RETRACTED: In-Stent Thrombosis in the Middle Cerebral Artery (MCA): A Case Report
Abstract
This article has been retracted on November 20, 2015. VIEW THE RETRACTION NOTICE (https://doi.org/10.14302/issn.2470-5020.jnrt-25-5846)
In-stent thrombosis (IST) is a complication of angioplasty and stenting, especially in the vessels with smaller diameter. We present a case of subacute IST after stenting treatment of an isolated higher stenosis of the right middle cerebral artery (MCA). Analysis of clinical features and emergent brain image helped to indicate the pathophysiological mechanism underlining the symptoms of this patient. Emergent Transcranial Doppler (TCD) helped to evaluate the compensatory collateral circulation and provided good supporting evidence in deducing the mechanism of IST. Slightly larger size of the implanted stent that caused dissection or vascular endothelium injury was presumed in this patient. Persistent evidence of inflammatory factors might also contribute to IST in this patient.
Author Contributions
Academic Editor: Pengcheng Han, Dignity Health St Joseph Hospital and Medical Center, AZ 85013 United States
Checked for plagiarism: Yes
Review by: Single-blind
Copyright © 2015 Xian-jun Zhang, et al.
This is an open-access article distributed under the terms of the Creative Commons Attribution License, which permits unrestricted use, distribution, and reproduction in any medium, provided the original author and source are credited.
Competing interests
The authors have declared that no competing interests exist.
Citation:
Introduction
In-stent thrombosis (IST) is a complication of angioplasty and stenting, especially in the vessels with smaller diameter. Postoperative vascular endothelium injury, collagen tissue exposure and the implanted stent may induce thrombosis.1 Infection and inflammation may also induce impairment of vascular endothelium, leading to thrombosis. When the thrombosis cannot be recognized and treated in time, restenosis of the artery may result. Here we report a case with IST in middle cerebral artery (MCA) and discuss the process of recognizing IST and the possible mechanisms of IST in this case.
Case Report
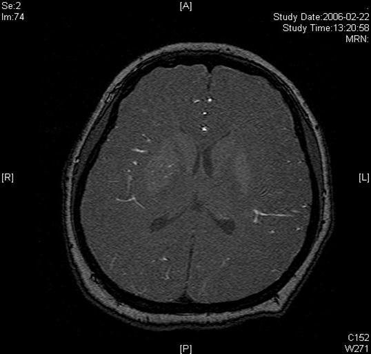
A twenty-nine-year-old female was admitted in Feb, 2006 because of episodic left limb numbness and weakness for half a year. The duration of the episode lasted for a few minutes, seldom over ten minutes. There was an attack every several days. She denied special medical history. She did not live in the pandemic area of Leptospirosis. Her blood pressure was 110/65mmHg and body weight was 51 kilograms. Physical examination found no abnormality. Magnetic resonance angiogram (MRA) (Feb 22) showed severe stenosis in the M1 segment of right MCA. In the source images of MRA, an oval area of abnormal signal in the right basal ganglion was found (Figure 1). Blood routines, coagulation tests, blood biochemistry tests, and C-reactive protein level were normal. The anti-nuclear antibody (ANA), anti-extractable nuclear antigen (ENA) antibodies, and anti-neutrophil cytoplasmic antibodies (ANCA) were negative. Serologic test for Syphilis was negative. Blood sedimentation rate (ESR) was 20 mm/h, and the level of anti-streptolysin O microtitration test (ASO) was 395 IU/ml (0-200 IU/ml). Digital subtraction angiography (DSA) detected severe stenosis (95%) in M1 segment of the right MCA, and the distal blood flow was compromised (Figure 2). The patient was given aspirin 100mg/d, clopidogrel 75mg/d and atorvastatin 20mg/d since Feb 26. Due to the finding of high ASO level, she was given penicillin (4 million IU, bid) for a week. Because of disagreement between the consulting physician and the interventional radiologist, her angioplasty and stenting was delayed till Mar 21 on her request. During the waiting time, her attacks did not reduce. Before the operation, besides the combination of aspirin and clopidogrel, subcutaneous low molecular weight heparin (LMWH) (5000U, q12h) was given for 5 days. After a complete diagnostic evaluation of the blood vessels with DSA, stenting was performed with a stainless steel stent 2.75 mm in diameter by 1.5 cm in length (PC, Abott Company) at the presure of 7 atm. No compromise of perforating branches was found and residual stenosis was less than ten percent on angiography (Figure 2).
Figure 1.Lesion in the right basal ganglia displayed in the source image of MRA
Figure 2.Right MCA before and after angioplasty and stenting
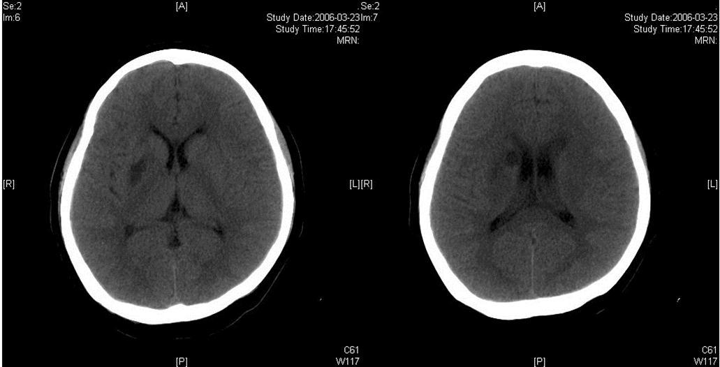
The same dose of aspirin, clopidogrel and subcutaneous LMWH was used after the operation. Two days after the stenting (Mar 23), three successive bouts of left limb weakness along with slight dizziness occurred, lasting about 10 minutes with intervals of 30 minutes. There were no abnormal signs between the first and second attacks. Babinski sign was noted during the second attack and persisted in the left between the second and third attacks with normal muscle strength, but she felt weakness. Blood pressure was 140/70 mmHg. After the third attack, her tongue deviated slightly to the left side. There was slight decrease in muscle strength and Babinski sign was positive in the left. Emergent CT displayed two low density lesions with clear edge and homogeneous density in the right basal ganglia (Figure 3). Aspirin 300mg was given emergently. Compared with the Transcranial Doppler (TCD) test before the operation (March 3), emergent TCD showed the blood flow velocity increased significantly in both anterior cerebral artery (ACA), especially in right ACA (Table 1). She got partial recovery after being given volume expansion treatment with low molecular dextran. Then she was given anticoagulant treatment with intravenous unfractionated heparin (UFH) (500 U/h). LMWH was stopped. On the next day, her muscle strength recovered to normal, but pathological sign persisted. Anticoagulation therapy was continued along with dual antiplatelet therapy. On Mar 25, limb weakness appeared again, muscle strength was Ⅳ grade in the left, both Babinski sign and Chaddock sign were positive. Volume expansion with low molecular dextran was ineffective, and the dose of UFH was increased to750 U/h. Two days later, muscle strength and plantar reflex recovered to normal. On Mar 27, CT scan revealed that the lesion did not change compared with the previous scan, and there was no new lesion. Dose of UFH was reduced to 500H/h. During treatment, blood coagulation test was performed for several times, PT was stabled at 14.1~15.5 sec, APTT at 32.7~43.1 sec, INR at 66.6%~78.8%, activity of antithrombin Ⅲ (AT Ⅲ) at 70.4%~97.2%, and fibrinogen at 3.93~4.68 g/L. UFH was replaced by LMWH on Mar 31. CTA (Apr 3) displayed the stent was in M1 segment of right MCA, its proximal lumen was attenuated compared with the left MCA, with slightly compromised distal blood flow (Figure 4).
Figure 3.Two infarcts displayed in CT images
| Date | L MCA | L ICA | L ACA | L PCA | L VA | R MCA | R ICA | R ACA | R PCA | R VA | BA |
| 3.3 | 104~112 | 113 | 106 | 60 | 51~58 | 266~280 | 96 | 118 | 51 | 54~59 | 83~86 |
| 144~150 | 146 | 160 | 82 | 66~72 | 359~369 | 131 | 169 | 66 | 70~76 | 107~110 | |
| 3.23 | 109~114 | 112 | 121 | 87~91 | 93 | 161~166 | |||||
| 141~145 | 152 | 168 | 110~115 | 118 | 209~212 | ||||||
| 4.17 | 93~109 | 104 | 102 | 54 | 67~69 | 160~189 | 173 | 99 | 45 | 71~76 | 78~84 |
| 119~141 | 136 | 137 | 74 | 87~88 | 202~232 | 231 | 145 | 57 | 93~97 | 98~117 | |
| 5.22 | 88~101 | 102 | 100 | 58 | 67~69 | 157~172 | 146 | 101 | 53 | 54~58 | 77~81 |
| 113~131 | 132 | 133 | 77 | 91~93 | 194~216 | 196 | 158 | 71 | 76~78 | 101~107 |
She was discharged from hospital on Apr 4, and continued oral aspirin (100mg/day) and clopidogrel (75mg/day), no symptoms occurred again. TCD test on Apr 17 showed the blood flow velocity increased significantly in the right MCA, compared with that on Mar 23, the blood flow velocity in the right ICA also increased significantly but the blood flow velocity in both ACA returned to the levels before operation. TCD on May 22 showed no significant change compared with that on Apr 17. She was followed till now with few TIA attacks on aspirin only for at least five years. Four repeated ESR and ASO tests revealed persisting abnormal values, which were similar to the previous levels. TCD follow-up was similar to that on May 22, 2006.
Discussion
The right MCA stenosis, which led to the transient ischemic attack (TIA) symptoms, was definitely diagnosed. Angioplasty and stenting was conducted after full preparation of dual anti-platelet therapy. Immediately before the operation, LMWH was used in combination and was continued after operation. Her condition was stable in the first two days after operation. Then crescendo TIA recurred and led to motor impairment. Two lesions were shown in the emergent CT images. One was near the anterior horn of the right lateral ventricle, by which it was difficult to explain the symptoms and physical signs. The other was in basal ganglia, and was related to the symptoms and signs. The signal in this region had been slightly higher than the counterpart in the left in the source image of MRA before operation. Hence the lesion in basal ganglia was thought to result from hemodynamic impairment in distal parts of stenotic MCA. Both lesions had clear boundaries, which indicated that the infarction in the area supplied by deep branch of MCA occurred before the TIA attacks. The crescendo TIA worsened gradually, but got partial recovery after volume expansion treatment initially. TCD test showed the blood flow velocity increased in both ACA, especially in the right, while that in the right MCA did not significantly increase. This indicated that some collateral circulation had formed, to counteract hypoperfusion caused by progressive stenosis in the right MCA. Based on these, we deduced that there was IST which did not completely block the right MCA. The symptoms and physical signs appeared again when there was failure of collateral compensation. Because there were new lesions on CT scan and the patient had been treated with dual anti-platelet treatment and anticoagulation, thrombolytic therapy could not be given. So we gave unfractionated heparin (UFH). The symptoms and physical signs disappeared on the next day. But two days later during the same treatment, the symptoms and signs recurred, volume expansion was ineffective, this indicated that initial recovery of symptoms was due to compensatory collateral circulation, and anticoagulation therapy with UFH may also play a role. But this could not prevent thrombosis from progressing, so we increased the dose of anticoagulation drugs, the symptoms and signs disappeared eventually. CTA (Apr 3) and repeated TCD (Apr 17) confirmed our reasoning with attenuated proximal lumen of right MCA and increased blood flow velocities of the right MCA and ICA.
The intracranial angioplasty and stenting was still in its initial exploratory stage,but the incidence of restenosis is higher than that of extracranial arteries. This is similar to coronary artery stenting, which is probably because that the arterial lumen diameter is smaller.1 However, there were only individual case reports on IST in intracranial angioplasty and stenting till now. Based on the data from the study in coronary artery stenting, delayed IST was mainly related to early stopping anti-platelet drugs 2 or the poor response to anti-platelet drugs.3 While the subacute IST is mainly related to the following three factors: 1. Histological features of stent. The incidence of IST in drug-eluting stents is lower than that in bare metal stents.4 2. Risk factors for thrombosis and pathological features of the lesions, especially the location and length of the lesions, anatomy of deep branch artery near the plaque. 3. Operational factors. The most well known operational factor is inadequate balloon dilation (to avoid excessive expansion of balloon which may lead to blood vessel rupture), which lead to larger residual lumen stenosis. 5 The dissection and vascular endothelium injury caused by over-expansion or larger stent which is bigger than the lesion in diameter or length may also induce IST.6 This patient was young, without common risk factors of cerebrovascular diseases. On screening, there was no history or evidence of connective tissue diseases and spirochete infection. The stenosis occurred in isolation in MCA. The patient was routinely given anti-platelet treatment, and was combined with anticoagulant therapy in the perioperative period. The stenosis was located in M1 segment, which was not too long, and the residual lumen stenosis was less than 10 percent. But IST was still occurred. Slightly larger size of the implanted stent that caused dissection or vascular endothelium injury was presumed. Moreover, the level of ASO and ESR was higher than normal, which persisted in the long-term. This indicated inflammatory factors might also be related to the stenosis of MCA and may induce IST. Streptococcal infection may cause dysfunction of vascular endothelial cells, which is also prone to induce thrombosis. 7
Conclusions
When IST is suspected, analysis of clinical features and emergent CT (or MRI) may help to indicate the extent, location and duration of the ischemic lesion. When combined with information from TCD test on the compensatory collateral circulation, good supporting evidence in deducing the mechanism of IST was provided. TCD follow-ups may assess the patency of intracranial arteries or permanent restenosis in these patients. This case highlight the utility of TCD in cases of intracranial stenosis and perhaps TCD should be more widely use for all cases of intracranial stenosis to monitor treatment response and outcome, whether it be in cases of aggressive medical therapy or in this case with stenting. In addition, attention should be paid to the potential factors which may induce IST.
References
- 1.Honda Y, Fitzgerald P J. (2003) Stent thrombosis. An issue revisited in a changing world. , Circulation 108, 2-5.
- 2.Buhk J H, Wellmer A, Knauth M. (2006) Late in-stent thrombosis following carotid angioplasty and stenting. , Neurology 66, 1594-1596.
- 3.Wenaweser P, Dörffler-Melly J, Imboden K. (2005) Stent thrombosis is associated with an impaired response to antiplatelet therapy. , J Am Coll Cardiol 45, 1748-1752.
- 4.Gollop N D, Henderson D B, Flather M D. (2014) Comparison of drug-eluting and bare-metal stents in patients with diabetes undergoing primary percutaneous coronary intervention: what is the evidence? Interact Cardiovasc Thorac Surg. 18, 112-116.
- 5.Cheneau E, Leborgue L, Mintz G S. (2003) Predictors of subacute stent thrombosis: results of a systematic intravascular ultrasound study. , Circulation 108, 43-47.

