Histomorphomertric Analysis Of Hormonal Contraceptive Pills On Anterior Pituitary Gland In Female Wister Rats
Abstract
Millions of women use hormonal contraceptive pills around the world and though the physical effects are thoroughly described in the literature and clinical setting. The psychological effects have been largely ignored until recently. Recent studies have found that the use of hormonal contraceptives has an effect on women’s hormones and psychological well-being. The aim of this present research was to check the effect of hormonal contraceptive pills on anterior pituitary gland among female wister rat histomorphometrically. Thirty (30) female wister rats of 3 month old weighing 150 – 200g were used for the study. They were divided into three (3) groups of 10 rats each. Group one (1) received Microlut Levonorgestrel 30mg at a dose of 0.18g/kg while group two (2) received a combination of microgynon levonorgesrel 150mg and ehinylestadiol 130mg at a dose of o.18g/kg in 5 days cycle while group three (3) serve as control group. The experiment last for 72 days. Histomorphometrical analysis of anterior pituitary gland was carried out. The findings revealed that combined oral contraceptive pills adversely cause the decrease in the cells of the anterior pituitary more than the progestin only pills.
Author Contributions
Academic Editor: Dragan Nikolic, University of Belgrade, School of Medicine, dr Subotica 9, 11000 Belgrade, Serbia.
Checked for plagiarism: Yes
Review by: Single-blind
Copyright © 2023 Sadiq Abdullahi Abubakar, et al.
This is an open-access article distributed under the terms of the Creative Commons Attribution License, which permits unrestricted use, distribution, and reproduction in any medium, provided the original author and source are credited.
Competing interests
The authors have declared that no competing interests exist.
Citation:
Introduction
According to Daniels and Abma 2020; there are about 12 million women who use hormonal contraceptives pills in United States, including 6.4 million women who are taken estrogen and progesterone as a combination drug. It’s commonly known as pills in parlance 7, 8. The combined oral contraceptive remains the commonly used hormonal method in many countries such as the USA, Australia and UK, 3. The pills are the common form of contraception in western countries 20. Family planning allows the family to attain their desired number of children and determine the spacing of pregnancies. A variety of contraception methods are available; hormonal and non-hormonal 4, 5. The potential roles of ovarian hormones (progesterone and estrogen) have long been investigated and they possess widespread effects on brain structures and functions 13. Remarkably little is known about their neurophysiological and behavioral effects, (Nowosielski K, et al 2022). Receptors of progesterone and estrogen are localized in various brain regions critical for emotion regulation and cognitive functioning such as hypothalamus, amygdala, pituitary gland, cerebral cortex and hippocampus. They interact with many neurochemical systems and influence various emotional, cognitive and neural processes 13.
The primary work of oral contraceptive pills is to prevent ovulation, alter the uterine and fallopian tube condition which eventually prevent conception. They eventually interferes the roles of estrogen and progesterone during ovulation 22. Progestin and estrogen prevent ovulation by reducing the amount of luteinizing hormone (LH) release from the anterior pituitary gland it also causes the thickening of cervical mucus and alter uterine discharge 16. Emerging evidence suggests that oral contraceptive users during childhood elicits a significant neurophysiological and behavioral changes compared to naturally cycling women, oral contraceptive users shows blunted stress reactivity 18. Information on potential effects of oral contraceptives could be valuable to physicians as they discuss the choice with their patient, although very little is known about their effects on brain. Emerging evidence suggest that oral contraceptive use during adulthood elicit significance behavioral and neurophysiological changes compared to normal cycling women 18. Oral contraceptives induced structural and functional changes to the brain causing decrease in grey matter volume and white matter integrity 18. Oral contraceptives display differences in brain functions at rest 6. Prolonged exposure to ovarian hormones may increase the risk of breast cancer. Endogenous estrogen are involved in the development of breast tumors by stimulating proliferation, increasing the number of cell division and accumulating DNA damage caused by replication as well as generating genotoxic compound 2.
Women who are on hormonal contraceptives pills tend to develop decrease in pituitary as well as hypothalamus volumes in the brain 6. In cranial magnetic resonance imaging (MRI), the pituitary gland of women is greater in size compared to men and this may be hypertrophy and hyperplasia of lactotroph cells of the anterior pituitary gland during pregnancy 14, 15. It is mentions that the main factors responsible for change in pituitary size are hormonal changes during pregnancy. During pregnancy, there is increase in the secretion adrenocorticotropic hormone (ACTH) and prolactin (PR) 1 The most common complication found among oral contraceptive users were depression, breast pain, inflammation, weight gain and abnormal vaginal secretion .
The pituitary gland is a complex organ composed of anterior, intermediate and posterior lobes (Fletcher PA et al 2019). The pituitary gland functions in response to releasing factors from hypothalamus. The adenohypophysis constitute about 80% of the gland and houses specialized cells that synthesize and secrete several hormones including; growth hormone (GR), thyroid-stimulating hormone (TSH), follicle-stimulating hormone (FSH), luteinizing hormone (LH), prolactin (PR) and adrenocorticotropic hormone (ACTH). These hormones target various types of tissues to mediate physiological processes (Sheng JA et al 2020).
The adenohypophysis is characterized by well demarcated-acini which composed a mixture of different hormone producing cells. These cells can differentiate via eosin stains. There are about three distinct cell types seen based on these stains (Illahi S, et al 2022).
· Acidophils: The cytoplasm of these cells stains red or orange. Acidophils usually contain polypeptide hormones. Acidophilic cells are somatotrophs and lactotrophs 11, 12.
· Basophils: These cells have cytoplasm that stains a bluish or purple color. Basophilic cells contain glycoprotein hormones which are thyrotrophs, gonadotrophs and corticotrophs 9, 10.
· Chromopobe: These cells do not stain because they have very minimal or no hormonal contents (Illahi S, et al 2022).
This article will investigate the effects of oral contraceptive pills on chromaphobes and chromaphils cells of anterior pituitary gland.
Materials And Method
Experimental Animals
Thirty (30) adult female wister rats aged 10-12 weeks weighting about 150-200kg were used for this research and they were acclimatized in their various cages for a period of two weeks before the experiment.
Inclusion criteria
Age ranging from 10 to 12 weeks
Weight between 150 to 200kg
Exclusion criteria
Pregnant female rat
Sample selection
Thirty (30) female wister rats were randomly assigned into three different groups, I, II and III. Each group had a total number of ten (10) animals. Group I received microglut levonorgestrel 30mg only at a dose of 0.18g/kg. Group II received a combination of microgynon levonorgestrel 150mg and ethinylestradiol 130mg at a dose of 0.18g/kg while group II serve as control group fed with vital feed and distilled water. The experiment last for 72 days.
Termination of the experiment
At the end of the experiment, all the animals were sacrificed a day after the end of the last administration under chloroform anesthesia. Brain tissues were removed and preserved in a labeled container containing 10% of buffered formalin.
Histological analysis
A buffered formalin bottled containing 10% solution was used and preserved the brain tissues of experimental wistar rats. Each bottle was labeled up and allowed to stand for 72 hours in order to ensure maximum penetration. After that, they were placed in ascending dehydration with ethanol solution. First 70% of ethanol solution was used for an hour then subsequent 95% solution and lastly alcohol solution for absolute dehydration. Tissue clearance took place in three (3) subsequent changes of xylene each lasting for 15 minutes. Tissue embedding with paraffin wax was carried out overnight to form blocks which were trimmed and sectioned at 5micro thickness using rotary microtome. Warm water at 28 degree Celsius bathed the tissue samples and dried up on an aluminum glass slides with heamotoxylin and eosin staining method which cleared up 95% of the xylene in alcohol and washed up in running tap water for 15 minutes. The differentiated section o turned blue after addition of 1% alcohol and eosin for 1 minute. The stained sections were viewed under a light microscope and photomicrographs of the stained tissues were taken. Figure 1, Figure 2, Figure 3
Results
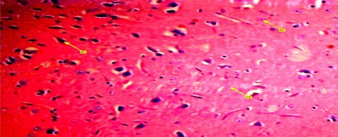
Figure 1.Showed a photomicrograph of anterior pituitary gland of female wister rat treated with progesterone pills for 72 days. It causes decrease in acidophilic and basophilic cells compared with control group. Chomophobes are also in less proportion compared with control group.
Figure 2.Showed a photomicrograph of anterior pituitary gland of female wister rat treated with combined pills for 72 days. It causes decrease in acidophilic and basophilic cells compared with control group. Chomophobes are also in less proportion compared with control group. Those in this group tend to have more decreased cells.
Figure 3.A photomicrograph of group three (3), control group showing anterior pituitary gland of female wister rat with arranged gland. Acidophilic, basophilic and chromopobe cells are present in equal proportion.
Discussion
This study was set out to investigate the effects of oral contraceptive pills on anterior pituitary gland of female wister rats using histological/microscopic extermination. The result showed that there is a significant differences between experimental and control group.
The first result showed the effect of progesterone only pills (POPs) that causes decrease in pituitary gland cells and these cells are responsibe for synthesis and secretion of several hormones that have many physiological actions in the body. The cells include: adrenocorticotrophic hormone (ACTH), prolactin (PR), gonadotropin releasing hormone, growth hormone and thyroid stimulating hormone (TSH) etc. These hormones are highly essential in the body.
This result concise with one of the research which suggest that Oral contraceptives induced structural and functional changes to the brain causing decrease in grey matter volume and white matter integrity 18.
There is also a research which says oral contraceptives display differences in brain functions at rest 6. We also agree with this research because contraceptive pills induce neuro chemical impulses around the brain even at rest.
The second result also showed the effects of combined contraceptive pills on anterior pituitary gland of female wister rats and this also induce decrease in pituitary cells greater than that of group one. This result also concise with that says women who are on hormonal contraceptives pills tend to develop decrease in pituitary as well as hypothalamus volumes in the brain 6. This result also concise with a research with this saying, in cranial magnetic resonance imaging (MRI), the pituitary gland of women is greater in size compared to men and this may be hypertrophy and hyperplasia of lactotroph cells of the anterior pituitary gland during pregnancy. It is mentions that the main factors responsible for change in pituitary size are hormonal changes during pregnancy. During pregnancy, increase in the secretion adrenocorticotropic hormone (ACTH) and prolactin (PR) (Medicina). This result also showed that the progesterone only pills (POPs) have less effect on anterior pituitary gland than combined oral contraceptives.
Conclusion
The results showed that the progestin only pills (POPs) alone had little impact on the histoarchitecture of the anterior pituitary gland while use of combined oral contraceptive causes severe damage to the histoarchitecture of the anterior pituitary gland.
Recommendation
We recommend that further researches should investigate more on the effects of hormonal contraceptive pills on anterior pituitary gland.
Acknowledgements
We acknowledge the effort of the department of histohaematology, Federal Medical Center Azare, Bauchi State. Nigeria, for their technical assistance toward this work. We also recommend A.A Ladan, Lele and Auwal for their support and countless advices.
References
- 1.M I Alameer, K Y Muqri, A, F Y Azyabi, A M Yaqoub et al. (2022) . Attitude and Practices regarding Contraceptive Pill and Its Side Effects among Women in Jazan Region, Saudi Arabia. Clin. Pract 12, 268-275.
- 2.Barnska A. (2022) Oral Contraceptive use and assessment of Breast Cancer Risk among Premonopausal Women via Molecular Characteristics; Systematic Review with Meta-Analysis. , Int. J. Environ. Res. Public Health 19, 15363-10.
- 3.K I Black, Mcgeechan K, C J Watson, Taft A, McNamee K et al.Women’s satisfaction with and ongoing use of hormonal long-acting methods compared to the oral contraceptive pill: Findings from an Australian general practice cluster randomized trial (ACCRd). , Aust N Z J Obstet Gynaecol 61, 448-453.
- 4.Bloise E, Ciarmela P, Dela Cruz C, Luisi S, Petraglia F et al. (2019) Activin A in Mammalian Physiology. Physiol Rev. [PubMed] 99(1), 739-780.
- 5.Bloise E, Ciarmela P, Dela Cruz C, Luisi S, Petraglia F et al. (2019) Activin A in Mammalian Physiology. Physiol Rev. PubMed 99(1), 739-780.
- 6.Chen K X, Worley S, Foster H, Edasery D, Roknsharifi S et al. (2021) Oral contraceptive use is associated with smaller hypothalamic and pituitary gland volumes in healthy women; A structural MRI study. , PLoS ONE 16(4), 0249482-10.
- 7.Bessett Danielle. (2022) Review of “Just Get on the Pill: The Uneven Burden of Reproductive Politics”. , Page e2, https://doi.org/10.1093/sf/soac054, Social Forces 101.
- 8.Bessett Danielle. (2022) Review of “Just Get on the Pill: The Uneven Burden of Reproductive Politics”. , Social Forces 101, 2-10.
- 11.Ganapathy M K, Tadi P. (2022) StatPearls [Internet]. StatPearls Publishing; Treasure Island (FL):.
- 12.Ganapathy M K, Tadi P. (2022) StatPearls [Internet]. StatPearls Publishing; Treasure Island (FL):. , Pituitary Gland. [PubMed]
- 13.Jansen M, Does A J W Van der, M De Rover, E R A De Bruijn, D A Hamstra.Hormonal status effects on the electrophysiological correlates of performance monitoring in women, psychoneuroendocrinology, Volume 149, 2023.t of breast.
- 14.Marazuela M, Ramos-Leví A M, P Borges de Souza, Zatelli M C. (2018) Is receptor profiling useful for predicting pituitary therapy? Eur. [PubMed]
- 15.Marazuela M, Ramos-Leví A M, P Borges de Souza, Zatelli M C. (2018) Is receptor profiling useful for predicting pituitary therapy? Eur. [PubMed]
- 16.Mu E, Kulkarni J. (2022) Hormonal contraception and mood disorders. , Australian prescriber 45(3), 75-79.
- 17.Heyward Omar, Kirsty J Elliott-Sale, Roe Gregory. (1080) Stacey Emmonds, Katy Hornby, Keith A Stokes & Ben Jones (2022); Oral contraceptive use in Premiership and Championships women’s rugby union; perceived symptomology, management strategies, and performance and wellness effects, Science and Medicine in Football.
- 18.Sharma Rupali, Samantha A Smith, Boukina Nadia, Dordari Aisa, Mistry Alana et al.Smith, Nafissa Ismail, Use of the birth control pill affects stress reactivity and brain structure and function, Hormones and Behavior. , Andrew Cameron, Zhuo Fang, Andra 124, 00-8506.
- 19.Seifalian A, Kenyon J, V Dysmonorrhoea Khullar.Can Medicinal Cannabis Bring New Hope for a Collective Group of Women Suffering in Pain. , Globally? Int.J. Mol. Sci 2022, 16201-10.
- 20.Shahid Z, Asuka E, Singh G. (2022) StatPearls [Internet]. StatPearls Publishing;. Physiology, Hypothalamus. [PubMed] , Treasure Island (FL):
- 21.Sibson A. (2022) The Effects of Endogenous and Exogenous Progesterone on Ingroup Affiliative Bias. Psychological Science Undergraduate Honors Theses Retrieved from https;//scholarworks.uark.edu/psychuht/33.
