Breast Implant-Associated Anaplastic Large Cell Lymphoma: A Case Report
Abstract
Breast implant-associated anaplastic large cell lymphoma (ALCL) is a recently recognized type of T-cell lymphoma that can develop following breast implants, with morphologic and immunophenotypic features indistinguishable from those of ALK-negative ALCL. Here we report a case of a 58-year-old woman with a history of subglandular silicone implants placed for bilateral breast augmentation 25 years ago, who presented with bilateral breast pain and was found to have bilateral Baker Grade III capsular contracture, and heterogenous fluid collection centered near the left third costochondral articulation, a suspicious left chest wall lesion, and left axillary lymphadenopathy on imaging. A left axillary lymph node core biopsy and an aspiration of the fluid were performed, and no malignant cells were identified. The patient underwent bilateral removal of breast implants and total capsulectomies. Microscopic examination of the capsule surrounding the left breast implant revealed large pleomorphic tumor cells in a fibrinous exudate. By immunohistochemistry, the tumor cells were found to be positive for CD3 (subset), CD4, CD7, CD30 (strong and uniform), and CD43, and negative for CD2, CD5, CD8, and ALK1, supporting the diagnosis of breast implant-associated ALCL. No lymphoma cells were identified in the right breast capsule, confirmed by CD30 stain. Breast implant-associated ALCL is a very rare disease that can develop many years after breast implant placement. Proper evaluation with breast imaging and pathologic workup is essential to confirm the diagnosis in suspected cases. Our case highlights that adequate sampling is important in the investigation of patients with suspected breast implant-associated ALCL.
Author Contributions
Academic Editor: Li-Pin Kao, Department of Research, Mayo Clinic, USA.
Checked for plagiarism: Yes
Review by: Single-blind
Copyright © 2021 Kumkum Vadehra, et al.
This is an open-access article distributed under the terms of the Creative Commons Attribution License, which permits unrestricted use, distribution, and reproduction in any medium, provided the original author and source are credited.
Competing interests
The authors have declared that no competing interests exist.
Citation:
Introduction
In 2016, about 290,000 women in the United States had breast augmentation with implants; about a third of these women received them for reconstruction after breast cancer.1 The Food and Drug Administration (FDA) released a statement in early 2017 concerning a rare cancer, anaplastic cell lymphoma (ALCL), that had been linked to breast implants and was associated with nine deaths.1 The first case of breast implant–associated ALCL was published in 1997.2 This entity is more recently recognized and has been included as a provisional entity in the 2017 WHO classification of tumors of hematopoietic and lymphoid tissues.3 Breast implant-associated ALCL is a peripheral T-cell lymphoma arising primarily around a breast implant, with morphologic and immunophenotypic features indistinguishable from those of anaplastic lymphoma kinase (ALK)-negative ALCL. It is difficult to determine the exact number of breast implant-associated ALCL cases due to significant limitations in world-wide reporting and lack of global breast implant sales data. Continuous reporting will bring awareness of the disease, improve diagnostic accuracy, and provide better understanding and better management of this tumor.
Here, we describe the case of a 58-year-old female with a history of subglandular silicone implants presenting with bilateral breast pain, in whom bilateral removal of breast implants and total capsulectomies were performed, and the subsequent histologic diagnosis of breast implant-associated ALCL was unexpected.
Case Report
A 58-year-old woman with no history of cancer presented to Harbor-UCLA Medical Center for pain in her bilateral breast radiating to her left arm for 3 months. The patient had a history of bilateral subglandular silicone implants placed for breast augmentation 25 years ago. She was on conservative management for her recently diagnosed meningioma. On examination, both of her breasts were firm and distorted cosmetically, consistent with Baker Grade III capsular contracture. However, there was no palpable mass, nipple retraction, or skin changes. A magnetic resonance imaging (MRI) of the bilateral breasts showed asymmetric thickening of the medial aspect of the left implant capsule, diffuse edematous appearance of the left breast extending to the chest wall and pectoralis musculature, left axillary lymphadenopathy, and an approximately 5.5 x 3.3 cm mass centered along a left anterior rib near the costochondral junction; there was no evidence of intra- or extracapsular rupture of the subglandular silicone implants. A chest computed tomography (CT) scan with contrast demonstrated a 3.7 cm anterior left para-sternal inflammatory lesion with enlarged left axillary lymph nodes, favoring infectious etiology. A mammogram of the left breast demonstrated a distorted implant in the left breast at 8 o’clock, 9 o’clock and 10 o’clock at a posterior depth. A high-resolution real-time ultrasound scanning of the left breast showed a 3.6 x 0.8 cm oval, parallel-hypoechoic area adjacent to the implant, most likely inflammatory in origin, involving 8 o'clock, 9 o'clock and 10 o'clock position. The area was located 13 centimeters from the nipple and showed indistinct margins. Additionally, multiple enlarged left axillary lymph nodes measuring up to 1.7 x 1.5 cm were detected. A chest MRI with and without contrast revealed a rim enhancing heterogenous fluid collection centered near the left third costochondral articulation most suggestive of an abscess. An ultrasound-guided aspiration of the left parasternal fluid was performed, and 0.5 mL hazy pink aspirated fluid was submitted for cytologic evaluation which revealed mainly blood without malignant cells. A left axillary lymph node 18-gauge core biopsy (2 cores) showed no evidence of lymphoma or carcinoma. Due to the uncertain etiology of the patient’s symptoms and given the long history of the implants, the patient underwent bilateral capsulectomy and implant removal. Gross examination of specimens showed both implants were textured and appeared intact, and the capsules were extensively covered with thick, chalky-white deposits. The manufacturer’s imprint was not legible.
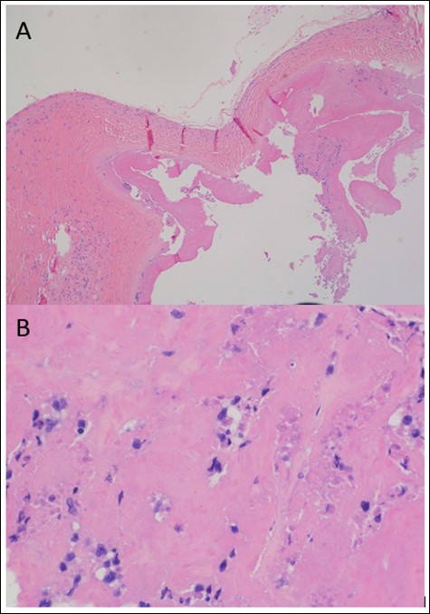
The capsules were extensively sampled and submitted for microscopic examination. The H&E stained sections of the capsule surrounding the left breast implant showed a fibrinous exudate containing tumor cells (Figure 1A). The tumor cells were large and pleomorphic, and had abundant amphophilic cytoplasm, with a small subset of cells containing horseshoe-shaped nuclei consistent with hallmark cells (Figure 1B). By immunohistochemistry, the tumor cells were positive for CD3 (subset, Figure 2B), CD4 (Figure 2C), CD7 (Figure 2E), CD30 (strong and uniform, membranous and Golgi staining pattern, Figure 2G), and CD43 (Figure 2H), and negative for CD2 (Figure 2A), CD5 (Figure 2D), CD8 (Figure 2F), and ALK1 (Figure 2I), supporting the diagnosis of breast implant-associated ALCL. No lymphoma cells were identified in the right breast capsule, confirmed by CD30 stain. The patient was referred to medical oncology for treatment options. A positron emission tomography–computed tomography (PET/CT) scan showed high FDG avidity in the bilateral neck, bilateral axilla, mediastinum, sternum, right anterior upper ribs, pleural fat above the right diaphragm, and possibly the left gluteus muscle. The patient recovered well from surgery and was treated with 6 cycles of chemotherapy with brentuximab vedotin (BV) plus cyclophosphamide, doxorubicin, and prednisone (CHP). Her PET/CT scan after 6 cycles of BV+CHP showed completed remission. There is no evidence of recurrence up to now.
Figure 1.Representative photomicrographs of the fibrous capsule surrounding the left breast implant. A. Low power view showing the luminal side (bottom) is lined by fibrinoid material containing clusters of tumor cells. B. At high power, the tumor cells are large and pleomorphic; a small subset of cells has horseshoe-shaped nuclei consistent with hallmark cells (H&E stain; original magnification, x 40 A, x 400 B).
Figure 2.Immunohistochemical characterization of the tumor. The tumor cells are positive for CD3 (subset, B), CD4 (C), CD7 (E), CD30 (strong and uniform, G), and CD43 (H), and negative for CD2 (A), CD5 (D), CD8 (F), and ALK1 (I). (Immunoperoxidase staining; original magnification, x 400).
Discussion
The pathogenesis of breast implant-associated ALCL is poorly understood. Available evidence suggests that it develops in the setting of implant-induced chronic inflammation.4, 5, 6 One proposed mechanism implicates chronic T-cell stimulation with local antigenic drive in the development of lymphoma.7 The immune system’s response to chronic inflammation surrounding the breast implant may lead to genetic degeneration and dysplasia in a genetically susceptible patient.5, 8
Breast implant-associated-ALCL typically manifests as a seroma or fluid collection but may present with a discrete mass originating from the fibrous capsule around the implant.9 It was initially recommended that aspiration and cytopathologic analysis be done for a recurrent seroma occurring 6 months or more after breast implantation.10 More evidence suggested that the most common presentation of breast implant-associated ALCL is a large spontaneous periprosthetic fluid collection surrounding an implant occurring at least 1 year and on average 7 to 10 years after cosmetic or reconstructive implantation with a textured surface breast implant.11 According to the 2019 NCCN Consensus Guidelines, patients with any symptoms, including effusion, mass, and skin rash/ulcer, that occur 1 year or more following the initial breast implantation should be investigated with breast imaging and pathology workup.11 The tumor cells are not always identifiable in cytopathology specimen prepared from the aspirated effusion fluid, especially when the volume of the aspirated fluid is small, as seen in our case. A minimum of 10 to 50 mL of effusion was recommended for preparation of cytopathology smears, cell block with immunohistochemistry for CD30 and other lineage-associated markers, and, when possible, flow cytometry and molecular genetic studies.12In our case, the left axillary lymph node core biopsy was also negative. However, it is not clear if it was true negative or false negative due to inadequate sampling. Our case highlights that generous sampling is important in the investigation of patients with suspected breast implant-associated ALCL. Moreover, if diagnosis is undetermined following initial investigation, additional evaluation is necessary to achieve a final diagnosis of, or confidently exclude, breast implant-associated ALCL, when there is a high clinical index of suspicion.
Morphologically, the tumor is comprised of large, pleomorphic cells with abundant cytoplasm, sometimes horseshoe-shaped nuclei, and prominent nucleoli.3, 13 By immunohistochemistry, breast implant-associated ALCL demonstrates strong and uniform membranous expression of CD30 and lacks ALK expression. While the diagnosis is suggested by the presence of positive CD30 staining on immunohistochemical analysis of the peri-capsular fibrous tissue or fluid surrounding the capsule, CD30-positive lymphocytes can often be found in the context of normal inflammation; thus the diagnosis of breast implant-associated ALCL cannot be made based upon this finding alone. In addition to CD30 positivity and ALK negativity, the accurate diagnosis relies on large anaplastic morphology and the presence of T-cell antigens and/or cytotoxic antigens in combination with clinical presentation. T-cell antigens are expressed variably, with the most common being CD4 (80 to 84 percent), CD43 (80 to 88 percent), CD3 (30 to 46 percent), and CD2 (30 percent).13 Expression of CD5, CD7, or CD8 is rare.13 In our case, the lymphoma cells were positive for CD3 (subset), CD4, CD7, and CD43, and negative for CD2, CD5, and CD8. Rare cases of breast implant-associated ALCL may show null-cell immunophenotype in which no T-cell markers are detected.14 In these cases, the presence of cytotoxic antigens such as TIA1, granzyme B and/or perforin supports T-cell lineage. In questionable cases, T-cell receptor gene rearrangement studies can be performed to define T-cell lineage and to demonstrate the monoclonal nature.
Breast implant-associated ALCL is histologically similar to but clinically distinct from other CD30-positive anaplastic T-cell lymphomas such as primary cutaneous ALCL, ALK-negative ALCL, and ALK-positive ALCL. The latter three rarely involve breast in patients with implants, usually presenting as late dissemination.15 ALK-positive ALCL can be easily excluded by negative ALK stain. Although primary cutaneous ALCL and systemic ALK-negative ALCL share the same morphologic and immunophenotypic features with breast implant-associated ALCL, a lack of history of cutaneous lesions in different body regions and nodal/extranodal disease supports a diagnosis of breast implant-associated ALCL.
Classic Hodgkin lymphoma (CHL) has been rarely reported to arise adjacent to a breast implant.16 Although both lymphomas are CD30-positive, CHL can usually be easily distinguished from ALCL by morphology and immunohistochemistry. Histologically, CHL is characterized by scattered mononuclear Hodgkin cells and multinucleated Reed-Sternberg cells in a cellular background rich in lymphocytes, histiocytes, plasma cells, eosinophils and neutrophils. Immunophenotypically, in addition to CD30, the Hodgkin/Reed-Sternberg cells in the majority of CHL cases are positive for CD15, weakly positive for PAX-5, and negative for T-cell markers and CD45.
In the present case, the bilateral capsulectomy and implant removal provided both the diagnosis and the primary treatment for the lymphoma. Given advanced disease, our patient opted for additional chemotherapy.
In conclusion, breast implant-associated ALCL is a very rare peripheral T-cell lymphoma arising around breast implants. Appropriate evaluation with breast imaging and pathologic workup is essential to confirm the diagnosis in suspected cases. Peri-prosthetic effusions occurring more than one year following breast implant placement should be aspirated, and a large volume of the aspirated fluid should be submitted to cytology for examination of lymphoma. The FDA recommends reporting all confirmed cases to improve the understanding of this rare disease. Complete surgical removal of the entire capsule and implant lead to optimal outcomes. Adjuvant radiotherapy and anthracycline-based chemotherapy are warranted for locally advanced and advanced cases. When caught early, breast implant-associated ALCL is curable in most patients. However, due to the rarity of this newly recognized disease, a diagnosis of breast implant-associated ALCL can be delayed. Clinicians and pathologists need to be aware of this entity.
Author Contributions Statement
KV and XQ identified the case and conceived of the presented idea. KV performed the literature search and wrote the first draft of the article. JC prepared the figures/figure legends and helped shape the manuscript. RRB, PJ, and RV provided critical feedbacks. XQ supervised this work, performed additional literature search, and wrote the final version of the article.
References
- 1.Grady D. (2017) 9 deaths are linked to rare cancer from breast implants. https://www.nytimes.com/2017/03/21/health/breast-implants-cancer-deaths.html
- 2.Keech JA Jr, Creech B J. (1997) Anaplastic T-cell lymphoma in proximity to a saline-filled breast implant. Plast Reconstr Surg. 100(2), 554-555.
- 3.Feldman A L, Harris N L, Stein H, Campo E, Kinney M C. (2017) Breast implant-associated anaplastic large cell lymphoma. In Swerdlow. , IARC: Lyon.pp 321-322.
- 4.George E V, Pharm J, Houston C, Al-Quran S, Brian G. (2013) Breast implant-associated ALK-negative anaplastic large cell lymphoma: a case report and discussion of possible pathogenesis. , Int J Clin Exp Pathol 6(8), 1631-1642.
- 5.Bizjak M, Selmi C, Praprotnik S, Bruck O, Perricone C. (2015) Silicone implants and lymphoma: The role of inflammation. , J Autoimmun 65, 64-73.
- 6.Leberfinger A N, Behar B J, Williams N C, Rakszawski K L, Potochny J D. (2017) Breast implant-associated anaplastic large cell lymphoma: A systematic review. , JAMA Surg 152(12), 1161-1168.
- 7.Ferreri A J, Govi S, Pileri S A, Savage K J. (2013) Anaplastic large cell lymphoma, ALK-negative. , Crit Rev Oncol Hematol 85(2), 206-215.
- 8.Orciani M, Sorgentoni G, Torresetti M, R Di Primio, G Di Benedetto. (2016) MSCs and inflammation: new insights into the potential association between ALCL and breast implants. , Breast Cancer Res Treat 156(1), 65-72.
- 9.Xu J, Wei S. (2014) Breast implant-associated anaplastic large cell lymphoma: review of a distinct clinicopathologic entity. , Arch Pathol Lab Med 138(6), 842-846.
- 10.Kim B, Roth C, Young V L, Chung K C, K van Busum. (2011) Anaplastic large cell lymphoma and breast implants: results from a structured expert consultation process. Plast Reconstr Surg. 128(3), 629-639.
- 11.Clemens M W, Jacobsen E D, Horwitz S M. (2019) . NCCN Consensus Guidelines on the Diagnosis and Treatment of Breast Implant-Associated Anaplastic Large Cell Lymphoma (BIA-ALCL), Aesthet Surg J. 39(supplement_1),S3–S13, https://doi.org/10.1093/asj/sjy331 .
- 12.Kimmons L. (2020) New guidelines for breast implant-associated anaplastic large cell lymphoma (BIA-ALCL) provide diagnosis guidance. https://www.mdanderson.org/publications/cancer-frontline/2020/02/new-guidelines-for-breast-implant-associated-anaplastic-large-cell-lymphoma-BIA-ALCL-provide-diagnosis-guidance.html
- 13.Taylor C R, Siddiqi I N, Brody G S. (2013) Anaplastic large cell lymphoma occurring in association with breast implants: review of pathologic and immunohistochemical features in 103 cases. , Appl Immunohistochem Mol Morphol 21(1), 13-20.
- 14.Moori P L, Ibison F, Jacob D, Iddon J. (2020) Breast implant-associated anaplastic large cell lymphoma. Case Rep Pathol. 2020-2157485.
