Acute and Subacute Toxicity Evaluation of the Stem Bark Aqueous Extract of Harungana Madagascariensis in Rodents
Abstract
The present investigation was carried out to evaluate the safety of a stem bark aqueous extract of Harunganamadagascariensis Lam. (Hypericaceae) by determining its potential toxicity after acute and subacute administration in rodents. Acute toxicity tests were carried out in mice and the behavior, death and median lethal dose (LD50) were estimated. Subacute toxicity (28 days) studies were conducted in rats with oral daily doses of 200, 400 and 600 mg/kg. Parameters observed at the end of the subacute tests included changes in body and vital organ weights, mortality, hematological, biochemical, hepatic and kidney effects. Harunganamadagascariensisextract did not produce any visible toxicity or mortality with oral doses up to 2000 mg/kg within 14 days of single treatment, leading to the conclusion that the LD50 is greater than 2000 mg/kg. In the subacute toxicity tests, neither mortality nor visible signs of lethality was seen in rats. No significant change in the weight of the kidney, liver, heart, lungs spleen, pancreas and testicles was observed. Alanine transaminase (ALT) increased significantly in males at 400 and 600 mg/kg, whereas Aspartate transaminase (AST) decreased at 600 mg/kg in female rats. HDL Cholesterol was reduced at 600 mg/kg in female rats. There was a significant increase in urea concentration in female rats at 400 mg/kg. A significant decrease, both in platelet volume distribution (PVD) at 400 mg/kg in male rats and in red cell volume distribution (RDW) at 200 mg/kg were recorded in female rats respectively, but with no changes in other hematologic parameters. Histological study shows normal structure of liver, kidneys and heart of control and treated rats. Results indicate that oral doses of aqueous stem bark of Harunganamadagascariensis are relatively safe in rats; however, assessment of hepatobiliary function should be done during chronic use in humans.
Author Contributions
Academic Editor: Fatma Mady, Minia University Faculty of pharmacy, Egypt.
Checked for plagiarism: Yes
Review by: Single-blind
Copyright © 2018 Esther Ngo Lemba Tom, et al.
This is an open-access article distributed under the terms of the Creative Commons Attribution License, which permits unrestricted use, distribution, and reproduction in any medium, provided the original author and source are credited.
Competing interests
The authors have declared that no competing interests exist.
Citation:
Introduction
Harunganamadagascariensis Lam. ex Poir (HM) (known as guttier from Gabon in French) 1 is a medicinal plant native to Africa. Among the Ewondo tribe in Cameroon, the plant is known as “Atondo”. This plant, commonly known as 'Haronga', is abundant in forest and savannah regions 2. This medicinal plant is used in Africa and Europe for its antidiabetic and antidiphtheric effects 3.
HM is used for the treatment of diverse human diseases including anemia, jaundice, bleeding, gonorrhea, malaria, asthma, liver diseases, diabetes, pancreatic and biliary problems 4, 5. In Ghana, the stem bark is employed in treating skin diseases and as dressing material for wounds 6, 7. The red juice obtained from the leaves and stem bark is reputed for arresting postpartum bleeding in Sierra Leone, while the unopened buds are well known in Liberia for treating puerperal infection 8.
Traditionally, the leaves and stem bark are used for the treatment of anemia, the stem bark is also used for nephrosis, malaria and fever 9, 10, 11, 12; as well as antimicrobials against different strains of bacteria (Bacillus subtilis, Staphylococcus aureus, Escherichia coli and Salmonella typhi), thus substantiating its use for gastro-intestinal disorders 13. In Mola, Kariba district of Zimbabwe, HM is one of the plants used for the treatment and prevention of malaria 14. In Ghana, the leaf-sap is prepared as a remedy for amenorrhea and heart-troubles 15.
Nwodo 16 and Kouam et al. 17, 18 have, however, examined the effect of crude extracts and isolated compounds from a hexane extract of the stem bark of HM, for their analgesic, anti-inflammatory, alpha-glucosidase inhibition and antioxidant activities respectively. Many isolated compounds from natural products have been tested in vitro for anti-malarial properties and found to exhibit potent activities 19. Previous studies on this plant involving bark or leaves revealed antihelminthic properties 20, antimalarial 21, antityphoidal 22, antidiabetic 23, antidiarrhoeal 24, antioxidant 25 and antimicrobial activities 26.
Tom et al 27 demonstrated the myocardial potency of the aqueous extract of HM stem bark against isoproterenol-induced myocardial damage in rats. Moreover those authors highlighted the mechanisms of the hypotensive action of HM stem bark aqueous extract in rats 28.
Nevertherless, there are few reports about possible toxicological actions of HM. Acute and subacute toxicity of hydroethanolic extract of HM have been previously studied 29. There is also a report on its antityphoidal properties and toxicity evaluation of HM aqueous leaf extract 22; but no study on the aqueous extract of the stem bark, which is the most used, have been reported.
The present study has evaluated the acute toxicity and 28 days subacute toxicity of aqueous extract of HMstem bark in mice and rats respectively.
Materials and Methods
Plant Materials
Fresh HM stem barks were collected at Essezok, Mbalmayo (Centre Region, Cameroon) in June 2016. The identification of the plant was done at the Cameroon National Herbarium, where voucher samples were deposited under the registration number NO. 4224 HNC.
Preparation of Aqueous Extract of Harungana Madagascariensis Stem Bark
Bark pieces were dried at room temperature and powdered with the help of an electrical grinder. One kilogram of powder was dissolved in 12 L of distilled water and boiled for 20 minutes. The resulting decoction was filtered through Whatman paper NO. 3 and further lyophilized. A crude brown extract powder (HM extract, 98.90g) was obtained, giving a yield of 9.89%.
Experimental Animals
Wistar rats (118-145g) (20 males and 20 females) for subacute toxicity evaluation and female Balb C mice, with body weight between 18 g and 22 g, were used for the acute toxicity study. All animals for the study were bred at the Higher Teachers’ Training College (ENS) of Yaoundé, Cameroon. They were kept at standard laboratory conditions under natural light and dark cycles, at constant room temperature (20 ± 5°C) and were given standard food and water ad libitum. This study was approved by the Cameroonian National Ethical Committee (Ref NO. FW-IRB00001954).
Acute Toxicity of the Aqueous Extract of Harungana Madagascariensis in Mice.
This evaluation was designed following the protocol of OCDE 30. A total of 6 female mice were used to evaluate the acute toxicity of the aqueous extract of the bark of HM. Using an oral gavage needle, the extract solution was first administered at a single dose of 2000 mg/kg to three mice previously fasted for 12 hours. The behavior of the animals was observed for 30 minutes after which they were fed. If no deaths occurred after 48 hours, the same protocol was repeated on the other three female mice. All the six mice were then observed for 14 days. During this period, animal body weight was recorded every 2 days and mice were sacrificed on day 14 for macroscopic observation of internal organs 30.
28 Days Toxicity Evaluation of the Aqueous Extract of Harungana Madagascariensis in Rats.
This evaluation was done according to Porwal et al. 31. Rats (20 males and 20 females) were divided into four dose groups (5 animals /dose/sex). The first group was given 1mL/100g bw distilled water and taken as the control group. The second, third and fourth groups were given a single dose of 200, 400, and 600 mg/kg of HM respectively by gavage daily for a period of 28 days.
Body weight was monitored weekly. At the end of the experimental period, all animals were fasted for 12 h. Thereafter they were anesthetized by intraperitoneal injection of diazepam/ketamine (10/50 mg/kg). Blood samples were obtained from the carotid artery for hematological analysis and serum biochemistry. A longitudinal thoracic abdominal incision was made to open up the animal thorax and abdomen. The liver, left kidney, heart, lungs, spleen, pancreas and testis or ovaries were removed and the wet weights recorded.
Hematology and Serum Biochemistry
Blood samples collected in EDTA-coated tubes were used for hematological examinations. White blood cells (WBC), Red Blood Cells (RBC), blood platelet count (PLT), hemoglobin (HGB), hematocrit (HCT), plateletcrit (PCT), mean corpuscular volume (MCV), mean corpuscular hemoglobin (MCH), mean corpuscular hemoglobin concentration (MCHC), red cell volume distribution (RDW), platelet mean volume (PMV) and platelet volume distribution (PVD) were measured with an automated hematological machine (Cell-DynTM. Abbot, US).
Blood samples were taken without anticoagulant in dry glass tubes and were immediately centrifuged at 3000 rpm at 4°C for 10 min, then serum for biochemical examination was removed. Blood Urea Nitrogen (BUN), Glucose, Triglyceride (TG), Total Cholesterol (TC), HDL Cholesterol (HDL), Alanine Transaminase (ALT) and Aspartate Transaminase (AST) were measured using commercial kits obtained from Biotec Diagnostics UK LTD and for Bilirubin the kit provided by Reckon Diagnostic P. LTD, Vadodara, India was used.
Histopathological Analysis
On the 28th day, after blood collection for biological analysis, all the animals were euthanized and the principal vital organs were removed and macroscopically analyzed. After macroscopic analysis, representative fragments of heart, liver and left kidney were subsequently fixed in a 10% solution of buffered formalin (pH 7.4) and rapped in paraffin. 5 µm sections were obtained and colored with Hematoxylin - Eosin (HE) for evaluation under an optical microscope.
Statistical Analysis
The results were reported as mean ± SEM. The statistical significance was determined by using one way analysis of variance (ANOVA) followed by Dunnett’s multiple comparison post-hoc test. p values less than 0.05 were considered as significant. GraphPad Prism version 5.03 was employed for the analysis.
Results
Acute Toxicity of the Aqueous Extract of HM in Mice.
Administration of a single dose of the aqueous extract of HM (2000 mg/kg) did not result in any change in overall physical appearance. In 1 treated mouse, an increase in respiration and a decrease in reflexes within 30 minutes following administration of the plant extract was noted. All of these changes became normal in the following hours until the end of the 14-day observation period. Plant extract at a dose of 2000 mg/kg resulted in no deaths. This leads to the conclusion that the LD50 is greater than 2000 mg/kg. Macroscopic observation of internal organs at day 14 revealed no abnormalities.
28 Days Toxicity of the Aqueous Extract of HM in Rats.
Prior to sacrifice, there were no animal deaths during the study period.
Body Weight
There was no significant difference in body weight, even in weight gained for any sex, either at day 1 or 28; but for female rats treated with the dose of 600 mg/kg of extract, where there was a significant decrease in weight gained. (Table 1).
Table 1. Body weight changes of male and female rats given HM orally for 28 days.| Parameter | Males (mean±standard error) | |||
|---|---|---|---|---|
| Control | 200 mg/kg/day | 400 mg/kg/day | 600 mg/kg/day | |
| Day 0 | 136.20±3.65 | 137.80±4.60 | 142.50±6.53 | 138.70±5.84 |
| Day 28 | 163.20±2.89 | 160.70±5.66 | 156.80±4.24 | 161.20±8.07 |
| Gain (%) | 16.43±2.81 | 13.86±3.25 | 8.89±4.47 | 13.52±3.06 |
| Parameter | Females (mean±standard error) | |||
| Control | 200 mg/kg/day | 400 mg/kg/day | 600 mg/kg/day | |
| Day 0 | 132.50±2.62 | 133.50±2.98 | 118.40±4.26 | 139.80±5.88 |
| Day 28 | 164.70±3.02 | 154.70±3.83 | 152.20±5.96 | 157.80±5.09 |
| Gain (%) | 19.45±1.71 | 13.61±1.36 | 22.05±2.13 | 11.44±2.00* |
Hematological Analysis
As shown in Table 2, the 28-day administration of the aqueous extract of HM induces a significant decrease in platelet volume distribution (PVD) (29.20 ± 1.88 to 17.16 ± 4.04, p ˂ 0.05) in males at the dose of 400 mg/kg and a reduction in red cell distribution width (RDW) in females at the dose of 200 mg/kg (14.82 ± 1.18 to 12.30 ± 0.21*, p ˂ 0.05).
Table 2. Effect of the 28-day subacute toxicity of the aqueous extract of HM on the hematological parameters in rats.| Parameters | HM doses in aqueous solution (mg/kg) | |||
|---|---|---|---|---|
| 0 | 200 | 400 | 600 | |
| Male a | ||||
| WBC (x103/mm3) | 7.76±2.12 | 8.1±0.45 | 7.54±1.20 | 6.00±1.41 |
| RBC (H 106/mm3) | 6.78±0.84 | 6.5±0.35 | 7.99±0.46 | 5.67±0.85 |
| PLAT (H 103/mm3) | 491.6±54.38 | 592.0±37.55 | 548.0±42.73 | 537.6±61.23 |
| HGB (g/dL) | 12.72±1.47 | 13.06±0.19 | 14.48±0.69 | 10.54±1.60 |
| HTC (%) | 37.46±4.68 | 36.96±1.37 | 42.02±2.20 | 30.98±4.78 |
| PCT (%) | 442.8±59.34 | 554.2±21.62 | 473.0±36.08 | 492.0±77.83 |
| MCV (B fl) | 55.40±0.75 | 57.20±1.32 | 52.60±0.68 | 54.60±1.17 |
| MCH (B pg) | 18.88±0.46 | 20.38±1.47 | 18.18±0.41 | 18.56±0.54 |
| MCHC (g/dL) | 34.30±0.94 | 35.54±1.65 | 34.52±0.99 | 34.14±0.44 |
| RDW (H %) | 14.82±0.31 | 13.64±0.37 | 13.98±0.25 | 14.80±0.51 |
| PMV (fL) | 8.94±0.37 | 9.46±0.38 | 8.64±0.23 | 9.02±0.54 |
| PVD (H %) | 29.20±1.88 | 28.62±0.75 | 17.16±4.04* | 24.58±2.78 |
| Female a | ||||
| WBC (x103/mm3) | 7.00 ± 1.05 | 4.08 ± 0.80 | 5.34 ± 0.86 | 4.48 ± 1.18 |
| RBC (H 106/mm3) | 7.57 ± 0.36 | 8.22 ± 0.82 | 8.73 ± 0.32 | 6.90 ± 1.24 |
| PLAT (H 103/mm3) | 674.60 ± 103.49 | 564.40 ± 80.73 | 659.80 ± 59.64 | 579.40 ± 45.84 |
| HGB (g/dL) | 14.04 ± 1.09 | 13.50 ± 1.55 | 13.74 ± 0.82 | 13.04 ± 2.28 |
| HTC (%) | 44.36 ± 1.84 | 45.12 ± 4.55 | 49.60 ± 2.79 | 38.96 ± 6.67 |
| PCT (%) | 587.6 ± 69.31 | 542.40 ± 80.26 | 592.20 ± 66.23 | 537.80 ± 55.85 |
| MCV (B fl) | 59.00 ± 2.96 | 54.80 ± 0.80 | 56.60 ± 2.24 | 56.80 ± 1.46 |
| MCH (B pg) | 18.54 ± 1.01 | 16.34 ± 0.94 | 15.74 ± 0.76 | 19.06 ± 1.49 |
| MCHC (g/dL) | 31.64 ± 1.78 | 29.80 ± 1.28 | 27.98 ± 2.09 | 33.46 ± 1.96 |
| RDW (H %) | 14.82 ± 1.18 | 12.30* ± 0.21 | 13.18 ± 0.43 | 13.22 ± 0.34 |
| PMV (fL) | 8.96 ± 0.48 | 9.64 ± 0.31 | 8.90 ± 0.42 | 9.20 ± 0.36 |
| PVD (H %) | 22.86 ± 2.23 | 18.7 ± 4.46 | 23.42 ± 3.80 | 23.60 ± 3.06 |
Liver and Kidney Function
Subacute administration of the extract for 28 days induced a significant increase in ALT activity at respective doses of 400 mg/kg (42.06 ± 6.47 to 120.5 ± 2.58; *** p ˂ 0.001) and 600 mg/kg (42.06 ± 6.47 to 80.35 ± 0.21; ** p ˂ 0.01) in males (Table 3). In females, however, this administration (600 mg/kg) caused a decrease in AST activity from 48.52 ± 2.28 to 16.17 ± 3.50 (*p ˂ 0.05).
Table 3. Effects of the aqueous extract of HM on liver and kidney markers| Parameters | Doses (mg/kg) | |||
|---|---|---|---|---|
| 0 | 200 | 400 | 600 | |
| Males a | ||||
| AST (U/L) | 51.76±31.70 | 38.82±15.85 | 63.76±7.29 | 96.23±13.54 |
| ALT (U/L) | 42.06±6.47 | 55.65±12.79 | 120.5±2.58*** | 80.35±0.21** |
| Bilirubin (mg/dL) | 2.61±0.61 | 2.68±0.54 | 3.73±0.78 | 3.74±0.81 |
| Urea (mg/dL) | 35.06±14.98 | 36.45±0.44 | 38.92±12.67 | 48.63±6.46 |
| Glucose (mg/dL) | 65.29±12.71 | 78.29±11.17 | 59.24±2.68 | 98.89±10.89 |
| Females a | ||||
| AST (U/L) | 48.52 ± 2.28 | 46.52 ± 1.03 | 36.64 ± 1.56 | 16.17 ± 3.50* |
| ALT (U/L) | 38.82 ± 2.19 | 25.88 ± 1.29 | 61.88 ± 1.04 | 60.52 ± 0.62 |
| Bilirubin (mg/dL) | 4.80 ± 0.47 | 4.20 ± 0.28 | 3.83 ± 0.57 | 4.03 ± 0.51 |
| Urea (mg/dL) | 56.52 ± 7.66 | 39.32 ± 11.88 | 24.12± 4.91* | 43.09 ± 5.85 |
| Glucose (mg/dL) | 94.40±2.619 | 95.00±22.25 | 110.0±13.78 | 122.5±4.873 |
Organ Weights
There was no significant difference in relative weight of organs between the group of treated rats of either sex and the control, except reduction of pancreas of male rats at 200 mg/kg (* p ˂ 0.05) (Table 4).
Table 4. Effect of the 28-day subacute toxicity of the aqueous extract of HM on the relative organ weights of male and female rats.| Organs (g/kg bw ) | HM doses in aqueous solution (mg/kg) | |||
| 0 | 200 | 400 | 600 | |
| Male a | ||||
| Liver | 3.24±0.09 | 2.97±0.13 | 2.8±0.01 | 2.89±0.22 |
| Kidney | 0.67±0.02 | 0.69±0.02 | 0.66±0.02 | 0.64±0.02 |
| Heart | 0.31±0.006 | 0.33±0.02 | 0.34±0.00 | 0.33±0.02 |
| Lungs | 0.69±0.08 | 0.70±0.09 | 0.66±0.04 | 0.74±0.09 |
| Spleen | 0.49±0.08 | 0.42±0.05 | 0.49±0.06 | 0.59±0.15 |
| Pancreas | 0.77±0.04 | 0.55±0.04* | 0.7±0.06 | 0.57±0.04 |
| Testicles | 1.11±0.14 | 1.36±0.05 | 1.27±0.06 | 1.08±0.07 |
| Female a | ||||
| Liver | 2.75 ± 0.13 | 2.88 ± 0.17 | 2.71 ± 0.09 | 2.76 ± 0.07 |
| Kidney | 0.68 ± 0.01 | 0.61 ± 0.01 | 0.66 ± 0.01 | 0.68 ± 0.03 |
| Heart | 0.38 ± 0.01 | 0.36 ± 0.008 | 0.39 ± 0.01 | 0.39 ± 0.02 |
| Lungs | 0.62 ± 0.03 | 0.61 ± 0.02 | 0.76 ± 0.08 | 0.65 ± 0.05 |
| Spleen | 0.49 ± 0.03 | 0.45 ± 0.02 | 0.44 ± 0.06 | 0.39 ± 0.04 |
| Pancreas | 0.72 ± 0.06 | 0.65 ± 0.02 | 0.75 ± 0.05 | 0.70 ± 0.05 |
| Ovaries | 0.06 ± 0.00 | 0.04 ± 0.00 | 0.05 ± 0.01 | 0.06 ± 0.01 |
Lipid Profile
As shown in Figure 1, administration of the extract for 28 days in female rats did not alter the lipid profile except for a reduction of HDL cholesterol at a dose of 600 mg/kg. (From 20.08 ± 0.67 to 18.2 ± 0.32, p ˂ 0.05). Whereas this administration had no effect on the lipid profile of the male rats (Figure 2).
Figure 1.lipid profile of female rats
Histopathology Findings
Histological studies revealed no abnormalities in liver, kidney and heart tissues in treated rats.
The liver tissue displayed normal hepatocytes without any enlargement in sinusoidal vein, central vein and portal triad in all treated groups compared to control (Figure 3). Kidney micrograph revealed normal architecture of glomerulus and Bowman’s capsules with no degeneration, necrosis, or inflammation (Figure 4). Histological features of heart showed normal cardiomyocytes in treated and control groups (Figure 5).
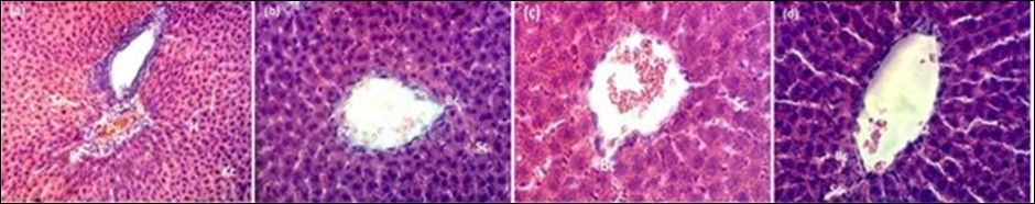
Figure 3.Histology study of liver of rats: (a) control group; (b) 200 mg/kg; (c) 400 mg/kg and (d) 600 of HM stem bark extract in a 28-days subacute toxicity. Biliary canal (Bc), Portal vein (Pv), sinusoidal capillaries (Sc), Kupffer cells (Kc), hepatocytes (H). H.E (X 400).
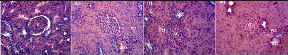
Figure 4.Histology study of kidney of rats: (a) control group; (b) 200 mg/kg; (c) 400 mg/kg and (d) 600 of HM stem bark extract in a 28-days subacute toxicity. Bowman’s capsule (Boc), glomerulus (G), proximal collecting tubule (Pct), distal collecting tubule (Dct), urinary space (Us). H.E (X 400).
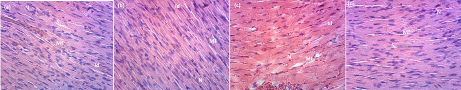
Figure 5.Histology study of heart of rats: (a) control group; (b) 200 mg/kg; (c) 400 mg/kg and (d) 600 of HM stem bark extract in a 28-days subacute toxicity. Muscular fibers (Mf), nucleus (N), intercalated discs (Id), space (S). H.E (X 400).
Discussion
Medicinal plants need a wide potency and security assessment because of their increasing use worldwide 32. The increasing use of these plants is due to a variety of factors, including limitations of current therapy and adverse effects of conventional drugs. Harunganamadagascariensis (HM) has long been used as a medicinal plant for many diseases including diabetes, diphtheria and malaria 14, 3. The aim of this work was to evaluate the acute toxicity and the 28 days toxicity of administration of aqueous extract of HM in male and female rats.
The aqueous extract of HM could be ranked in the class of lower toxic substances, as its LD50 was greater than 2000 mg/kg 30.
In the present study, subacute administration of HM aqueous extract in male and female rats for 28 days had no effect on body weight (Table 1). The significant decrease in body weight gain observed in female rats in the 600 mg/kg/day group had no toxicological significance because it was within the normal level and does not occur in males, demonstrating a lack of biological significance.
Blood and bone marrow are very vulnerable to toxicants and are therefore helpful in determining the health status of mammals 33. Therefore, selected hematological parameters were included in the present study to evaluate the toxicity of the aqueous extract of HM. Based on the hematological parameters analyzed (Table 2), there were no biologically or statistically significant differences in RBC or coagulation parameters between rats treated with the extract of HM, except a significant decrease of Platelet Volume Distribution (PVD), which occured in males at 400 mg/kg and a significant reduction of Red Cell Volume Distribution (RDW) for females at 200 mg/kg. However, it did not present clinical importance, as it remained within the normal reference values (10-18 for PVD and 10-15 for RDW), suggesting the absence of alterations of clinical importance. These results show that the aqueous extract of HM did not affect hematopoiesis or leucopoiesis in rats and was non-toxic.
Relative organ weight is another criterion to evaluate if an organ was subjected to harm 34. When rats are exposed to toxicants, usually, they will be a source of impairment to target organ(s). Thus, the weight of the affected organ(s) will vary as well as the relative organ weight. In the present study, however, no significant differences were detected (P > 0.05) in the organ-to-weight ratios of both male and female treated rats when compared to the control group (Table 4). With the exception of the significant reduction of pancreas in male rats at 200 mg/kg, this result need further investigation, since it is known that this plant is usually used to manage diabetes; but this can be considered as an accidental result as it is not dose- related.
Serum cholesterol and triglycerides are largely regulated via synthesis in the liver. Changes in the levels of these lipids could give information on the predisposition of the heart to cardiovascular diseases 35. The extract did not have any significant effect on the triglyceride level while HDL cholesterol was altered at the highest dose of 600 mg/kg in females. The decrease observed in the HDL cholesterol level at the highest dose (600 mg/kg) proposes the incapability of the extract to stimulate the synthesis or interfere with the feedback mechanism associated with this organ, although the mechanism of action was not justified in this study. However, it could be suggested that the extract may not predispose the animals to heart diseases, except at the highest dose. Moreover, Etame et al. 36 also found a decrease in HDL cholesterol, serum glucose, total bilirubin and transaminases activity in both sexes at 200 mg/kg with a stem bark methanol extract of HM after 28 days of administration.
The liver is the site responsible for biotransformation and detoxification. Some medicinal plants have been reported to possess a hepatotoxic effect due to elevation in clinical chemistry parameters 37. Some of these indices are AST, ALT and total bilirubin. An increase in hepatic transaminases marks porosity or cell disruption 38. In this study the activity of ALAT were increased in males at the dose of 400 and 600 mg/kg, after 28 days of daily administration of the extract of HM. Similar results was obtained previously by Etame et al. 36. The significant decrease of ASAT at the dose of 600 mg/kg in female rats can be considered temporary, and seem not to imply a significant clinical response, since at lower doses its value was higher.
The determination of serum urea nitrogen is one of the most widely used test for the evaluation of kidney function. Low blood urea nitrogen levels are associated with amyloidosis, acute liver disease, pregnancy, and nephrosis 39. The significant decrease in serum urea nitrogen found in female rats of the 400 mg/kg group is of questionable toxicological significance because it was within the limits of normal biological variation 40. This abnormal change sporadically observed in female treatment groups without a dose-response relationship were not considered treatment-related effects.
Macroscopic and microscopic examinations of organs from animals of all groups treated with the extract and those of control animals showed normal architecture. This suggests no detrimental changes and morphological disorder induced by the oral daily administration of this extract for 28 days, since the oral dose of 600 mg/kg/day of HM administered for 28 consecutive days was the highest dose used in this study and did not induce any hematological, anatomical and histopathological signs of toxicity.
Conclusion
Despite the fact that histopathological analysis of studied organs including the liver did not show significant changes in relation to control animals and the highest dose given (600 mg/kg) did not induce alterations, the increase in ALT serum levels of animals that received the dose of 400 mg/kg and 600 mg/kg of HM in male rats may lead to the conclusion that this extract could be hepatotoxic. Thus, considering the importance and widespread traditional use of this plant and for the sake of the safety of the population, additional clinical toxicological evaluations need to be performed.
Acknowledgments
This work was financially supported by the International Foundation for Science (IFS) under the research (Grant n°. F/5882-1).
References
- 1.Mansfeld R, Büttner R. (2001) . Mansfeld’s Encyclopedia of Agricultural and Horticultural Crops: (Except Ornamentals).Springer Science and Business Media .
- 2.Hutchinson J, MDalziel D, Hepper F N. (1954) Flora of West Tropical Africa. 2ndedition Crown Agents. , London
- 3.Ejaz A, Choudhary M. (2006) A new polyphenolics with strong radical scavenging activity. , Journal of the American Aging Association.28(1): 32.
- 4.Nicolas J. (2012) Plantes médicinales du nord de Madagascar ethnobotanique antakarana et informations scientifiques.Jardins du Monde. 295, 134-135.
- 5.Adeneye A A, Olagunju J A, Elias S O, Olatunbosun D O, Mustafa A O.(2008).Harunganamadagascariensis in acute and repeated acetaminophen hepatotoxic rats.International. , Journal of Applied Research in Natural Products 1(3), 29-42.
- 7.Adjanohoun E. (1981) . , Inter-African Committee of OAU/STRC for Traditional Medicine and African Plants
- 8.Olagunju J A, Oladunni S O, Oladimeji M S. (2000) Status of phosphatase activities in the liver and kidney of rats treated with isosaline leaf and stem-bark extracts of s (L).Cytobios. 103, 17-24.
- 9.EMEA. (1999) Committee for Veterinary Medicinal Products - Harunga madagascariensis Summary Report - The European Agency for the Evaluation of Medicinal Products, Veterinary Medicines Evaluation Units. EMEA/MRL/598/99-FINAL
- 10.Tona L, Kambu K, Ngimbi N, Mesia K, Penge O. (2000) Antiamoebic and spasmolytic activities of extracts from some antidiarrhoeal traditional preparations used in. , Kinshasa, Congo.Phytomedicine 7, 31-38.
- 11.Erah P O, Asonye C C, Okhamafe A O. (2003) Response ofTrypanosoma brucei brucei-induced anaemia to a commercial herbal preparation.African. , Journal of Biotechnology 2, 307-311.
- 12.Schmid C, Brun R, Kone M W, Traore D, Atindehou Kamanzi et al. (2004) Antitrypanosomal and antiplasmodial activity of medicinal plants from Côte d’Ivoire.Journal of Ethnopharmacology. 90, 221-227.
- 13.Okoli A S, Okeke M I, Iroegbu C U, Ebo P U. (2002) Antibacterial activity of Harungana madagascariensis leaf extracts. , Phytotherapy Research 16, 174-179.
- 14.Lukwa N, Mutambu S L, Makaza N, Molgaard P, Furu P. (2001) Perceptions about malaria transmission and control using anti-malaria plants in Mola. , Kariba, Zimbabwe, Nigerian Journal of Natural Products and Medicine 5, 4-7.
- 15.Abbiw D K. (1990) . In Useful Plants of Ghana, Intermediate Technology Publications and The Royal Botanic Gardens , Kew, London .
- 16.Nwodo OFC. (1989) Antibiotic and anti-inflammatory analgesic activities of Harungana madagascariensis stem bark. , International Journal of Crude Drug Research 27, 137-140.
- 17.Kouam S F, Khan S N, Krohn K, Ngadjui B T, Lapche D G. (2006) Alpha-glucosidase inhibitory anthranols, kenganthranols A-C, from the stem bark of Harungana madagascariensis. , Journal of Natural Products 69, 229-233.
- 18.Kouam S F, Ngadjui B T, Krohn K, Wafo P, Ajaz A. (2006) Prenylated anthronoid antioxidants from the stem bark of Harungana madagascariensis. , Brazillian Journal of Medical and Biological Research 38, 1087-1094.
- 19.Rukunga G, Simons A J. (2006) The potential of plants as a source of antimalarial agents. A review. Africa herbal antimalarial meeting. CDE and ICRAF. World Agroforestry Centre. , Nairobi, Kenya
- 20.Koné M W, Kamanzi A K. (2006) Inventaire ethnomédical et évaluation de l'activité anthelminthique des plantes médicinales utilisées en Côte d’Ivoire contre les helminthiases intestinales. Pharmacopée et médecine traditionnelle africaine. 14, 55-72.
- 21.Manzo M. Université de Liège, Université de Kinshasa (2012) Etude phytochimique et pharmacologique de plantes antipaludiques utilisées en médecine traditionnelle congolaise. Thèse de Docteur en Sciences Biomédicales et Pharmaceutiques .
- 22.Kengni F, Fodouop S P, Tala D S, Djimeli M N, Fokunang C. (2016) Antityphoid properties and toxicity evaluation of Harungana madagascariensis Lam (Hypericaceae) aqueous leaf extract. , Journal of Ethnopharmacology 179-137.
- 23.Mangambu MJD, Mushagalusa K F, Kadima N J. (2014) Contribution à l’étude phytochimique de quelques plantes médicinales antidiabétiques de la ville de Bukavu et ses environs(Sud-Kivu,R.D.Congo). , Journal of Applied Biosciences 75, 6211-6220.
- 24.Tona G L, Cimanga R K, Kambu O K, Totte J, Pieters L. (2009) Phytochemical screening and in vitro antiamoebic activity of extracts from some antidiarrhoeal medicinal plants used in Kinshasa, Democratic Republic of Congo.In:Singh,VK,Govil,JN,editors. Chemistry and medicinal value.Huston,StudiumPressLLC.
- 25.Momo CEN, Ngwa A F, Dongmo GIF, Oben J E. (2009) Antioxidant properties and α-amylase inhibition of Terminalia superba, Albizia sp., Cola nitida, Cola odorata and Harungana madagascarensis used in the management of diabetes in Cameroon. , Journal of Health Science 55, 732-738.
- 26.Etchike C A, Sassa A M, Abakar A, Nyonbourg E. (2011) Evaluation in vitro de l’activité antibactérienne de cinq plantes de la pharmacopée traditionnelle de l’Adamaoua (Cameroun). , Cameroon Journal of Experimental Biology 7(1), 22-27.
- 27.Tom ENL, Nankia F D, Nyunaï Nyemb, Girard-Thernier C, Demougeot C et al. (2018) Myocardial potency of aqueous extract of Harungana madagascariensis stem bark against isoproterenol-induced myocardial damage in rats. , Universal Journal of Pharmaceutical Research,3(n° 1, 17-24.
- 28.Tom ENL, Nankia F D, Mezui C, Fouda B Y, Dimo T. (2018) Mechanisms of the hypotensive action of Harungana madagascariensis (hypericaceae) stem bark aqueous extract in rats. , International Journal of Current Advanced Research 7(3), 10580-10584.
- 29.Biapa NPC, Oben E J, Ngogang Y J. (2012) Acute and sub-acute toxicity of Harungana madagascariensis Lam. , African Journal of Pharmaceutical Sciences and Pharmacy 3(1), 45-57.
- 30.OECD. (2001) OECD Guidelines for the Testing of Chemicals: Test No. 423: Acute Oral Toxicity- Acute Toxic Class Method,” Organisation for Economic Cooperation and Development. , Paris
- 31.Porwal M, Khan N A, Maheshwari K K. (2017) Evaluation of acute and subacute oral toxicity induced by ethanolic extract of Marsdenia tenacissima leaves in experimental rats. , Scientia Pharmaceutica 85, 29-40.
- 32.Jordan S A, Cunningham D G, Marles R J. (2010) Assessment of herbal medicinal products: challenges, and opportunities to increase the knowledge base for safety assessment. , Toxicology and Applied Pharmacology 243, 198-216.
- 33.Adeneye A A, Ajagbonna O P, Adeleke T I, Bello S O. (2006) Preliminary oral toxicity and phytochemical studies of the stem bark aqueous extract of Musanga cecropioides in rats. , Journal of Ethnopharmacology 105, 374-379.
- 34.Rosidah Yam, Sadikun M F, Ahmad A, M, Akowuah G A. (2009) Toxicology evaluation of standardized methanol extract of Gynura procumbens. , Journal of Ethnopharmacology 123, 244-249.
- 35.Schwarzova L, Hubacek J A, Vrablik M. (2015) Genetic predisposition of human plasma triglyceride concentrations. , Physiological Research 64(3), 341-54.
- 36.Etame RME, Mouokeu R S, Ngane RAN, Masoohe A M, JPAssam Assam. (2017) Acute and sub-acute toxicity of Harungana madagascariensis LAM (Hypericaceae) stem bark methanol extract. , Journal of Applied Pharmaceutical Science 7(03), 160-167.
- 37.Frenzel C, Teschke R. (2016) Herbal Hepatotoxicity: Clinical Characteristics and Listing Compilation. , International Journal of Molecular Sciences 17(5), 588.
Cited by (17)
This article has been cited by 17 scholarly works according to:
Citing Articles:
Current Drug Research Reviews (2025) Crossref
Toxicology International (2025) OpenAlex
Toxicology International (2025) Crossref
Goddidit Esiro Enoyoze, L. Iserhienrhien, Joyce Amiosinor Otsupius, M. Osemwegie - Toxicology International (2025) Semantic Scholar
Goddidit Esiro, Enoyoze, Esosa Enoyoze - International Journal of Science and Research Archive (2024) Semantic Scholar
International Journal of Science and Research Archive (2024) OpenAlex
Tran Thi Phuong-Nhung, L. Quoc - Acta Biologica Szegediensis (2023) Semantic Scholar
Acta Biologica Szegediensis (2023) Crossref
Acta Biologica Szegediensis (2023) OpenAlex
American Journal of Biomedical Science & Research (2023) OpenAlex
Scientific African (2022) Crossref
Scientific African (2022) OpenAlex
S. H. Mlozi, Juma A. Mmongoyo, M. Chacha - Clinical Phytoscience (2020) Semantic Scholar
Clinical Phytoscience (2020) Crossref
Clinical Phytoscience (2020) OpenAlex
Nadine Joissy Epoh, Olivette Laure Matafack Dongmo, Herve Tchoumbou Tadjoua, F. M. Tchouanguep, P. Telefo - European Journal of Medicinal Plants (2019) Semantic Scholar
Issues in Biological Sciences and Pharmaceutical Research (2019) OpenAlex
Journal of Thermoplastic Composite Materials (2019) OpenAlex
Guravtar Singh Mann, L. Singh, Parmod Kumar, Sunpreet Singh, C. Prakash - Journal of Thermoplastic Composite Materials (2019) Semantic Scholar
Universal Journal of Pharmaceutical Research (2018) OpenAlex

