Human Umbilical Cord-Derived Mesenchymal Stem Cells as a Source of Odontoblasts: a GMP-compliant Approach
Abstract
Stem cell-based regenerative therapy can be considered an innovative approach for curing dental caries. Pulp stem cells from human exfoliated deciduous teeth (SHEDs) represent a source of committed cells for generating odontoblasts in vitro; however, SHEDs are not easy to obtain and are limited in quantity. Umbilical cord-derived mesenchymal stem cells (UC-MSCs) are considered to be adult stem cells that can be easily obtained in large numbers. Here, SHEDs and UC-MSCs were conditioned in custom-made serum-free culture media in order to induce differentiation towards odontoblasts. SHEDs and UC-MSCs were expanded in vitro and differentiated into odontoblasts for 21 days using a medium containing transforming growth factor-β (TGF-b3), hepatocyte growth factor (HGF) and growth differentiation factor 5 (GDF5). The ability to induce odontoblast differentiation with a straightforward clinical protocol in compliance with good manufactoring practice (GMP), which avoids animal reagents, and uses unrelated stem cells of unrestricted availability, may be a first step towards a new innovative approach for dentin regeneration.
Author Contributions
Academic Editor: Cheng Wang, National Center for Toxicological Research/FDA (USA)
Checked for plagiarism: Yes
Review by: Single-blind
Copyright © 2017 Brigitte Bisaro, et al.
This is an open-access article distributed under the terms of the Creative Commons Attribution License, which permits unrestricted use, distribution, and reproduction in any medium, provided the original author and source are credited.
Competing interests
The authors have declared that no competing interests exist.
Citation:
Introduction
The treatment protocol of penetrating caries involves root canal treatment, which removes the inflamed tissue and nociceptive nerve endings, ensures pain sedation and prevents outbreaks of infection with undesirable outcomes on the overall health. The loss of the pulp, however, also results in the failure to supply nutrients and oxygen to the dentin, with consequent modification of the mechanical characteristics of the tooth which, no longer perfused, becomes fragile. To this end, the prosthetic restoration of teeth- especially premolars and molars- that have received endodontic treatments is highly recommended for preservation purposes. Like all intraoral appliances, the fixed prosthesis constructed as such is subjected to a life cycle of about 20 years, on average, and requires additional treatment in the majority of patients. Stem cells 1 are a cell population which has unique characteristics compared to differentiated cells (the possibility of self-renewal, proliferative capacity, and the ability to differentiate into most cell types). Mesenchymal stem cells (MSCs) can give rise to the entire range of connective tissues, from osteoblasts to chondrocytes, from adipocytes to myoblasts and represent a particularly interesting target due to their potential use in regenerative therapy 2, 3. The main source of MSCs is from the bone marrow, which contains the greatest amount of MSCs, but is not always easily accessible due to the painful withdrawal procedure. The literature reports the existence of at least three distinct populations of stem cells belonging to the MSC family 4 derivable from dental tissues: SHEDs 5, postnatal human dental pulp stem cells (DPSC) 6 and periodontal ligament stem cells PDLSC 7. SHED, when compared with bone marrow stromal stem cells (BMSSC) and DPSC, showed a higher proliferation rate and a higher number of population doublings, apparently representing a population of multipotent stem cells that are perhaps more immature than postnatal stromal stem cell populations 8, 9. SHEDs, however, are a scarce and hard-to-find source of stem cells. Alternatively, umbilical cord stem cells can be used, which are numerous, and generally the umbilical cord is a waste material. Many studies have described UC-MSC 10 as an easy source of stem cells but, in practice, their use in clinical application is very limited.However,UC-MSCs exhibit strong proliferative ability, low immunogenicity, and multi-potential differentiation, all of which contribute to the success of cell transplantation 11. Due to their stem cells features, SHEDs and UC-MSCs rapresent an interesting model to study odontoblast differentiation and UC-MSC the best source of stem cell to perform the transplantation. The research by Tian Xia Li et al. 12 demonstrated that UC-MSC can be a source of odontoblasts when working in a odontogenic microenvironment using a tooth germ cell-conditioned medium that contains many soluble signaling molecules of animal origin purified from rat incisor teeth. The reasons for the limited use of stem cells in cell therapy are different 12, 13, 14, 15, 16, 17, 18, 19, 20, 21. One reason can be attributable to complex clinical protocols including the use of reagents of animal origin. Moreover, cell production in compliance with the Good Manufacturing Practice (GMP) guidelines requires a lot of effort in terms of infrastructure, personnel and quality controls, which are difficult to obtain from dental offices. Using SHEDs and UC-MSCs, as a starting material, by means of using stem cells manipulated ad hoc for treating penetrating caries, we were able to improve the possibility of inducing differentiation towards odontoblasts with a simply clinical protocol in compliance with GMP, avoiding animal reagents, and including the use of platelet lysate (PL) and molecules of human origin. We suggest a possible step forward in identifying the conditions for reducing costs for the clinical production of cells.
Materials and Methods
Tooth collection and isolation of Primary cell cultures of stem cells from exfoliated deciduous teeth (SHEDs) and dental pulp stem cells.
The SHED cells used in this study were extracted following the protocol by Miura et al. 5 at the Interdepartmental Research Center (IRC) Dental School of the University of Turin. The study protocol was approved by the Ethics Committee of the IRC. Informed consent was obtained from all participants.
Tooth Collection and Cell Isolation
Briefly, normal exfoliated deciduous teeth were collected from 4 human patients undergoing tooth extraction. Pulp was gently separated from the crown and root and then digested in a solution of 3 mg/ml collagenase type I and 4 mg/ml dispase for 1 h at 37°C. Single-cell suspensions were obtained by passing the cells through a 70-μm strainer (Falcon). Single-cell suspensions of dental pulp were seeded into 100 mm plates with alpha modification of Eagle's medium supplemented with: 20% FBS, 100 μM l-ascorbic acid, 2 mM l-glutamine, 100 units/ml penicillin and 100 μg/ml streptomycin, followed by incubation at 37°C in 5% CO2.
Extraction and Expansion of UC-MSCs
After obtaining patient's own informed consent, 4 fresh UC samples of women with healthy pregnancies were retrieved at the end of gestation during caesarean deliveries from the Department of Obstetrics and Gynecology of Mauriziano Hospital (Torino, Italy). UC-MSCs were extracted and expanded as reported by Marmotti et al. 10.
Briefly, the UC samples were collected and immediately processed. Firstly, the UC was cut into 3 cm long segments, which were subsequently cut longitudinally and split open to expose the inner surface. The UC segments were transferred to a 60 cm2 Petri dish (Corning, New York, NY, USA) containing 10 mL MSC expansion medium and 500 IU heparin (Pharmatex, Milan, Italy). The small UC fragments were then transferred and evenly distributed into 6-7 different 60 cm2 Petri dishes (approximately 40–45 fragments/Petri dish) and incubated in the MSC expansion medium at 37°C in a humidified atmosphere with 5% CO2. To demonstrate their stem cell potential, the MSCs were induced to differentiate into adipocytes, chondrocytes and osteoblasts with Euromed Adipogenic, Chondrogenic, and Osteogenic Differentiation Kits, respectively (EuroClone).
Immunophenotypic Characterization of SHEDs and UC-MSCs
Immunophenotyping of the expanded SHEDs and UC-MSCs was done using flow cytometry at the P1 passage of culture.
The following antibodies were used: CD90-Peridinin Chlorophyll Protein (PerCP)-cyanine dye Cy5.5, CD105-fluorescein isothiocyanate (FITC) (Biolegend, San Diego, CA), CD73 Allophycocyanin (APC), CD34-phycoerythrin (PE), HLA-DR-FITC, HLA-ABC-PE, CD29-APC (BD Biosciences, San Jose, CA), CD44-Alexa Fluor (Cell Signaling Technology, Danvers, MA), PE-conjugated antimouse immunoglobulin G (IgG) (Southern Biotechnology Associates, Birmingham, Alabama, USA), isotypematched IgG-FITC, IgG-PE and IgG-PE-Cy5.5 control antibodies (Biolegend, San Diego, CA). Analysis was performed on a FACScan (Becton Dickinson (BD), Buccinasco, Italy) for at least 10.000 events and using CellQuest software (BD).
Induction of Odontoblast Differentiation
The formulation of the medium able to induce odontoblastic differentiation quickly and efficiently was developed by mixing the bioactive molecules reported in Table 1 according to the combinations of Table 2. Transforming growth factor-β (TGF-b3), hepatocyte growth factor (HGF), (bone morphogenetic protein-2) (BMP-2), and growth differentiation factor (GDF5) were purchased from Peprotech Ltd, UK. The dosage of these molecules was 0, 10 and 100 ng/ml for TGF-b3 and HGF and 0, 50, 500ng/ml for BMP-2 and GDF5. Each dosage was assigned a code of either 0, 1 or 2 (Table 1), for a total of 13 different combinations.
Table 1. Coded dosage| coded dosage (ng/ml) | 0 | 1 | 2 |
|---|---|---|---|
| TGF-b3 | 0 | 10 | 100 |
| HGF | 0 | 10 | 100 |
| GDF5 | 0 | 50 | 500 |
| BMP2 | 0 | 50 | 500 |
| run | 1 | 2 | 3 | 4 | 5 | 6 | 7 | 8 | 9 | 10 | 11 | 12 | 13 |
| TGF-b3 | 0 | 0 | 1 | 1 | 1 | 2 | 2 | 2 | 2 | 0 | 2 | 0 | 0 |
| HGF | 1 | 2 | 0 | 1 | 2 | 0 | 1 | 2 | 2 | 2 | 0 | 2 | 0 |
| GDF5 | 1 | 2 | 1 | 2 | 0 | 2 | 0 | 1 | 0 | 2 | 2 | 0 | 0 |
| BMP2 | 2 | 1 | 1 | 0 | 2 | 2 | 1 | 0 | 2 | 0 | 2 | 2 | 0 |
Platelet lysate (PL) was also evaluated as an additive in the medium to replace the bovine serum, and alkaline phosphate enzymatic staining (from Sigma, Italy) was performed.
Immunocytochemical and Immunofluorescence Analysis
Immunocytochemical analysis was performed on the chamber slides after odontoblastic differentiation, in both SHEDs and UC-MSCs, using a DSPP antibody (sc-73632 Santa Cruz). After differentiation, cells were fixed in methanol and incubated with the primary antibody for 30 min. Detection was carried out using the ultravision Quanto Detection System (Thermo) following the manufacturer’s instructions. Slides were digitalized by means of a Pannoramic DESK digital slide scanner and images were captured using a Pannoramic Viewer (both from 3D Histech).
Immunofluorescence was performed on SHEDs and UC-MSCs using antibodies against DSPP (described previously) and Actin (Cell Signaling Technologies).
Western Blotting
Differentiated odontoblast cells from SHEDs and UC-MSCs were extracted with RIPA buffer (1% Triton X-100, 0.1% SDS, 1% sodium deoxycholate, 150 mM NaCl, 50 mM Tris-HCl pH 7, protease inhibitor mix). Cell lysates were centrifuged at 13,000 g for 10 min and supernatants were collected and assayed for protein concentration using the Bio-Rad protein assay method (Bio-Rad, Hercules, CA, USA). Proteins were run on SDS-PAGE under reducing conditions. Following SDS-PAGE, proteins were transferred to nitrocellulose membranes, incubated with specific antibodies and then detected with peroxidase-conjugated secondary antibodies followed by an electrochemoluminescent (ECL) reagent. DSPP and Actin antibodies were purchased from Santa Cruz Biotechnology and horse radish peroxidase-conjugated secondary antibodies were from Cell Signaling Technology, Inc (Danvers, MA, USA).
Results
SHEDs and UC-MSCs were extracted, selected and expanded as described in the Materials and Methods section.
Immunophenotypic Characterization of SHEDs and UC-MSCs
Immunophenotyping analysis indicated that cellular populations obtained after purification expressed the specific markers of a stem cell population. Indeed, MSCs of both origins were positive for CD44, CD29, CD105, CD73, and CD90, and negative for CD34. FACS analysis of SHEDs and UC- MSCs is shown in Figure 1A-B. The stemness potentiality of MSCs obtained from teeth or umbilical cords was also demonstrated through in vitro experiments of MSC differentiation induction towards cells of different lineage. Cells cultured in the appropriate medium result as being positive for the specific staining, showing the presence of mature cells of adipocytes, chondrocytes and osteocytes (data not shown).
Figure 1.Representative FACS analyses positive for surface markers of MSCs A) SHEDs FACS analyses positive for CD105, CD44 and negative control B) UC-MSCs FACS analyses positive for surface markers for CD105, CD44 and negative control.
Induction of Odontoblast Differentiation
The ability of SHEDs and UC-MSC to give rise to differentiated cells of these three different tissues sustains the hypothesis that these cells, when cultured in an appropriate medium, could give rise to mature odontoblasts.
For this purpose we tested SHEDs, that is the cell line more committed to differentiate in odontoblas, with different medium formulations composed of different cocktails of cytokine content and concentration appropriately modulated in the basal medium (Tables 1 and Table 2). With known quantities and concentrations of the administered stimuli, the most appropriate differentiation formulation was chosen based on the results obtained in differentiation experiments towards the odontoblast lineage, by observing an early marker, namely alkaline phosphatase. The intensity of alkaline phosphatase was measured on SHEDs by absorbance (Figure 2A). In order to substitute all animal components in the medium, PL was used as an additive to replace FBS (Figure 2B). Absorbance analysis of phosphatase alkaline expression indicates that using PL instead of FBS increases the differentiative capacity of the medium and that the formulation number 8 is the most effective for odontoblast differentiation induction.
Figure 2.Comparison of different medium formulations composed of different cocktails. A) Alkaline phosphatase cytoenzymatic staining intensity measured in SHEDs by absorbance after 7 days of conditioning with the different medium formulations. The results are representative of two different experiments. Bar charts represent the mean of staining intensity evaluated in two independent experiment. B) phosphatase alkaline enzymatic staining in SHEDs after 7 days in odontoblast differentiation medium with FBS and PL.
To investigate the effects on morphology induced by the suitable differentiative medium, SHEDs and UC-MSC were cultured with basal medium supplemented with PL and the human recombinant cytokines TGF-β3, HGF and GFD5 for 3 weeks. We observed that SHEDs and UC-MSCs display a better differentiation ability when they are subjected to physically stressful conditions, such as hyper-confluence; in fact, in these conditions, proliferation is interrupted in MSCs, and cells are able to differentiate completely. After 21 days of conditioning with the differentiative medium, SHEDs and UC-MSCs underwent a morphological modification and while they maintained the typically fibroblastoid morphology of the MSCs, i.e. having an elongated shape, cells subjected to the process of differentiation underwent cellular condensation with a cluster organization.
Immunocytochemistry and Immunofluorescence Analysis
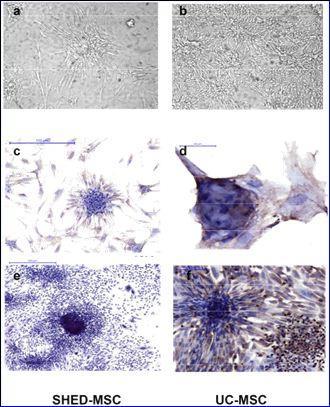
The odontoblastic phenotype was then demonstrated using Dentin Sialo Phospho-Protein (DSPP), a specific marker of odontoblasts. Figure 3 shows immunocytochemistry staining of DSPP in SHED cells (Figure 3A,B), and in UC-MSCs (Figure 3C,D) differentiated with a suitable formulation at the 21st day of culture. As already described, differentiated cells formed clusters and within the clusters, cells appeared to be highly positive for DSPP. The DSPP staining was also observed within the cellular elongations coming from cells of the clusters.
Figure 3.Immunohisto chemical staining for DSPP of SHEDs (A,B) and UC-MSCs (C,D). In this case the figure shows positivity for DSPP of SHEDs (A,B) and UC-MSCs (D) differentiated with the same formula at the 21st day. The data obtained in the negative control from UC-MSCs (4C) is reported, with the exclusion of contact with the primary antibody, replaced instead with normal non-immune serum.
DSPP expression in differentiated cells was evaluated through immunofluorescence analysis at the 21st day of differentiation. The representative confocal image shown in Figure 4 reveals that differentiated cells exhibited an elongated shape and that DSPP (green staining) was expressed in the cytoplasm with a staining pattern that diffused from the nuclear zone to the elongated structures surrounding the actin filaments. Finally, western blot analyses also demonstrated DSPP expression in differentiated cells (data not shown).
Figure 4.Immunofluorescence staining of SHEDs with DSPP (green staining) expressed in the cytoplasm.
Conclusions
The aim of this study was to explore the feasibility of applying a growth factor mixture to different stem cell populations in order to create the basis of an innovative treatment for penetrating caries. This approach would be particularly beneficial as it could maintain the vitality of the tooth, thus avoiding root canal therapy and consequently short- and long-term prosthetic sequelae. Regenerative medicine was previously proposed as an alternative to root canal therapy, to revitalize diseased or necrotic teeth by means of regenerated pulp tissues 22. To date, two major strategies have been adopted in tooth tissue engineering, namely cell therapy entailing the direct in vivo transplantation of stem cells and ex vivo culture of stem cells on suitable biomimicking scaffolds before transplantation 23. Although both strategies have applied to pulp regeneration, the majority of studies concerned the latter.
The role of growth factors in promoting cell commitment and differentiation has been widely explored. BMP-2 transfection of dental pulp stem cells appropriately induced the odontoblastic phenotype, obtainig considerable mineralization 24. The development of a serum-free medium for differentiation towards odontoblasts and the use of stem cells from different sources can open up new perspectives in regenerative medicine.
Wang et al. successfully proposed the combination of dexamethasone and BMP-7 25, 26 for inducing odontoblast differentiation. Another growth factor, GDF-5, is a member of the BMP family, which, in turn, belongs to TGF-β superfamily. Previous studies have demonstrated that GDF-5 mRNA is expressed in both dental papilla and follicles at the root-forming stage of odontogenesis 1. According to Okamoto et al. 27 Simvastatin was shown to be more efficient in increasing DSPP expression compared to BMP-2. This approach may be interesting since simvastatin may be used with diferent scaffolds and is reported to promote bone deposition to exert anti-inflammatory activity 28. Finally, HGF is involved in the morphogenesis of tooth germ in murine molars as reported by Tabata et al. 29.
As far as the source, MSCs can be obtained from different tissue and organs, but most used are bone marrow, fat and, in ondontoiatry also the dental pulp. However, these tissues may be difficult to obtain from patients requiring dental treatment. Dental pulp banking is a concrete possibility based mainly on shed decidous theeth or healthy extracted adult theeth. Several procedures and protocols have been put forward and are in progress.
Conversely, umbilical cord tissue contains a huge quantity of MSCs if compared to a single tooth. In addition umbilical cord is a tissue usually destined to being discarded. With apropriate procedures aimed to obtain the donation of the cord with the informed conset for MSCs extraction haevesting of umbilical cords may be a concrete possibility. In such perspective umbilical cord may be the ideal source to harvest large quantitities of MSC for cell therapy possibily fulfilling the increasing need the the expansion of cell therapy will require in the next future.
In conclusion, the development of an animal reagent-free medium for differentiation towards odontoblasts is and the use of stem cells from different sources is just one peculiar aspect of the unrestricted and new perspectives in regenerative medicine.
References
- 1.IL1 Weissman, Anderson D J, Gage F. (2001) Stem and progenitor cells: origins, phenotypes, lineage commitments, and transdifferentiations. , Annu Rev Cell Dev Biol 17, 387-403.
- 2.Park S R, Oreffo R O, Triffitt J T.Interconversion potential of cloned human marrow adipocytes in vitro. , Bone.1999Jun; 24(6), 549-54.
- 3.Zanini C, Bruno S, Mandili G, Baci D, Cerutti F et al. (2011) Differentiation of mesenchymal stem cells derived from pancreatic islets and bone marrow into islet-like cell phenotype. doi:. 10.1371/journal.pone.0028175. Epub2011Dec16. PLoS One. 6:e28175 .
- 4.Shi S, Bartold P M, Miura M, Seo B M, Robey P G et al. (2005) The efficacy of mesenchymal stem cells to regenerate and repair dental structures. Orthod Craniofac Res. 8, 191-9.
- 5.Miura M, Gronthos S, Zhao M, Lu B, Fisher L W et al. (2003) SHED: stem cells from human exfoliated deciduous teeth. , Proc Natl Acad Sci U S A. Epub2003Apr25 100, 5807-12.
- 6.Gronthos S, Mankani M, Brahim J, Robey P G, Shi S. (2000) Postnatal human dental pulp stem cells (DPSCs) in vitro and in vivo. , Proc Natl Acad Sci U S A 97, 13625-30.
- 7.Seo B M, Miura M, Gronthos S, Bartold P M, Batouli S et al. (2004) Investigation of multipotent postnatal stem cells from human periodontal ligament. , Lancet 364, 149-55.
- 8.Suchánek J, Visek B, Soukup T, SK El-Din Mohamed, Ivancaková R et al. (2010) Stem cells from human exfoliated deciduous teeth - isolation, long term cultivation and phenotypical analysis. , EH Aboul-Ezz,A Omran 53, 93-99.
- 9.Annibali S, Cristalli M P, Tonoli F, Polimeni A. (2014) Stem cells derived from human exfoliated deciduous teeth: a narrative synthesis of literature. , Eur Rev Med Pharmacol Sci 18, 2863-2881.
- 10.Marmotti A, Mattia S, Bruzzone M, Buttiglieri S, Risso A et al. (2012) Minced umbilical cord fragments as a source of cells for orthopaedic tissue engineering: an in vitro study. doi: 10.1155/2012/326813 Stem Cells Int.2012: 326813.
- 11.Kunke D, Bryja V, Mygland L. (2009) Inhibition of canonical Wnt signaling promotes gliogenesis in P0-UC-MSCs. , Biochem Biophys Res Commun 386, 628-633.
- 12.Li T X, Yuan J, Chen Y, Pan L J, Song C et al. (2013) Differentiation of mesenchymal stem cells from human umbilical cord tissue into odontoblast-like cells using the conditioned medium of tooth germ cells in vitro. doi: 10.1155/2013/218543. Biomed Res Int.2013:. 218543.
- 13.Covas D T, JLC Siufi, ARL Silva, Orellana M D. (2003) Isolation and culture of umbilical vein mesenchymal stem cells. , Brazilian Journal of Medical and Biological Research 36, 1179-83.
- 14.Baksh D, Tuan RS Yao. (2007) Comparison of proliferative and multilineage differentiation potential of human mesenchymal stem cells derived from umbilical cord and bone marrow. , Stem Cells 25, 1384-92.
- 15.Troyer D L, Weiss M L. (2008) Concise review: Wharton’s Jelly-derived cells are a primitive stromal cell population. , Stem Cells 26, 591-9.
- 16.Fan C G, Zhang Q, Zhou J. (2011) Therapeutic potentials of mesenchymal stem cells derived from human umbilical cord. , Stem Cell Reviews and Reports 7, 195-207.
- 17.Arufe M C, A De La Fuente, Mateos J, Fuentes I, De Toro FJ et al. (2011) Analysis of the chondrogenic potential and secretome of mesenchymal stem cells derived from human umbilical cord stroma. , Stem Cells and Development 20, 1199-212.
- 18.Capelli C, Gotti E, Morigi M, Rota C, Weng L et al. (2011) Minimally manipulated whole human umbilical cord is a rich source of clinical-grade human mesenchymal stromal cells expanded in human platelet lysate. , Cytotherapy 7, 786-801.
- 19.Wang L, Li J, Liu H, Li Y, Fu J et al. (2013) Pilot study of umbilical cord-derived mesenchymal stem cell transfusion in patients with primary biliary cirrhosis. doi:. 10.1111/jgh.12029. J Gastroenterol Hepatol.28(Suppl1): 85-92.
- 20.Wang D, Li J, Zhang Y, Zhang M, Chen J et al. (2014) Umbilical cord mesenchymal stem cell transplantation in active and refractory systemic lupus erythematosus: a multicenter clinical study. doi: 10.1186/ar4520. Arthritis Res Ther. 16, 79.
- 21.Woodworth T G, Furst D E. (2014) Safety and feasibility of umbilical cord mesenchymal stem cells in treatment-refractory systemic lupus erythematosus nephritis: time for a double-blind placebo-controlled trial to determine efficacy. doi: 10.1186/ar4677. Arthritis Res Ther. 16, 113.
- 22.Sloan A J, Smith A J. (2007) Stem cells and the dental pulp: potential roles in dentine regeneration and repair. Oral Dis. 13, 151-7.
- 23.Galler K M, D’Souza R N, Federlin M, Cavender A C, Hartgerink J D et al. (2011) Dentin conditioning codetermines cell fate in regenerative endodontics. doi: 10.1016/j.joen.2011.08.027. , J Endod 37, 1536-41.
- 24.Yang X, PM van der Kraan, Bian Z, Fan M, Walboomers X F et al. (2009) Mineralized tissue formation by BMP2-transfected pulp stem cells. doi: 10.1177/0022034509346258. , J Dent Res 88, 1020-5.
- 25.Wang J, Liu X, Jin X, Ma H, Hu J et al. (2010) The odontogenic differentiation of human dental pulp stem cells on nanofibrous poly(L-lactic acid) scaffolds in vitro and in vivo. doi: 10.1016/j.actbio.2010.04.009. , Acta Biomater 6, 3856-63.
- 26.Wang S, Hirschberg R. (2011) Y-box protein-1 is a transcriptional regulator of BMP7. doi: 10.1002/jcb.23027. , J Cell Biochem 112, 1130-7.
- 27.Okamoto Y, Sonoyama W, Ono M, Akiyama K, Fujisawa T et al. (2009) Simvastatin induces the odontogenic differentiation of human dental pulp stem cells in vitro and in vivo. doi: 10.1016/j.joen.2008.11.024. , J Endod 35, 367-72.
Cited by (1)
This article has been cited by 1 scholarly work according to:
Citing Articles:
Journal of Evolving Stem Cell Research (2017) OpenAlex
