Apical Hypertrophic Cardiomyopathy and Multiple Coronary Artery-Left Ventricular Fistulas: A Case Report.
Abstract
We describe a rare case of multiple coronary artery-left ventricular fistulas associated with apical hypertrophic cardiomyopathy in a 62 year asymptomatic old male admitted to our department for a perioperative evaluation of non cardiac surgery, already diagnosed for multiple coronary artery-left fistulae. He underwent transthoracic echocardiography and then to accelerated dipiridamole stress-echo.
Author Contributions
Academic Editor: Luca Vanella, Assistant Professor; Department of Drug Science; Section of Biochemistry; University of Catania.
Checked for plagiarism: Yes
Review by: Single-blind
Copyright © 2013 Massimo Ruggiero, et al.
This is an open-access article distributed under the terms of the Creative Commons Attribution License, which permits unrestricted use, distribution, and reproduction in any medium, provided the original author and source are credited.
Competing interests
The authors have declared that no competing interests exist.
Citation:
Letter to the Editor
A 62 years old man six years ago underwent coronary angiography due to atypical chest pain. No coronary stenosis was observed while multiple coronary fistula coming from middle tract of left anterior descending (LAD) artery and draining to left ventricle cavity were detected (Figure 1). At discharged, he undertook antiaggregant therapy and no fistula’s closure indication was advised.
Figure 1.A/B. Left anterior descending artery fistula in left ventricular cavity: an angiography perspective.
We now cardiologically evaluated him before an elective inguinal hernia intervention. He had no sudden cardiovascular death familiarity, nor cardiovascular risk factors.
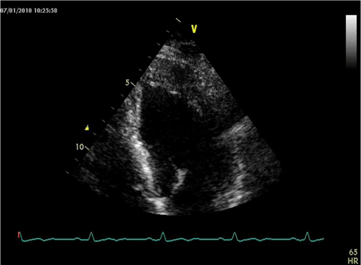
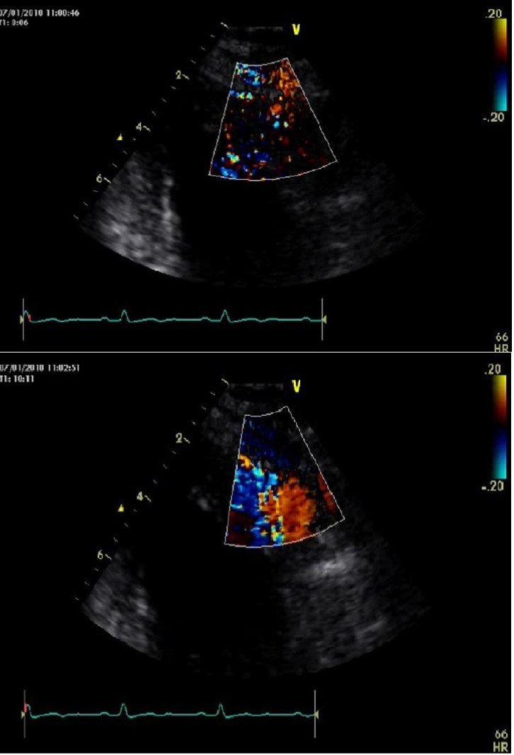
He was asymptomatic, in good general conditions, blood pressure 120/80 mmHg, no murmurs. The electrocardiogram showed sinus bradycardia (55 bpm) and left ventricular hypertrophy signs (deep and symmetric negative T waves in DI, aVL, V2 till V6). Echocardiogram (VIVID 7, 2-4 MHz probe) showed non classical apical hypertrophic cardiomyopathy (Figure 2), localized at anterior, lateral and posterior apex (septum was preserved), with no obliteration of apical cavity. By mean of color-Doppler evaluation, we observed multiple and thin color flows from LAD draining into apical region. Pulse-wave Doppler temporization was exclusively diastolic (Figure 3). Stress echocardiography with accelerate dipyridamole resulted negative for inducible ischemia and no variation in fistula flow was detectable. Inguinal hernia intervention was safely performed and the patient was advised to undergo periodical cardiologic controls.
Figure 2.Echocardiogram image of non classical apical hypertrophic cardiomyopathy of the patient.
Figure 3.Echo-color Doppler evalutation of left anterior descending artery fistula draining in left ventricular cavity
Discussion
Coronary fistula are the most frequent congenital coronary anomalies, observed in 0.2% of coronary angiographies 1,2. In 20% of cases, they are associated with other heart congenital abnormalities characterized by obstacles to the efflux. In 90% of cases, their drainage went to right cardiac section; in 40-60% of cases right coronary is the origin artery, while a bilateral origin is rare 2. Right ventricle draining fistulas hemodinamically act as interatrial shunt, while left ventricle draining fistulas create the hemodynamic picture of aortic valve insufficiency 2. Angina appears when a coronary steal happens, because there is an increased request of oxygen from hypertrophic cardiac walls 1. Nevertheless, endocarditis, early coronary atherosclerosis, coronary aneurism, sudden coronary plaque rupture, heart failure, sudden cardiac death are all complications of coronary fistulas 1,2.
The association between apical hypertrophic cardiomyopathy and coronary fistula is very rare 3,4, 5, 6. At the best of our knowledge, about ten of these cases had been described and all were symptomatic and associated with classical forms apical hypertrophic cardiomyopathy 3,4, 5, 6. Our patients, instead, originally showed a tight regional relationship between hypertrophic regions and fistula drainage sites. The question is if apical hypertrophic cardiomyopathy and fistula are related each other or are a casual association. Maybe, myocardial fibers disarray favor the persistence of embryonic sinusoids; nevertheless, fistulas could induce a volume overload able to induce hypertrophy. Furthermore, transthoracic echocardiography could be a good basic technique able to outline both apical hypertrophic cardiomyopathy and fistula, as our case report showed 6. Stress echocardiography could evaluate hemodynamic value of fistula and surely contrast echocardiography would not add anything else to the final diagnosis 6.
Magnetic resonance had low spatial resolution, thus distal tract and fistula outlet would not be well visualized. Only multislices computer tomography is considered as gold standard technique in congenital coronary abnormalities evaluation 1,6
Therapy is based only on beta-blockers and nitrates in symptomatic patients, while our patient was asymptomatic, bradycardic and negative echo-stress.
Conclusions
Apical hypertrophic cardiomyopathy and fistula are a rare association. The first standard technique in order to evaluate it is echocardiography, although gold standard is multislices computer tomography and coronary angiography. Medical therapy is the only recommended.
References
- 2.Yamanaka O, Hobbs R E. (1990) Coronary artery anomalies in 126.595 patients undergoing coronary arteriography. Cathet Cardiovasc Diagn. 21, 28-40.
- 3.Alyan O, Ozeke O, Golbasi Z. (2006) Coronary artery-left ventricular fistulae associated with apical hypertrophic cardiomyopathy. , Eur J Echocardiogr 7, 326-329.
- 4.Lisanti P, Serino W, Petrone M. (1988) Multiple coronary artery-left ventricle fistola in a patient with apical hypertrophic cardiomyopathy:an unusual cause of angina pectoris. , G. Ital Cardiol 18, 858-861.
Cited by (1)
This article has been cited by 1 scholarly work according to:
Citing Articles:
S. Saba, A. Ertel, M. Siegenthaler, E. Bodurian, P. Kellman et al. - Journal of General Practice (2014) Semantic Scholar
