Lanau, Germany (25)
Haematological Evaluation
Red blood cell (RBC), packed cell volume (PCV), haemoglobin concentration (Hb), total white blood cell (WBC), Basophils count (BC), and Eosinophils count (EC) together with absolute count of heterophils and lymphocytes as well as H/L ratio were determined according to 32.
Oocyst Estimation
Evaluation of faeces for the oocyst per gram (OPG) counts was performed using modified McMaster’s technique 29.
Tissue Homogenization
The harvested tissues (Cecum for therapeutic efficacy, Kidney and liver for the safety study) were rinsed with phosphate buffered saline (PBS) and blotted with filter paper and weighed. They were then chopped into bits and homogenized in ice using homogenizing buffer (0.1 M phosphate buffer, pH 7.4) at ratio of 1: 4 w/v. The resulting homogenate was centrifuged at 10,000 g for 15 minutes at −4∘C to obtain the post mitochondrial fraction.
Histopathological Examination
Tissue sample (Cecum) was harvested from the infected and treated birds immediately after sacrifice, fixed in 10% neutral buffered formal saline, embedded in paraffin wax, sectioned at 5𝜇 thickness, cleared with xylene, and mounted using mountant then stained with haemotoxylin and eosin (H&E) stain 31, 32.
Statistical Analysis
All feacal samples were subjected to a modified McMaster technique and oocysts per gram feaces (opg). The efficacy of NeemAzal® was evaluated on the basis of bloody faeces and oocyst output and weight gain using lesion scores and Chi square 33.
Results
Efficacy Study
The Effect of NeemAzal® on Oocyst Count and Weight Gain (Efficacy Study) at a dose of 200mg/kg birds treated with NeemAzal® a statistically significant (P≤0.05) increase in weight gain was recorded among treated groups (Figure 1 & Figure 2). During the first 3 days of infection, there was no fecal output of oocysts. On day5 p.i., the output differed between NeemAzal® treated and non-treated chickens. In the latter, the number of excreted oocysts reached approximately 1.3×105 per gram feces (Figure 2).
Figure 1.Therapeutic effect of NeemAzal® on oocyst count of Broiler chicken infected with Eimeria tenella oocysts. G2=negative control (infected, not treated). G3=positive control (infected and treated with amprolium).
Figure 2.Effect of NeemAzal®Oil treatment on Body weight gain of Broiler Chicken infected with Eimeria tenella oocysts. G2=negative control (infected, not treated). G3=positive control (infected and treated with amprolium) 13 days’ post-infection
Discussion
In this study, the reduction in oocyst count observed in the treated group was compared with amprolium could be attributed to the presence of a bioactive compounds azadiractin A which is known to bind membrane cholesterol, altering the integrity of the parasite membrane, resulting in loss of homeostasis and eventual death of the parasite 29]. Also, limonoids contained in NeemAzal® inhibit protein digestion and uptake of vitamins and minerals by the parasites in the gut 17. This action results in impaired nutrient utilization, reduced growth, and multiplication of the parasite which could contribute to the reduced oocyst count observed. Extracts of neem and mahogany when used individually have been reported to reduce oocyst count in avian coccidiosis 11,12. The observed reduction in oocyst count and the significant increase in weight gain of the birds when treated with NeemAzal®, as compared with the negative control group could probably be due to the inhibition of inflammation in the intestinal mucosa which is suggestive of an increased nutrient absorption across the intestinal wall and enhanced feed conversion ratio compared to the negative control this is in agreement with reports by Nwosu et al.12 and Biu et al.11 who also reported an increased weight gain and feed conversion ratio in birds treated with only Khaya senegalensis extracts and Azardiractaindica, respectively. The observed increase in RBC and haemoglobin concentration is indicative of the erythropoieticability of the NeemAzal®, which is beneficial since the Eimeria parasite in the epithelia of the intestines causes bloody diarrhoea and consequently anaemia (Table 1). This finding is in consonance with 15 who reported an anti-anaemic effect of Khaya Senegalensis on phenyl hydrazine-induced anaemia in rats. Neem has been shown to possess anti-anaemic properties in rats 14. The significant increase in mean weight gain in treated birds when compared to the negative control is possibly due to the inhibition of inflammation in the intestinal mucosa which is suggestive of an increased nutrient absorption across the intestinal wall and enhanced feed conversion ratio compared to the negative control. Nwosu et al.12 and Biu et al.11 reported an increased weight gain and feed conversion ratio in birds treated with only Khaya Senegalensis andAzadiractaindica extracts, respectively. In a similar study, Neem acts like toltrazuril exhibiting anticoccidial. In addition, exposure of broiler chickens to 20000 Oocysts of Eimeria tenellacaused generalized degeneration of the caecal glands with massive Oocysts and gametocyts within the caecal glands with fibrosis (Figure 3, Figure 4 & Figure 5), however, broiler chickens treated with NeemAzal® post exposure to 20000 Oocysts of Eimeria tenella, shows equal numbers of caecal tissues with non-observable histopathological lesions (Figure 4), possibly due to the antioxidant and anti-coccidian effects of NeemAzal®. The exact mechanism of action of neem against coccidian parasites is unknown, but a report by the National Research Council 1992 30, suggested that aqueous neem leaf extract, when taken orally, produces an increase in red cells, white blood cells and lymphocyte counts thus enhancing the cellular immune response, increasing antibody production and so most pathogens can be removed before they cause the symptoms associated with disease this was in agreement with this study as seen in Table a remarkable increase of the RBCs.
Table 1. Effect of NeemAzal® on red blood cell count, haemoglobin concentration, total white blood cell and differential leucocyte counts of chickens infected with Eimeria tenella oocysts.| Group | PCV (%) | WBCX10 6 /L | RBC X10 12 /L | Heterophils (%) | Lymphocytes (%) | Eosinophils (%) | Basophils (%) |
| G1 | 44 | 2.4 | 1.2 | 64 | 42 | 03 | 02 |
| G2 | 39 | 1.5 | 1.2 | 38 | 68 | 03 | 01 |
| G3 | 42 | 1.3 | 1.3 | 80 | 25 | 03 | 08 |
| G4 | 40 | 2.0 | 1.6 | 70 | 38 | 04 | 06 |
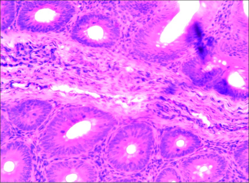
Figure 3.Photomicrograph of caecum of chick uninfected and untreated showing no observable lesion X250 (H&E).
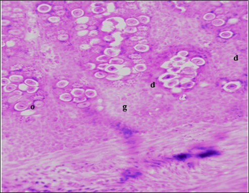
Figure 4.Photomicrograph of caecum of chick administered 20000 Oocysts of Eimeria tenella and untreated showing generalized degeneration of the caecal glands (d) with massive Ocysts (o) and gametocytes (g) largely within the caecal glands X250 (H&E).
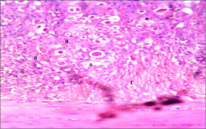
Figure 5.Photomicrograph of caecum of chick administered 20000 Oocysts of Eimeria tenella and treated with NeemAzal® Oil showing generalized degeneration of the caecal glands (d), moderate Ocysts presence (o) with fibrosis (f) X250 (H & E).
In addition, the generalized degeneration of the caecal glands, moderate numbers of gametocytes within the glandular regions with fibrosis which underscores reparative process in response to injury evoked by coccidiosis in the chicks which was perhaps brought about by the antioxidant and chemotherapeutic effect of NeemAzal®. The observed increase in RBC and hemoglobin concentration (Table 1) is indicative of the erythropoieticability of NeemAzal®, which is beneficial since the Eimeria parasite in the epithelia of the intestines causes bloody diarrhea and consequently anaemia. This finding is in consonance with 15 who reported an anti-anaemic effect of Khaya senegalensis on phenyl hydrazine-induced anaemia in rats. If the results of this study are juxtaposed with the results of the previous studies on potent antioxidant, hepatoprotective and mitigative role of methanolic extracts of Azadirachtaindica,in both natural and experimental infection with Eimeria species and can be deduced that, NeemAzal® could be said to be a potent antioxidant, chemotherapeutic and tissue protective agent. This study also answered a question on further study advocated to determine the maximum safe levels of neem supplementation because the higher doses, due to its bitterness, may show adverse effects on feed intake which will change the performance parameters of birds (Figure 6 and Figure 7) . Light microscopic inspection of hematoxylin and eosin-stained sections revealed that the epithelial cells of the Cecum were infected by E. tenella(Figure 3 and Figure 4). The results of the safety study showed that exposure of chickens to NeemAzal® at 200mg/kg body weight did not alter the histoarchitecture of liver and kidney (Figure 6 & Figure 7) which is similar to the work conducted in the same environment by a group of Scientists 34. It is therefore recommended that NeemAzal® could be used as a coccidiostat to replace the expensive anti-coccidiostats in the market.
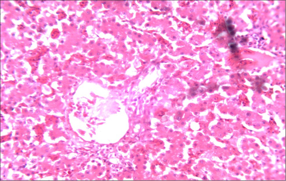
Figure 6.Photomicrograph of liver of chick administered NeemAzal® at 200 mg/kg showing no observable lesion X250 (H & E)
Figure 7.Photomicrograph of kidney of chick administered NeemAzal® at 200 mg/kg showing no observable lesion X250 (H&E).
Conclusion
This study shows for the first time that NeemAzal® could be used possibly as a cheaper alternative in the treatment and control of coccidiosis and as a feed additive in the poultry Industry. Further investigative study is advocated to established its protective potential in layers and other animal species.
Author Contributions
Conceptualization, Goni Abraham Dogo and Paul Abdu; Data curation, Bi-Allah Bukar Markus; Formal analysis, Goni Abraham Dogo; Funding acquisition, Goni Abraham Dogo; Investigation, Emmanuel Tizhe Vandi and David Omogbe Oshadu; Methodology, Goni Abraham Dogo, Bi-Allah Bukar Markus and Emmanuel Tizhe Vandi; Project administration, Goni Abraham Dogo; Supervision, Paul Abdu; Visualization, David Omogbe Oshadu; Writing – original draft, Goni Abraham Dogo and Gloria Pisha Karaye. All authors have read and agreed to the published version of the manuscript.
Funding
This research was fully supported by Tertiary Education Trust Fund (TETFUND) Award of Institutional Based Research (IBR) Merged Grants 2013-2015 of year 2018.
References
- 1.J U Gararawa, N G Usman, V K Ayi. (2011) Anticoccidial resistance in poultry: a review,”. , New York Science Journal 4(8), 102-109.
- 2.R B Williams. (1998) Epidemiological aspects of the use of live anticoccidial vaccines for chickens,”. , International Journal of Parasitology 28(7), 1089-1098.
- 3.H D Chapman. (1997) Biochemical, genetic and applied aspects of drug resistance in Eimeria parasites of the fowl,”. , Avian Pathology 26, 221-244.
- 4.Orengo J, A J Buend´ıa, M R Ruiz-ib. (2012) Evaluating the efficacy of cinnamaldehyde and Echinacea purpurea plant extract in broilers against Eimeria acervulina,” Veterinary Parasitology,185(2-4):. 158-163.
- 5.W C Yang, Y J Tien, C Y. (2015) Effect of Bidens pilosa on infection and drug resistance of Eimeria in chickens,”. , Research in Veterinary Science 98, 74-85.
- 6.P A Sharman, Smith N C Wallach, G M, Katrib M. (2011) Chasing the golden egg: vaccination against poultry coccidiosis,”. , Parasites Immunology 32(8), 590-598.
- 7.T O Oyagbemi, J O Adejinmi. (2012) Supplementation of broiler feed with leaves of Vernonia amygdalina and Azadirachta indica protected birds naturally infected with Eimeria sp,”. , Africa Journal of Biotechnology 11(33), 8407-8413.
- 8.S D Ola-Fadunsin, I O Ademola. (2013) Direct effects of Moringa oleifera Lam (Moringaceae) acetone leaf extract on broiler chickens naturally infected with Eimeria species. , Tropical Animal Health and Production 45(6), 1423-1428.
- 9.Naidoo V, L J McGaw, Bisschop S P R, Duncan N, J N Eloff. (2008) The value of plant extracts with antioxidant activity in attenuating coccidiosis in broiler chickens,” Veterinary Parasitology,153(3-4):. 214-219.
- 10.S H Lee, H S Lillehoj, S I Jang, K W Lee, Bravo D et al. (2011) Effects of dietary supplementation with phytonutrients on vaccine-stimulated immunity against infection with Eimeria tenella,” Veterinary Parasitology,18(2-4):. 97-105.
- 11.Biu A A, Yusuf S D, Rabo J S. (2006) Use of neem (Azadirachta indica) aqueous extract as a treatment for poultry coccidiosis in Borno State. , Nigeria,” Africa Science 7(3), 47-153.
- 12.Nwosu C U, SW Abubakar Hassan, MG, Ebbo A A. (2012) Anti-diarrhoeal and toxicological studies of leaf extracts of Khaya senegalensis,”. , Journal of Pharmacology and Toxicology 7(1), 1-10.
- 13.Ishaq F N Zezi, U A, T O Olurishe. (2014) Khaya senegalensis inhibits piroxicam mediated gastro-toxicity in wistar rats,”. , Avicea Journal of Phytomedicine 4(6), 377-384.
- 14.Iyare E E, Obaji N N. (2014) Effects of aqueous leaf extract of Azadirachta indica on some haematological parameters and blood glucose level in female rats,”. , Nigerian Journal of Experimental and Clinical Biosciences 2(1), 54-58.
- 15.F S Sanni, S Esievo Ibrahim, K A N, Sanni S. (2005) Effect of oral administration of aqueous extract of Khaya senegalensis stem bark on phenyl hydrazine-induced anaemia in rats,”. , Plant Journal and Biological Sciences 8(2), 255-258.
- 16.Elisha I L, Makoshi M S, Makama S. (2013) Antidiarrheal evaluation of aqueous and ethanolic stem bark extracts of Khaya senegalensis A. Juss (Meliaceace) in albino rats.”. , Pakistan Veteterinary Journal 33(1), 32-36.
- 17.Dhkil A, A M, Moneim Abdel, E A, Quraishy Al et al. (2012) Antioxidant, hepatoprotective, and ameliorative effects of Azadirachta indica on Eimeria papillata-induced infection in mice,”. , Journal of Medicinal Plants Research 6(20), 3640-3647.
- 18.X M Androulakis, S J Muga, Chen F, Koita Y, Toure X et al. (2006) Chemo preventive effects of Khaya senegalensis bark extract on human colorectal cancer,”. , Anticancer Research 26(3), 2397-2406.
- 19.A M Tipu, M S Akhtar, M I Anjum, M L Raja. (2006) New dimension of medicinal plants as animal feed,”. , Pakistan Veterinary Journal 26, 144-148.
- 20.Singh J. (2008) Maceration, percolation and infusion techniques for the extraction of medicinal and aromatic plants,”in Extraction Technologies for Medicinal and Aromatic plants. United Nations Industrial Development Organization and the International Center for Science and High Technology 67-82.
- 21.Sofowora A. (1989) Medicinal Plants and Traditional Medicine in Africa, Spectrum Books. , Ibadan, Nigeria
- 22.S V Ley, Denhom A A, Wood A. (1993) The chemistry of azadirachtin. National Production and Reproduction 109-157.
- 23.G I Dogo, E A Ogunsan, F C Velkers, Halasa T, Kamani J et al. (2007) . Efficacy of Mormodica balsamina fruit extract against Eimeria tenella in Broiler. Animal Production Research and Advances 3(4), 277-281.
- 24.G I Dogo, Nnabuife H, Kleeberg H, Schwarz-Fieldlerv D, J O Salami-Shinaba et al. (2011) In-vitro acaricidal effect of Neem-Azal T/S 1% on Boophilus decoloratus larvae. , Vom Journal of Veterinary Science 8, 21-24.
- 25.G I Dogo, Tanko J, J O Salami-Shinba, E O Onovoh, Shamaki D et al. (2011) . The Use of Neem-Azal® - T/S in controlling natural Fleas infestation on Kano brown goats in Vom , Nigeria. Vom, Journal of Veterinary Science 8, 49-53.
- 26.A P Egbo, Agbede R I S, G I Dogo, J \T Tanko, Shamaki D et al. (2011) Assessment of acaricidal activity of Neem-Azal washing emulsion using Dogs under field conditions in Zaria. , Nigerian Journal of Parasitology 32(2), 239-245.
- 27.G I Dogo, R O Weka, Egwu K, Hubertus K. (2013) . Clinical Evaluation of Neem-Azal® 1% T/S against Dog Ticks and Fleas infestation in Jos Metropolis North , Central, Nigeria, Africa, Jjournal of Natural Science 16(1), 109-117.
- 28.L O Odumodu. (1983) Rainfall distribution, variability and probability in Plateau State. , Nigeria, Journal of Climate 3, 385-393.
- 29.Kaufmann J. (1996) Parasitic Infections of Domestic Animals: A Diagnostic Manual, Birkhauser. , Basel, Switzerland
- 30.National Research Council.Guide for the Care and Use of Laboratory Animals. , Washington, DC, USA,1996
- 32.Drury RAB, Wallington E A. (1976) . Carleton’s Histological Techniques , OxfordUniversityPress, London, UK 4.
Cited by (1)
This article has been cited by 1 scholarly work according to:
Citing Articles:
Amira Alashry Algammal, Mostafa Abdelgaber Mohamed, M. A. Abd Eldaim, Adel Mohamed Abd-Elaziz Eisa, Ahmed A. El-Shenawy et al. - Veterinary parasitology (2024) Semantic Scholar
